电话:
+86 (0512) 65829739
传真:
+86 (010) 6788 5057
电子邮件:
orders@antibodies-online.cn

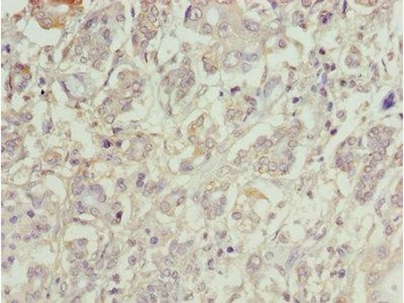
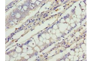
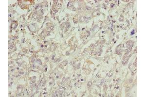
Cation Channel Sperm-Associated Protein Subunit epsilon (CATSPERE) (AA 601-832) 抗体

The 兔 多克隆 anti-Cation Channel Sperm-Associated Protein Subunit epsilon antibody (ABIN7147039) specifically detects Cation Channel Sperm-Associated Protein Subunit epsilon in ELISA, IF, IHC 和 WB. The antibody is reactive with 人 samples.
产品编号 ABIN7147039
发货至: 中国
Contact our Customer Service for availability and price in your country. Contact Info

Our Local Distributor

中国
北京 101111
No. 88 KeChuang 6th Street
Beijing Economic Technological Development Area
Room 801-803
4A Biotech Co.,Ltd.
Tel +86 (0512) 65829739 传真 +86 (010) 6788 5057

Quick Overview for Cation Channel Sperm-Associated Protein Subunit epsilon (CATSPERE) (AA 601-832) 抗体 (ABIN7147039)

抗原

Cation Channel Sperm-Associated Protein Subunit epsilon (CATSPERE)

适用

宿主

  • 3

克隆类型

  • 3
多克隆

标记

  • 1
  • 1
  • 1
非结合性

应用范围

ELISA, Immunofluorescence (IF), Immunohistochemistry (IHC), Western Blotting (WB)
  • 抗原表位

    AA 601-832

    原理

    CATSPERE Antibody

    交叉反应

    小鼠

    纯化方法

    Protein G purified

    纯度

    >95 %

    免疫原

    Recombinant Human Cation channel sperm-associated protein subunit epsilon protein (601-832AA)

    亚型

    IgG
  • 应用备注

    Optimal working dilution should be determined by the investigator.

    限制

    仅限研究用
  • 状态

    Liquid

    缓冲液

    Preservative: 0.03 % Proclin 300
    Constituents: 50 % Glycerol, 0.01M PBS, PH 7.4

    储存液

    ProClin

    注意事项

    This product contains ProClin: a POISONOUS AND HAZARDOUS SUBSTANCE which should be handled by trained staff only.

    储存条件

    -20 °C,-80 °C

    储存方法

    Upon receipt, store at -20°C or -80°C. Avoid repeated freeze.
  • 抗原

    Cation Channel Sperm-Associated Protein Subunit epsilon (CATSPERE)

    别名

    CATSPERE

    背景

    Background: Auxiliary component of the CatSper complex, a complex involved in sperm cell hyperactivation. Sperm cell hyperactivation is needed for sperm motility which is essential late in the preparation of sperm for fertilization.

    Aliases: C1orf101 antibody, CA101_HUMAN antibody, Chromosome 1 Open Reading Frame 101 antibody, RP11-523K4.1 antibody, Uncharacterized protein C1orf101 antibody

    UniProt

    Q5SY80
You are here: