电话:
+86 (0512) 65829739
传真:
+86 (010) 6788 5057
电子邮件:
orders@antibodies-online.cn

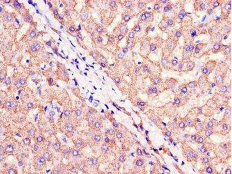
CIDEA 抗体 (AA 1-51)

The 兔 多克隆 anti-CIDEA antibody (ABIN7147273) specifically detects CIDEA in WB, ELISA, IHC 和 IF. The antibody is reactive with 人 samples.
产品编号 ABIN7147273
发货至: 中国
Contact our Customer Service for availability and price in your country. Contact Info

Our Local Distributor

中国
北京 101111
No. 88 KeChuang 6th Street
Beijing Economic Technological Development Area
Room 801-803
4A Biotech Co.,Ltd.
Tel +86 (0512) 65829739 传真 +86 (010) 6788 5057

Quick Overview for CIDEA 抗体 (AA 1-51) (ABIN7147273)

抗原

See all CIDEA 抗体
CIDEA (Cell Death-Inducing DFFA-Like Effector A (CIDEA))

适用

  • 29
  • 24
  • 16

宿主

  • 46
  • 3
  • 1

克隆类型

  • 49
  • 1
多克隆

标记

  • 27
  • 4
  • 3
  • 3
  • 1
  • 1
  • 1
  • 1
  • 1
  • 1
  • 1
  • 1
  • 1
  • 1
  • 1
  • 1
  • 1
This CIDEA antibody is un-conjugated

应用范围

  • 30
  • 20
  • 13
  • 13
  • 8
  • 8
  • 5
  • 3
  • 3
  • 2
  • 1
  • 1
Western Blotting (WB), ELISA, Immunohistochemistry (IHC), Immunofluorescence (IF)
  • 抗原表位

    • 15
    • 8
    • 5
    • 5
    • 5
    • 3
    • 1
    • 1
    • 1
    • 1
    • 1
    • 1
    • 1
    • 1
    AA 1-51

    原理

    CIDEA Antibody

    交叉反应

    小鼠

    纯化方法

    Protein G purified

    纯度

    >95 %

    免疫原

    Recombinant Human Cell death activator CIDE-A protein (1-51AA)

    亚型

    IgG
  • 应用备注

    Optimal working dilution should be determined by the investigator.

    限制

    仅限研究用
  • 状态

    Liquid

    缓冲液

    Preservative: 0.03 % Proclin 300
    Constituents: 50 % Glycerol, 0.01M PBS, PH 7.4

    储存液

    ProClin

    注意事项

    This product contains ProClin: a POISONOUS AND HAZARDOUS SUBSTANCE which should be handled by trained staff only.

    储存条件

    -20 °C,-80 °C

    储存方法

    Upon receipt, store at -20°C or -80°C. Avoid repeated freeze.
  • 抗原

    CIDEA (Cell Death-Inducing DFFA-Like Effector A (CIDEA))

    别名

    CIDEA

    背景

    Background: Acts as a CEBPB coactivator in mammary epithelial cells to control the expression of a subset of CEBPB downstream target genes, including ID2, IGF1, PRLR, SOCS1, SOCS3, XDH, but not casein. By interacting with CEBPB, strengthens the association of CEBPB with the XDH promoter, increases histone acetylation and dissociates HDAC1 from the promoter (By similarity). Binds to lipid droplets and regulates their enlargement, thereby restricting lipolysis and favoring storage. At focal contact sites between lipid droplets, promotes directional net neutral lipid transfer from the smaller to larger lipid droplets. The transfer direction may be driven by the internal pressure difference between the contacting lipid droplet pair and occurs at a lower rate than that promoted by CIDEC. When overexpressed, induces apoptosis. The physiological significance of its role in apoptosis is unclear.

    Aliases: CIDEACell death activator CIDE-A antibody, Cell death-inducing DFFA-like effector A antibody

    UniProt

    O60543
You are here: