电话:
+86 (0512) 65829739
传真:
+86 (010) 6788 5057
电子邮件:
orders@antibodies-online.cn

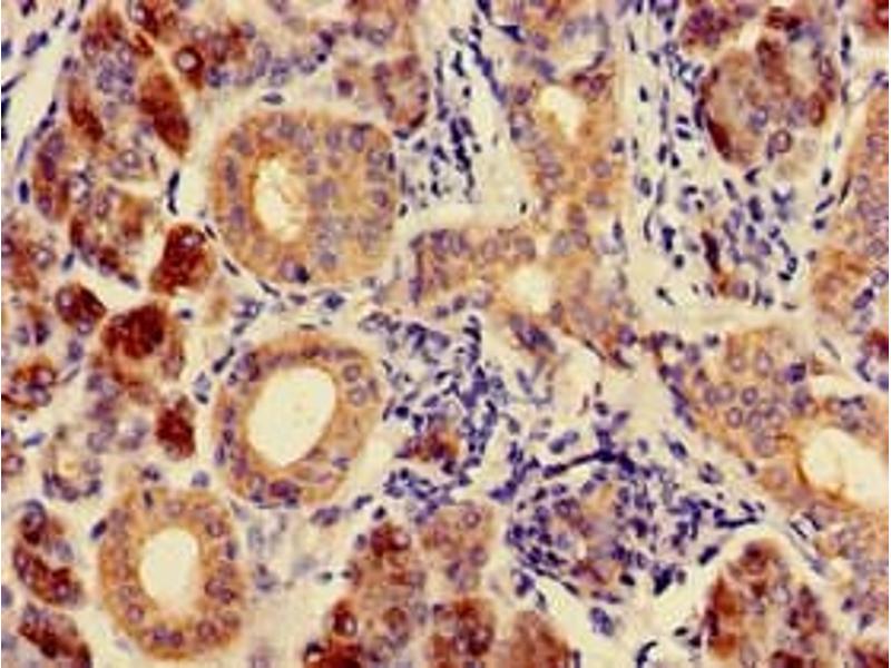
CA6 抗体 (AA 17-172)

This 兔 多克隆 antibody specifically detects CA6 in ELISA 和 IHC. It exhibits reactivity toward 人.
产品编号 ABIN7146731
发货至: 中国
Contact our Customer Service for availability and price in your country. Contact Info

Our Local Distributor

中国
北京 101111
No. 88 KeChuang 6th Street
Beijing Economic Technological Development Area
Room 801-803
4A Biotech Co.,Ltd.
Tel +86 (0512) 65829739 传真 +86 (010) 6788 5057

Quick Overview for CA6 抗体 (AA 17-172) (ABIN7146731)

抗原

See all CA6 抗体
CA6 (Carbonic Anhydrase VI (CA6))

适用

  • 58
  • 11
  • 5
  • 2
  • 1

宿主

  • 65
  • 6

克隆类型

  • 67
  • 4
多克隆

标记

  • 32
  • 8
  • 6
  • 4
  • 2
  • 2
  • 1
  • 1
  • 1
  • 1
  • 1
  • 1
  • 1
  • 1
  • 1
  • 1
  • 1
  • 1
  • 1
  • 1
  • 1
  • 1
  • 1
This CA6 antibody is un-conjugated

应用范围

  • 59
  • 29
  • 26
  • 13
  • 13
  • 10
  • 8
  • 7
  • 6
  • 3
  • 3
  • 3
  • 1
  • 1
ELISA, Immunohistochemistry (IHC)
  • 抗原表位

    • 15
    • 9
    • 9
    • 7
    • 4
    • 4
    • 3
    • 2
    • 2
    • 2
    • 2
    • 1
    • 1
    • 1
    • 1
    • 1
    AA 17-172

    原理

    CA6 Antibody

    纯化方法

    Protein G purified

    纯度

    >95 %

    免疫原

    Recombinant Human Carbonic anhydrase 6 protein (17-172AA)

    亚型

    IgG
  • 应用备注

    Optimal working dilution should be determined by the investigator.

    限制

    仅限研究用
  • 状态

    Liquid

    缓冲液

    Preservative: 0.03 % Proclin 300
    Constituents: 50 % Glycerol, 0.01M PBS, pH 7.4

    储存液

    ProClin

    注意事项

    This product contains ProClin: a POISONOUS AND HAZARDOUS SUBSTANCE which should be handled by trained staff only.

    储存条件

    -20 °C,-80 °C

    储存方法

    Upon receipt, store at -20°C or -80°C. Avoid repeated freeze.
  • 抗原

    CA6 (Carbonic Anhydrase VI (CA6))

    别名

    CA6

    背景

    Background: Reversible hydration of carbon dioxide. Its role in saliva is unknown.

    Aliases: CA VI antibody, CA-VI antibody, CA6 antibody, CAH6_HUMAN antibody, Carbonate dehydratase VI antibody, Carbonic anhydrase 6 antibody, Carbonic anhydrase VI antibody, carbonic anhydrase VI nirs variant 1 antibody, carbonic anhydrase VI nirs variant 3 antibody, GUSTIN antibody, MGC21256 antibody, Salivary carbonic anhydrase antibody, Secreted carbonic anhydrase antibody

    UniProt

    P23280
You are here: