电话:
+86 (0512) 65829739
传真:
+86 (010) 6788 5057
电子邮件:
orders@antibodies-online.cn

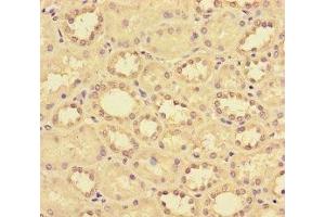
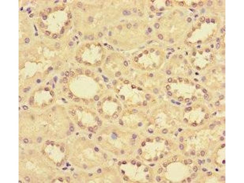
CCL14 抗体 (AA 20-93)

This 兔 多克隆 antibody specifically detects CCL14 in ELISA 和 IHC. It exhibits reactivity toward 人.
产品编号 ABIN7145954
发货至: 中国
Contact our Customer Service for availability and price in your country. Contact Info

Our Local Distributor

中国
北京 101111
No. 88 KeChuang 6th Street
Beijing Economic Technological Development Area
Room 801-803
4A Biotech Co.,Ltd.
Tel +86 (0512) 65829739 传真 +86 (010) 6788 5057

Quick Overview for CCL14 抗体 (AA 20-93) (ABIN7145954)

抗原

See all CCL14 抗体
CCL14 (Chemokine (C-C Motif) Ligand 14 (CCL14))

适用

宿主

  • 25
  • 9
  • 1
  • 1

克隆类型

  • 26
  • 10
多克隆

标记

  • 18
  • 5
  • 3
  • 1
  • 1
  • 1
  • 1
  • 1
  • 1
  • 1
  • 1
  • 1
  • 1
This CCL14 antibody is un-conjugated

应用范围

  • 16
  • 10
  • 8
  • 3
  • 3
  • 2
  • 2
  • 2
  • 2
  • 1
  • 1
  • 1
ELISA, Immunohistochemistry (IHC)
  • 抗原表位

    • 9
    • 2
    • 2
    • 1
    • 1
    AA 20-93

    原理

    CCL14 Antibody

    纯化方法

    Protein G purified

    纯度

    >95 %

    免疫原

    Recombinant Human C-C motif chemokine 14 protein (20-93AA)

    亚型

    IgG
  • 应用备注

    Optimal working dilution should be determined by the investigator.

    限制

    仅限研究用
  • 状态

    Liquid

    缓冲液

    Preservative: 0.03 % Proclin 300
    Constituents: 50 % Glycerol, 0.01M PBS, PH 7.4

    储存液

    ProClin

    注意事项

    This product contains ProClin: a POISONOUS AND HAZARDOUS SUBSTANCE which should be handled by trained staff only.

    储存条件

    -20 °C,-80 °C

    储存方法

    Upon receipt, store at -20°C or -80°C. Avoid repeated freeze.
  • 抗原

    CCL14 (Chemokine (C-C Motif) Ligand 14 (CCL14))

    别名

    CCL14

    背景

    Background: Has weak activities on human monocytes and acts via receptors that also recognize MIP-1 alpha. It induced intracellular Ca2+ changes and enzyme release, but no chemotaxis, at concentrations of 100-1,000 nM, and was inactive on T-lymphocytes, neutrophils, and eosinophil leukocytes. Enhances the proliferation of CD34 myeloid progenitor cells. The processed form HCC-1(9-74) is a chemotactic factor that attracts monocytes eosinophils, and T-cells and is a ligand for CCR1, CCR3 and CCR5.

    Aliases: CC-1 antibody, CC-3 antibody, CCL14 antibody, CCL14_HUMAN antibody, chemokine (C-C motif) ligand 14 antibody, Chemokine CC-1/CC-3 antibody, chemokine CC1 antibody, chemokine CC3 antibody, chemokine HCC1 antibody, chemokine HCC3 antibody, CKb1 antibody, HCC 1 antibody, HCC 3 antibody, HCC-1(1-74) antibody, HCC-1(9-74) antibody, HCC-1/HCC-3 antibody, HCC-3 antibody, HCC1 antibody, HEMOFILTRATE CC CHEMOKINE 1 antibody, MCIF antibody, NCC-2 antibody, NCC2 antibody, new CC chemokine 2 antibody, SCYA14 antibody, SCYL2 antibody, small inducible cytokine subfamily A (Cys-Cys), member 14 antibody, Small-inducible cytokine A14 antibody, SY14 antibody

    UniProt

    Q16627
You are here: