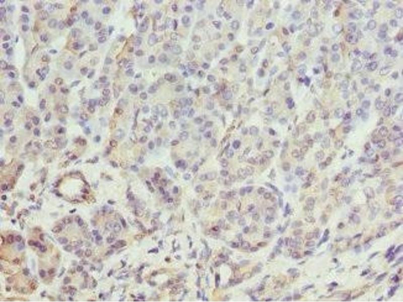
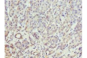
BTNL2 抗体 (AA 246-455)
Our Local Distributor
北京 101111
Quick Overview for BTNL2 抗体 (AA 246-455) (ABIN7145897)
抗原
See all BTNL2 抗体适用
宿主
克隆类型
标记
应用范围
-
-
抗原表位
- AA 246-455
-
原理
- BTNL2 Antibody
-
交叉反应
- 小鼠
-
纯化方法
- Antigen Affinity Purified
-
免疫原
- Recombinant Human Butyrophilin-like protein 2 protein (246-455AA)
-
亚型
- IgG
-
-
-
-
应用备注
- Recommended dilution:IHC:1:20-1:200,IF:1:20-1:200
-
限制
- 仅限研究用
-
-
-
状态
- Liquid
-
缓冲液
- PBS with 0.02 % sodium azide, 50 % glycerol, pH 7.3.
-
储存液
- Sodium azide
-
注意事项
- This product contains Sodium azide: a POISONOUS AND HAZARDOUS SUBSTANCE which should be handled by trained staff only.
-
储存条件
- -20 °C,-80 °C
-
储存方法
- Upon receipt, store at -20°C or -80°C. Avoid repeated freeze.
-
-
- BTNL2 (Butyrophilin-Like 2 (MHC Class II Associated) (BTNL2))
-
别名
- BTNL2
-
背景
-
Background: Negative regulator of T-cell proliferation.
Aliases: BTNL2Butyrophilin-like protein 2 antibody, BTL-II antibody
-
UniProt
- Q9UIR0
抗原
-