电话:
+86 (0512) 65829739
传真:
+86 (010) 6788 5057
电子邮件:
orders@antibodies-online.cn

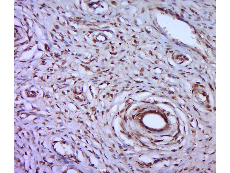
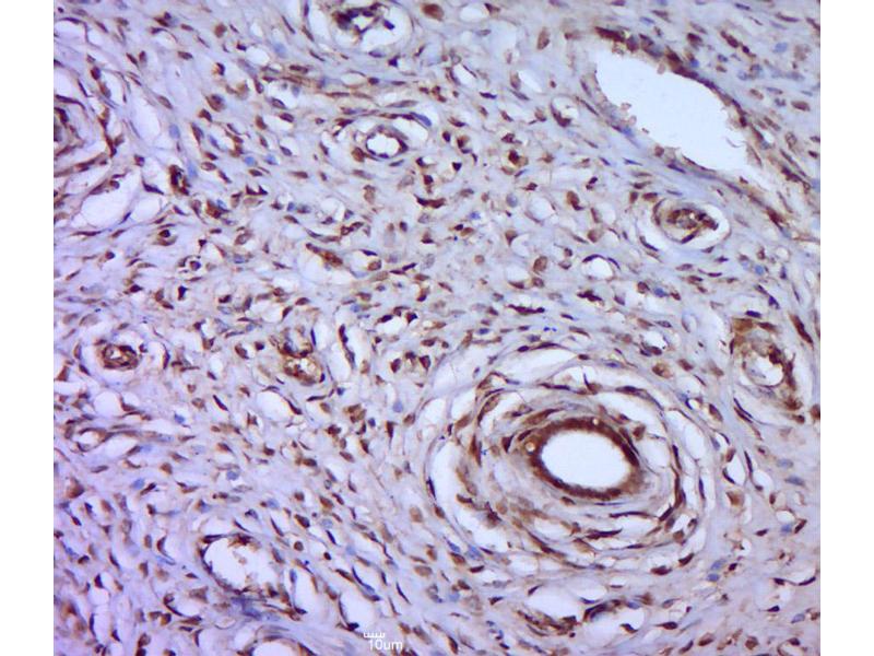
MEF2D 抗体 (pSer444)

The 兔 多克隆 anti-MEF2D antibody is suitable to detect MEF2D in samples from 人, 小鼠 和 大鼠. It has been validated for WB, ELISA, IF (cc), IF (p), IHC (p), FACS 和 IHC (fro).
产品编号 ABIN710516
发货至: 中国
Contact our Customer Service for availability and price in your country. Contact Info

Our Local Distributor

中国
北京 101111
No. 88 KeChuang 6th Street
Beijing Economic Technological Development Area
Room 801-803
4A Biotech Co.,Ltd.
Tel +86 (0512) 65829739 传真 +86 (010) 6788 5057

Quick Overview for MEF2D 抗体 (pSer444) (ABIN710516)

抗原

See all MEF2D 抗体
MEF2D (Myocyte Enhancer Factor 2D (MEF2D))

适用

  • 69
  • 62
  • 30
  • 3
  • 3
  • 2
  • 2
  • 2
  • 1
  • 1
  • 1
  • 1
人, 小鼠, 大鼠

宿主

  • 92
  • 7

克隆类型

  • 94
  • 5
多克隆

标记

  • 36
  • 7
  • 6
  • 6
  • 3
  • 3
  • 3
  • 3
  • 3
  • 3
  • 3
  • 3
  • 3
  • 3
  • 3
  • 3
  • 2
  • 1
  • 1
  • 1
  • 1
  • 1
  • 1
This MEF2D antibody is un-conjugated

应用范围

  • 84
  • 38
  • 38
  • 37
  • 14
  • 11
  • 8
  • 8
  • 4
  • 4
  • 2
  • 1
  • 1
  • 1
Western Blotting (WB), ELISA, Immunofluorescence (Cultured Cells) (IF (cc)), Immunofluorescence (Paraffin-embedded Sections) (IF (p)), Immunohistochemistry (Paraffin-embedded Sections) (IHC (p)), Flow Cytometry (FACS), Immunohistochemistry (Frozen Sections) (IHC (fro))
  • 抗原表位

    • 18
    • 15
    • 15
    • 9
    • 8
    • 6
    • 4
    • 4
    • 3
    • 2
    • 2
    • 2
    • 1
    • 1
    • 1
    • 1
    • 1
    • 1
    • 1
    • 1
    • 1
    • 1
    pSer444

    交叉反应

    人, 小鼠, 大鼠

    预测反应

    Cow,Pig,Horse,Rabbit

    纯化方法

    Purified by Protein A.

    免疫原

    KLH conjugated synthetic phosphopeptide derived from human MEF2D around the phosphorylation site of Ser444

    亚型

    IgG
  • 应用备注

    WB 1:300-5000
    ELISA 1:500-1000
    FCM 1:20-100
    IHC-P 1:200-400
    IHC-F 1:100-500
    IF(IHC-P) 1:50-200
    IF(IHC-F) 1:50-200
    IF(ICC) 1:50-200

    限制

    仅限研究用
  • 状态

    Liquid

    浓度

    1 μg/μL

    缓冲液

    0.01M TBS( pH 7.4) with 1 % BSA, 0.02 % Proclin300 and 50 % Glycerol.

    储存液

    ProClin

    注意事项

    This product contains ProClin: a POISONOUS AND HAZARDOUS SUBSTANCE, which should be handled by trained staff only.

    储存条件

    4 °C,-20 °C

    储存方法

    Shipped at 4°C. Store at -20°C for one year. Avoid repeated freeze/thaw cycles.

    有效期

    12 months
  • 抗原

    MEF2D (Myocyte Enhancer Factor 2D (MEF2D))

    别名

    MEF2D

    背景

    Synonyms: MEF2Dphospho S444, DKFZp686I1536, MADS box transcription factor 2 polypeptide D, Mef2d, MEF2D_HUMAN, myocyte enhancer factor 2D, Myocyte specic enhancer factor 2, polypeptide D, Myocyte specic enhancer factor 2D, myocyte-specic enhancer factor 2D.

    Background: MEF2D is a member of the myocyte-specific enhancer factor 2 (MEF2) family of transcription factors. Members of this family are involved in control of muscle and neuronal cell differentiation and development, and are regulated by class II histone deacetylases. Fusions of the encoded protein with Deleted in Azoospermia-Associated Protein 1 (DAZAP1) due to a translocation have been found in an acute lymphoblastic leukemia cell line, suggesting a role in leukemogenesis. The encoded protein may also be involved in Parkinson disease and myotonic dystrophy. Alternative splicing results in multiple transcript variants.

    基因ID

    4209
You are here: