电话:
+86 (0512) 65829739
传真:
+86 (010) 6788 5057
电子邮件:
orders@antibodies-online.cn

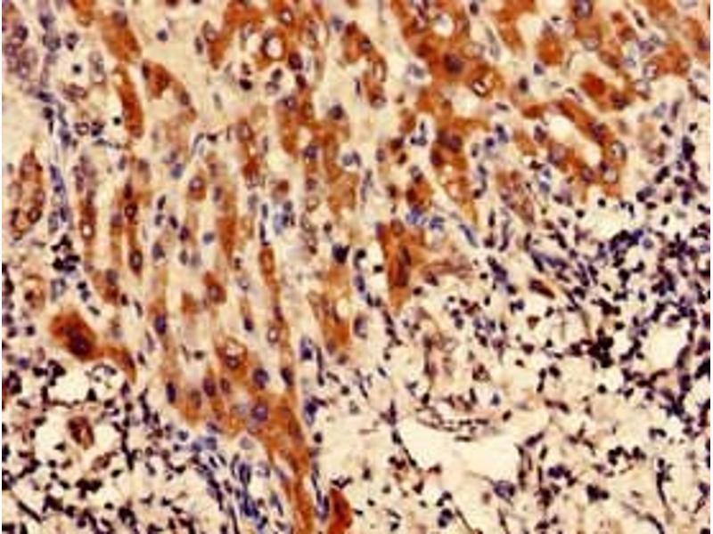
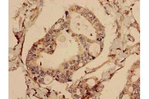
CFAP61 抗体 (AA 1-200)

The 兔 多克隆 anti-CFAP61 antibody (ABIN7147768) specifically detects CFAP61 in ELISA 和 IHC. The antibody is reactive with 人 samples.
产品编号 ABIN7147768
发货至: 中国
Contact our Customer Service for availability and price in your country. Contact Info

Our Local Distributor

中国
北京 101111
No. 88 KeChuang 6th Street
Beijing Economic Technological Development Area
Room 801-803
4A Biotech Co.,Ltd.
Tel +86 (0512) 65829739 传真 +86 (010) 6788 5057

Quick Overview for CFAP61 抗体 (AA 1-200) (ABIN7147768)

抗原

CFAP61 (Cilia and Flagella Associated Protein 61 (CFAP61))

适用

宿主

  • 4

克隆类型

  • 4
多克隆

标记

  • 2
  • 1
  • 1
This CFAP61 antibody is un-conjugated

应用范围

ELISA, Immunohistochemistry (IHC)
  • 抗原表位

    AA 1-200

    原理

    CFAP61 Antibody

    纯化方法

    Protein G purified

    纯度

    >95 %

    免疫原

    Recombinant Human Cilia- and flagella-associated protein 61 protein (1-200AA)

    亚型

    IgG
  • 应用备注

    Optimal working dilution should be determined by the investigator.

    限制

    仅限研究用
  • 状态

    Liquid

    缓冲液

    Preservative: 0.03 % Proclin 300
    Constituents: 50 % Glycerol, 0.01M PBS, PH 7.4

    储存液

    ProClin

    注意事项

    This product contains ProClin: a POISONOUS AND HAZARDOUS SUBSTANCE which should be handled by trained staff only.

    储存条件

    -20 °C,-80 °C

    储存方法

    Upon receipt, store at -20°C or -80°C. Avoid repeated freeze.
  • 抗原

    CFAP61 (Cilia and Flagella Associated Protein 61 (CFAP61))

    别名

    CFAP61

    背景

    C20orf26 antibody, CT026_HUMAN antibody, dJ1002M8.3 antibody, dJ1178H5.4 antibody, RP11-470C13.3 antibody, Uncharacterized protein C20orf26 antibody

    UniProt

    Q8NHU2
You are here: