电话:
+86 (0512) 65829739
传真:
+86 (010) 6788 5057
电子邮件:
orders@antibodies-online.cn

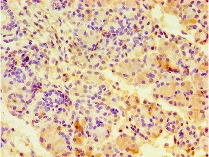
CA12 抗体 (AA 25-301)

The 兔 多克隆 anti-CA12 antibody (ABIN7146703) specifically detects CA12 in WB, ELISA 和 IHC. The antibody is reactive with 人 samples.
产品编号 ABIN7146703
发货至: 中国
Contact our Customer Service for availability and price in your country. Contact Info

Our Local Distributor

中国
北京 101111
No. 88 KeChuang 6th Street
Beijing Economic Technological Development Area
Room 801-803
4A Biotech Co.,Ltd.
Tel +86 (0512) 65829739 传真 +86 (010) 6788 5057

Quick Overview for CA12 抗体 (AA 25-301) (ABIN7146703)

抗原

See all CA12 抗体
CA12 (Carbonic Anhydrase 12 (CA12))

适用

  • 52
  • 11
  • 9
  • 1

宿主

  • 42
  • 10
  • 2

克隆类型

  • 45
  • 9
多克隆

标记

  • 30
  • 6
  • 3
  • 3
  • 1
  • 1
  • 1
  • 1
  • 1
  • 1
  • 1
  • 1
  • 1
  • 1
  • 1
  • 1
This CA12 antibody is un-conjugated

应用范围

  • 33
  • 22
  • 16
  • 14
  • 13
  • 8
  • 6
  • 5
  • 4
  • 3
  • 2
  • 1
  • 1
  • 1
Western Blotting (WB), ELISA, Immunohistochemistry (IHC)
  • 抗原表位

    • 15
    • 7
    • 3
    • 2
    • 2
    • 2
    • 1
    • 1
    • 1
    • 1
    • 1
    • 1
    • 1
    • 1
    AA 25-301

    原理

    CA12 Antibody

    交叉反应

    小鼠

    纯化方法

    Protein G purified

    纯度

    >95 %

    免疫原

    Recombinant Human Carbonic anhydrase 12 protein (25-301AA)

    亚型

    IgG
  • 应用备注

    Optimal working dilution should be determined by the investigator.

    限制

    仅限研究用
  • 状态

    Liquid

    缓冲液

    Preservative: 0.03 % Proclin 300
    Constituents: 50 % Glycerol, 0.01M PBS, PH 7.4

    储存液

    ProClin

    注意事项

    This product contains ProClin: a POISONOUS AND HAZARDOUS SUBSTANCE which should be handled by trained staff only.

    储存条件

    -20 °C,-80 °C

    储存方法

    Upon receipt, store at -20°C or -80°C. Avoid repeated freeze.
  • 抗原

    CA12 (Carbonic Anhydrase 12 (CA12))

    别名

    CA12

    背景

    Background: Reversible hydration of carbon dioxide.

    Aliases: CA 12 antibody, CA XII antibody, CA-XII antibody, CA12 antibody, CAH12_HUMAN antibody, Carbonate dehydratase XII antibody, Carbonic anhydrase 12 antibody, Carbonic anhydrase XII antibody, Carbonic dehydratase antibody, CAXII antibody, FLJ20151 antibody, HsT18816 antibody, T18816 antibody, Tumor antigen HOM RCC 3.1.3 antibody, Tumor antigen HOM-RCC-3.1.3 antibody

    UniProt

    O43570
You are here: