电话:
+86 (0512) 65829739
传真:
+86 (010) 6788 5057
电子邮件:
orders@antibodies-online.cn

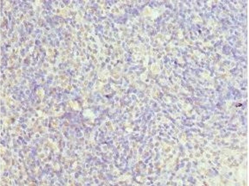
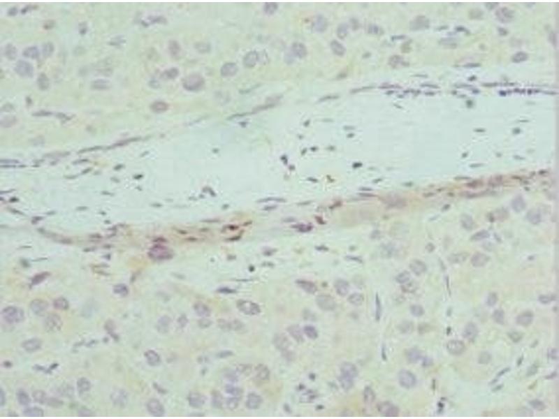
CHMP2B 抗体 (AA 1-213)

This 兔 多克隆 antibody specifically detects CHMP2B in IHC 和 ELISA. It exhibits reactivity toward 人.
产品编号 ABIN7147523
发货至: 中国
Contact our Customer Service for availability and price in your country. Contact Info

Our Local Distributor

中国
北京 101111
No. 88 KeChuang 6th Street
Beijing Economic Technological Development Area
Room 801-803
4A Biotech Co.,Ltd.
Tel +86 (0512) 65829739 传真 +86 (010) 6788 5057

Quick Overview for CHMP2B 抗体 (AA 1-213) (ABIN7147523)

抗原

See all CHMP2B 抗体
CHMP2B (Charged Multivesicular Body Protein 2B (CHMP2B))

适用

  • 49
  • 42
  • 26
  • 2
  • 2
  • 2
  • 2
  • 2
  • 1
  • 1
  • 1

宿主

  • 60
  • 3
  • 2

克隆类型

  • 47
  • 18
多克隆

标记

  • 30
  • 4
  • 2
  • 2
  • 2
  • 2
  • 2
  • 2
  • 2
  • 2
  • 1
  • 1
  • 1
  • 1
  • 1
  • 1
  • 1
  • 1
  • 1
  • 1
  • 1
  • 1
  • 1
  • 1
  • 1
This CHMP2B antibody is un-conjugated

应用范围

  • 55
  • 17
  • 15
  • 15
  • 14
  • 14
  • 13
  • 7
  • 4
  • 3
  • 3
  • 1
Immunohistochemistry (IHC), ELISA
  • 抗原表位

    • 15
    • 9
    • 4
    • 3
    • 3
    • 2
    • 1
    • 1
    • 1
    AA 1-213

    原理

    CHMP2B Antibody

    纯化方法

    Antigen Affinity Purified

    免疫原

    Recombinant Human Charged multivesicular body protein 2b protein (1-213AA)

    亚型

    IgG
  • 应用备注

    Optimal working dilution should be determined by the investigator.

    限制

    仅限研究用
  • 状态

    Liquid

    缓冲液

    PBS with 0.02 % sodium azide, 50 % glycerol, pH 7.3.

    储存液

    Sodium azide

    注意事项

    This product contains Sodium azide: a POISONOUS AND HAZARDOUS SUBSTANCE which should be handled by trained staff only.

    储存条件

    -20 °C,-80 °C

    储存方法

    Upon receipt, store at -20°C or -80°C. Avoid repeated freeze.
  • 抗原

    CHMP2B (Charged Multivesicular Body Protein 2B (CHMP2B))

    别名

    CHMP2B

    背景

    Background: Probable core component of the endosomal sorting required for transport complex III (ESCRT-III) which is involved in multivesicular bodies (MVBs) formation and sorting of endosomal cargo proteins into MVBs. MVBs contain intraluminal vesicles (ILVs) that are generated by invagination and scission from the limiting membrane of the endosome and mostly are delivered to lysosomes enabling degradation of membrane proteins, such as stimulated growth factor receptors, lysosomal enzymes and lipids. The MVB pathway appears to require the sequential function of ESCRT-O, -I,-II and -III complexes. ESCRT-III proteins mostly dissociate from the invaginating membrane before the ILV is released. The ESCRT machinery also functions in topologically equivalent membrane fission events, such as the terminal stages of cytokinesis and the budding of enveloped viruses (HIV-1 and other lentiviruses). ESCRT-III proteins are believed to mediate the necessary vesicle extrusion and/or membrane fission activities, possibly in conjunction with the AAA ATPase VPS4.

    Aliases: ALS17 antibody, Charged multivesicular body protein 2b antibody, CHM2B_HUMAN antibody, CHMP family, member 2B antibody, CHMP2.5 antibody, CHMP2b antibody, Chromatin modifying protein 2b antibody, Chromatin-modifying protein 2b antibody, DMT1 antibody, hVps2-2 antibody, Vacuolar protein sorting 2, yeast, homolog of, B antibody, Vacuolar protein sorting 2-2 antibody, Vacuolar protein sorting-associated protein 2-2 antibody, VPS2 homolog B antibody, Vps2-2 antibody, VPS2B antibody

    UniProt

    Q9UQN3
You are here: