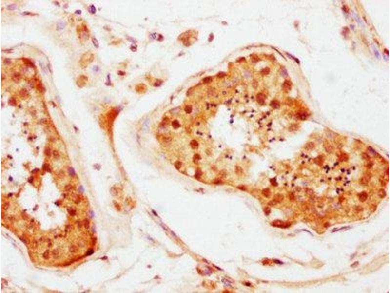
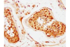
BRD1 抗体 (AA 756-879)
Our Local Distributor
北京 101111
Quick Overview for BRD1 抗体 (AA 756-879) (ABIN7145804)
抗原
See all BRD1 抗体适用
宿主
克隆类型
标记
应用范围
-
-
抗原表位
- AA 756-879
-
原理
- BRD1 Antibody
-
纯化方法
- Protein G purified
-
纯度
- >95 %
-
免疫原
- Recombinant Human Bromodomain-containing protein 1 protein (756-879AA)
-
亚型
- IgG
-
-
-
-
应用备注
- Optimal working dilution should be determined by the investigator.
-
限制
- 仅限研究用
-
-
-
状态
- Liquid
-
缓冲液
-
Preservative: 0.03 % Proclin 300
Constituents: 50 % Glycerol, 0.01M PBS, pH 7.4 -
储存液
- ProClin
-
注意事项
- This product contains ProClin: a POISONOUS AND HAZARDOUS SUBSTANCE which should be handled by trained staff only.
-
储存条件
- -20 °C,-80 °C
-
储存方法
- Upon receipt, store at -20°C or -80°C. Avoid repeated freeze.
-
-
- BRD1 (Bromodomain Containing 1 (BRD1))
-
别名
- BRD1
-
背景
-
Background: Component of the MOZ/MORF complex which has a histone H3 acetyltransferase activity.
Aliases: BR140-like protein antibody, BRD1 antibody, BRD1_HUMAN antibody, BRL antibody, Bromodomain and PHD finger-containing protein 2 antibody, Bromodomain containing 1 antibody, Bromodomain-containing protein 1 antibody, BRPF1 antibody, BRPF2 antibody, DKFZp686F0325 antibody
-
UniProt
- O95696
抗原
-