电话:
+86 (0512) 65829739
传真:
+86 (010) 6788 5057
电子邮件:
orders@antibodies-online.cn

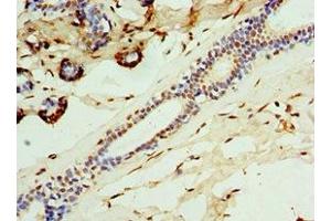
CALCB 抗体 (AA 1-127)

This 兔 多克隆 antibody specifically detects CALCB in IHC 和 ELISA. It exhibits reactivity toward 人.
产品编号 ABIN7146290
发货至: 中国
Contact our Customer Service for availability and price in your country. Contact Info

Our Local Distributor

中国
北京 101111
No. 88 KeChuang 6th Street
Beijing Economic Technological Development Area
Room 801-803
4A Biotech Co.,Ltd.
Tel +86 (0512) 65829739 传真 +86 (010) 6788 5057

Quick Overview for CALCB 抗体 (AA 1-127) (ABIN7146290)

抗原

See all CALCB 抗体
CALCB (Calcitonin-Related Polypeptide beta (CALCB))

适用

  • 6
  • 2
  • 1

宿主

  • 6
  • 1

克隆类型

  • 7
多克隆

标记

  • 6
  • 1
This CALCB antibody is un-conjugated

应用范围

  • 6
  • 2
  • 2
  • 1
Immunohistochemistry (IHC), ELISA
  • 抗原表位

    • 3
    • 1
    • 1
    AA 1-127

    原理

    CALCB Antibody

    纯化方法

    Antigen Affinity Purified

    免疫原

    Recombinant Human Calcitonin gene-related peptide 2 protein (1-127AA)

    亚型

    IgG
  • 应用备注

    Optimal working dilution should be determined by the investigator.

    限制

    仅限研究用
  • 状态

    Liquid

    缓冲液

    PBS with 0.02 % sodium azide, 50 % glycerol, pH 7.3.

    储存液

    Sodium azide

    注意事项

    This product contains Sodium azide: a POISONOUS AND HAZARDOUS SUBSTANCE which should be handled by trained staff only.

    储存条件

    -20 °C,-80 °C

    储存方法

    Upon receipt, store at -20°C or -80°C. Avoid repeated freeze.
  • 抗原

    CALCB (Calcitonin-Related Polypeptide beta (CALCB))

    别名

    CALCB

    背景

    Background: CGRP induces vasodilation. It dilates a variety of vessels including the coronary, cerebral and systemic vasculature. Its abundance in the CNS also points toward a neurotransmitter or neuromodulator role.

    Aliases: Beta type CGRP antibody, Beta-CGRP antibody, Beta-type CGRP antibody, CALC2 antibody, Calcb antibody, CALCB_HUMAN antibody, Calcitonin gene related peptide 2 antibody, Calcitonin gene related peptide II antibody, Calcitonin gene-related peptide 2 antibody, Calcitonin gene-related peptide II antibody, Calcitonin related polypeptide, beta antibody, CGRP II antibody, CGRP-II antibody, CGRP2 antibody, CGRPII antibody, FLJ30166 antibody

    UniProt

    P10092

    途径

    Hormone Activity
You are here: