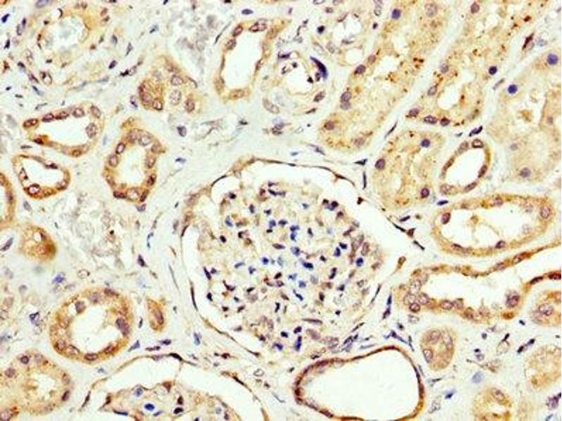
CPT2 抗体 (AA 388-551)
Our Local Distributor
北京 101111
Quick Overview for CPT2 抗体 (AA 388-551) (ABIN7146841)
抗原
See all CPT2 抗体适用
宿主
克隆类型
标记
应用范围
-
-
抗原表位
- AA 388-551
-
原理
- CPT2 Antibody
-
纯化方法
- Protein G purified
-
纯度
- >95 %
-
免疫原
- Recombinant Human Carnitine O-palmitoyltransferase 2, mitochondrial protein (388-551AA)
-
亚型
- IgG
-
-
-
-
应用备注
- Optimal working dilution should be determined by the investigator.
-
限制
- 仅限研究用
-
-
-
状态
- Liquid
-
缓冲液
-
Preservative: 0.03 % Proclin 300
Constituents: 50 % Glycerol, 0.01M PBS, pH 7.4 -
储存液
- ProClin
-
注意事项
- This product contains ProClin: a POISONOUS AND HAZARDOUS SUBSTANCE which should be handled by trained staff only.
-
储存条件
- -20 °C,-80 °C
-
储存方法
- Upon receipt, store at -20°C or -80°C. Avoid repeated freeze.
-
-
- CPT2 (Carnitine Palmitoyltransferase 2 (CPT2))
-
别名
- CPT2
-
背景
-
Background: mitochondrial inner membrane, mitochondrion, nucleolus, nucleoplasm, carnitine O-palmitoyltransferase activity, carnitine shuttle, regulation of lipid metabolic process
Aliases: Carnitine O palmitoyltransferase 2 antibody, Carnitine O palmitoyltransferase 2 mitochondrial antibody, Carnitine O-palmitoyltransferase 2 antibody, Carnitine palmitoyltransferase 2 antibody, Carnitine palmitoyltransferase II antibody, CPT 1 antibody, CPT 2 antibody, CPT II antibody, CPT1 antibody, CPT2 antibody, CPT2_HUMAN antibody, CPTASE antibody, CPTII antibody, IIAE4 antibody, mitochondrial antibody
-
UniProt
- P23786
-
途径
- Regulation of Lipid Metabolism by PPARalpha, Monocarboxylic Acid Catabolic Process
抗原
-