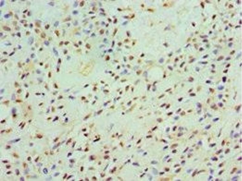
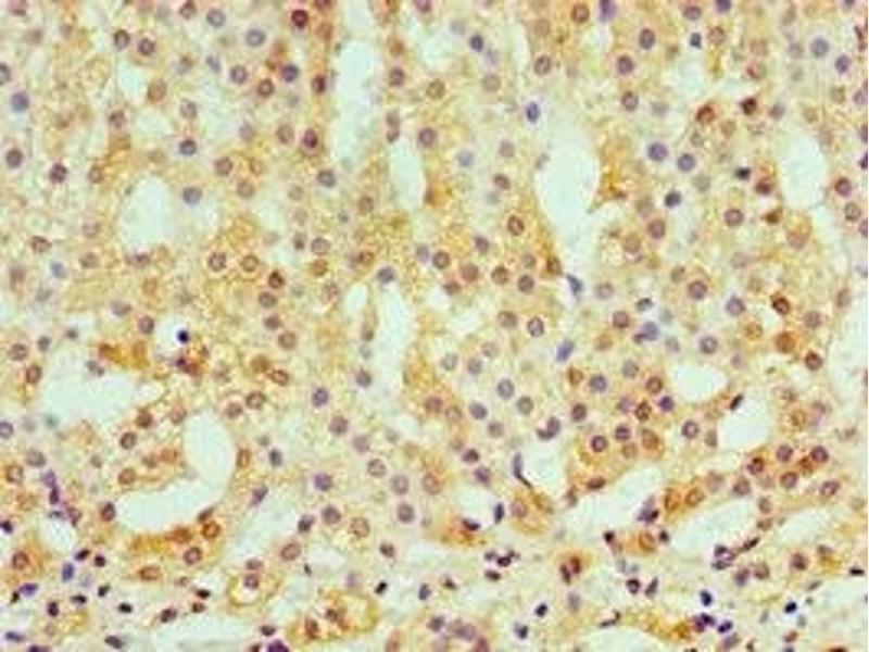
CAMK1G 抗体 (AA 217-476)
Our Local Distributor
北京 101111
Quick Overview for CAMK1G 抗体 (AA 217-476) (ABIN7146438)
抗原
See all CAMK1G 抗体适用
宿主
克隆类型
标记
应用范围
-
-
抗原表位
- AA 217-476
-
原理
- CAMK1G Antibody
-
纯化方法
- Antigen Affinity Purified
-
免疫原
- Recombinant Human Calcium/calmodulin-dependent protein kinase type 1G protein (217-476AA)
-
亚型
- IgG
-
-
-
-
应用备注
- Optimal working dilution should be determined by the investigator.
-
限制
- 仅限研究用
-
-
-
状态
- Liquid
-
缓冲液
- PBS with 0.02 % sodium azide, 50 % glycerol, pH 7.3.
-
储存液
- Sodium azide
-
注意事项
- This product contains Sodium azide: a POISONOUS AND HAZARDOUS SUBSTANCE which should be handled by trained staff only.
-
储存条件
- -20 °C,-80 °C
-
储存方法
- Upon receipt, store at -20°C or -80°C. Avoid repeated freeze.
-
-
- CAMK1G (Calcium/calmodulin-Dependent Protein Kinase IG (CAMK1G))
-
别名
- CAMK1G
-
背景
-
Background: Calcium/calmodulin-dependent protein kinase belonging to a proposed calcium-triggered signaling cascade. In vitro phosphorylates transcription factor CREB1 (By similarity).
Aliases: Calcium/calmodulin dependent protein kinase type 1G antibody, Calcium/calmodulin-dependent protein kinase I-gamma antibody, Calcium/calmodulin-dependent protein kinase Ig antibody, Calcium/calmodulin-dependent protein kinase type 1G antibody, CaM kinase I gamma antibody, CaM kinase IG antibody, CaM-KI gamma antibody, CaMK like CREB kinase III antibody, CaMK-like CREB kinase III antibody, Camk1g antibody, CaMKI gamma antibody, CaMKIG antibody, CLICK III antibody, CLICK3 antibody, dJ272L16.1 antibody, KCC1G_HUMAN antibody, VWS1 antibody
-
UniProt
- Q96NX5
抗原
-