电话:
+86 (0512) 65829739
传真:
+86 (010) 6788 5057
电子邮件:
orders@antibodies-online.cn

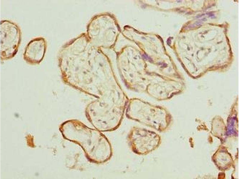
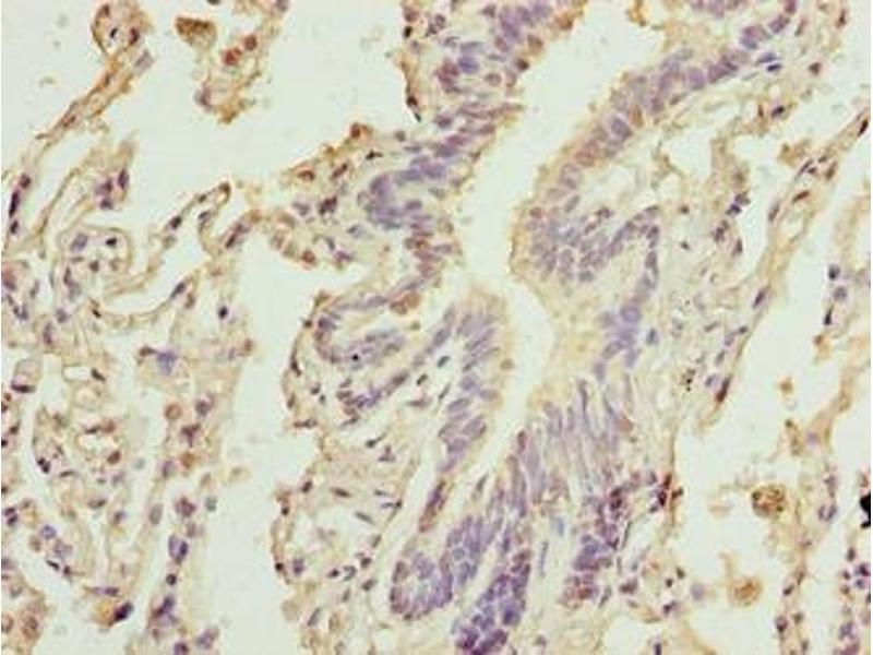
Calpain 6 抗体 (AA 195-494)

The 兔 多克隆 anti-Calpain 6 antibody (ABIN7146547) specifically detects Calpain 6 in WB, ELISA 和 IHC. The antibody is reactive with 人 samples.
产品编号 ABIN7146547
发货至: 中国
Contact our Customer Service for availability and price in your country. Contact Info

Our Local Distributor

中国
北京 101111
No. 88 KeChuang 6th Street
Beijing Economic Technological Development Area
Room 801-803
4A Biotech Co.,Ltd.
Tel +86 (0512) 65829739 传真 +86 (010) 6788 5057

Quick Overview for Calpain 6 抗体 (AA 195-494) (ABIN7146547)

抗原

See all Calpain 6 (CAPN6) 抗体
Calpain 6 (CAPN6)

适用

  • 29
  • 9
  • 4

宿主

  • 27
  • 4

克隆类型

  • 27
  • 4
多克隆

标记

  • 16
  • 3
  • 2
  • 2
  • 1
  • 1
  • 1
  • 1
  • 1
  • 1
  • 1
  • 1
This Calpain 6 antibody is un-conjugated

应用范围

  • 21
  • 15
  • 12
  • 4
  • 4
  • 4
  • 3
  • 2
  • 2
  • 1
Western Blotting (WB), ELISA, Immunohistochemistry (IHC)
  • 抗原表位

    • 7
    • 4
    • 2
    • 2
    • 2
    • 2
    • 1
    • 1
    • 1
    AA 195-494

    原理

    CAPN6 Antibody

    纯化方法

    Protein G purified

    纯度

    >95 %

    免疫原

    Recombinant Human Calpain-6 protein (195-494AA)

    亚型

    IgG
  • 应用备注

    Optimal working dilution should be determined by the investigator.

    限制

    仅限研究用
  • 状态

    Liquid

    缓冲液

    Preservative: 0.03 % Proclin 300
    Constituents: 50 % Glycerol, 0.01M PBS, PH 7.4

    储存液

    ProClin

    注意事项

    This product contains ProClin: a POISONOUS AND HAZARDOUS SUBSTANCE which should be handled by trained staff only.

    储存条件

    -20 °C,-80 °C

    储存方法

    Upon receipt, store at -20°C or -80°C. Avoid repeated freeze.
  • 抗原

    Calpain 6 (CAPN6)

    别名

    CAPN6

    背景

    Background: Microtubule-stabilizing protein that may be involved in the regulation of microtubule dynamics and cytoskeletal organization. May act as a regulator of RAC1 activity through interaction with ARHGEF2 to control lamellipodial formation and cell mobility. Does not seem to have protease activity as it has lost the active site residues.

    Aliases: CALP M antibody, Calpain-6 antibody, Calpain-like protease X-linked antibody, Calpamodulin antibody, CalpM antibody, CAN6_HUMAN antibody, CANP X antibody, CANPX antibody, CAPN 6 antibody, Capn6 antibody

    UniProt

    Q9Y6Q1
You are here: