电话:
+86 (0512) 65829739
传真:
+86 (010) 6788 5057
电子邮件:
orders@antibodies-online.cn

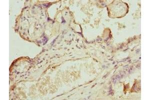
CAMK1D 抗体 (AA 1-180)

The 兔 多克隆 anti-CAMK1D antibody (ABIN7146436) specifically detects CAMK1D in ELISA 和 IHC. The antibody is reactive with 人 samples.
产品编号 ABIN7146436
发货至: 中国
Contact our Customer Service for availability and price in your country. Contact Info

Our Local Distributor

中国
北京 101111
No. 88 KeChuang 6th Street
Beijing Economic Technological Development Area
Room 801-803
4A Biotech Co.,Ltd.
Tel +86 (0512) 65829739 传真 +86 (010) 6788 5057

Quick Overview for CAMK1D 抗体 (AA 1-180) (ABIN7146436)

抗原

See all CAMK1D 抗体
CAMK1D (Calcium/calmodulin-Dependent Protein Kinase ID (CAMK1D))

适用

  • 50
  • 10
  • 6
  • 4
  • 4
  • 4
  • 3
  • 3
  • 2
  • 1
  • 1
  • 1

宿主

  • 43
  • 6
  • 1

克隆类型

  • 46
  • 4
多克隆

标记

  • 38
  • 2
  • 1
  • 1
  • 1
  • 1
  • 1
  • 1
  • 1
  • 1
  • 1
  • 1
This CAMK1D antibody is un-conjugated

应用范围

  • 38
  • 17
  • 15
  • 10
  • 9
  • 4
  • 4
  • 2
  • 1
  • 1
ELISA, Immunohistochemistry (IHC)
  • 抗原表位

    • 8
    • 5
    • 4
    • 4
    • 2
    • 2
    • 1
    • 1
    • 1
    • 1
    • 1
    • 1
    • 1
    • 1
    • 1
    • 1
    • 1
    • 1
    • 1
    AA 1-180

    原理

    CAMK1D Antibody

    纯化方法

    Antigen Affinity Purified

    免疫原

    Recombinant Human Calcium/calmodulin-dependent protein kinase type 1D protein (1-180AA)

    亚型

    IgG
  • 应用备注

    Optimal working dilution should be determined by the investigator.

    限制

    仅限研究用
  • 状态

    Liquid

    缓冲液

    PBS with 0.02 % sodium azide, 50 % glycerol, pH 7.3.

    储存液

    Sodium azide

    注意事项

    This product contains Sodium azide: a POISONOUS AND HAZARDOUS SUBSTANCE which should be handled by trained staff only.

    储存条件

    -20 °C,-80 °C

    储存方法

    Upon receipt, store at -20°C or -80°C. Avoid repeated freeze.
  • 抗原

    CAMK1D (Calcium/calmodulin-Dependent Protein Kinase ID (CAMK1D))

    别名

    CAMK1D

    背景

    Background: Calcium/calmodulin-dependent protein kinase that operates in the calcium-triggered CaMKK-CaMK1 signaling cascade and, upon calcium influx, activates CREB-dependent gene transcription, regulates calcium-mediated granulocyte function and respiratory burst and promotes basal dendritic growth of hippocampal neurons. In neutrophil cells, required for cytokine-induced proliferative responses and activation of the respiratory burst. Activates the transcription factor CREB1 in hippocampal neuron nuclei. May play a role in apoptosis of erythroleukemia cells. In vitro, phosphorylates transcription factor CREM isoform Beta.

    Aliases: A630059D12Rik antibody, Calcium/calmodulin dependent protein kinase ID antibody, Calcium/calmodulin dependent protein kinase type 1D antibody, Calcium/calmodulin-dependent protein kinase I-delta antibody, Calcium/calmodulin-dependent protein kinase type 1D antibody, CaM K1 antibody, CaM KI delta antibody, CaM kinase I delta antibody, CaM kinase ID antibody, CaM-KI delta antibody, CAMK 1D antibody, CAMK1D antibody, CaMKI delta antibody, CamKI like protein kinase antibody, CamKI-like protein kinase antibody, CaMKID antibody, CKLiK antibody, E030025C11Rik antibody, KCC1D_HUMAN antibody, OTTHUMP00000019119 antibody, OTTHUMP00000019120 antibody, OTTHUMP00000045030 antibody, RP11 462F15.1 antibody

    UniProt

    Q8IU85
You are here: