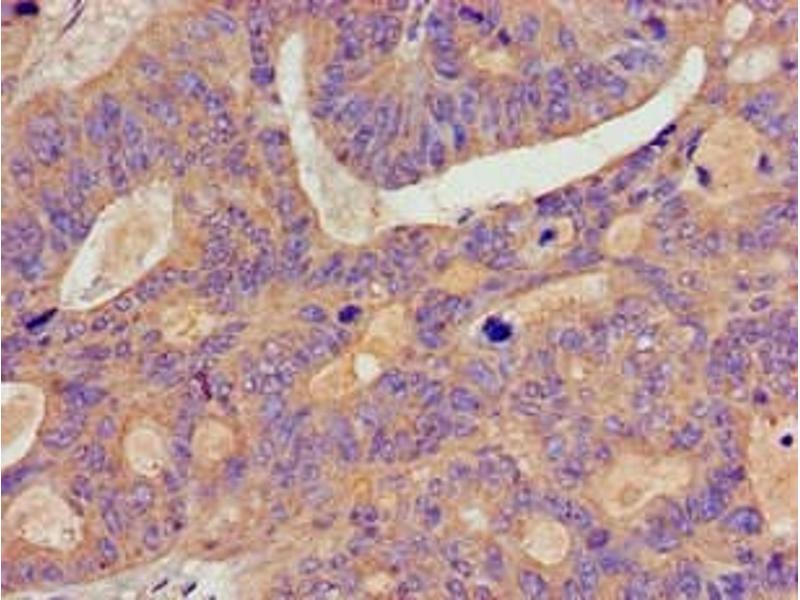
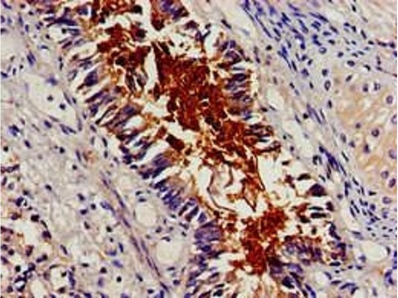
BCAR1 抗体 (AA 68-218)
Our Local Distributor
北京 101111
Quick Overview for BCAR1 抗体 (AA 68-218) (ABIN7145766)
抗原
See all BCAR1 抗体适用
宿主
克隆类型
标记
应用范围
-
-
抗原表位
- AA 68-218
-
原理
- BCAR1 Antibody
-
纯化方法
- Protein G purified
-
纯度
- >95 %
-
免疫原
- Recombinant Human Breast cancer anti-estrogen resistance protein 1 protein (68-218AA)
-
亚型
- IgG
-
-
-
-
应用备注
- Optimal working dilution should be determined by the investigator.
-
限制
- 仅限研究用
-
-
-
状态
- Liquid
-
缓冲液
-
Preservative: 0.03 % Proclin 300
Constituents: 50 % Glycerol, 0.01M PBS, pH 7.4 -
储存液
- ProClin
-
注意事项
- This product contains ProClin: a POISONOUS AND HAZARDOUS SUBSTANCE which should be handled by trained staff only.
-
储存条件
- -20 °C,-80 °C
-
储存方法
- Upon receipt, store at -20°C or -80°C. Avoid repeated freeze.
-
-
- BCAR1 (Breast Cancer Anti-Estrogen Resistance 1 (BCAR1))
-
别名
- BCAR1
-
背景
-
Background: Docking protein which plays a central coordinating role for tyrosine kinase-based signaling related to cell adhesion. Implicated in induction of cell migration. Overexpression confers antiestrogen resistance on breast cancer cells.
Aliases: BCAR 1 antibody, Bcar1 antibody, BCAR1_HUMAN antibody, Breast cancer anti estrogen resistance 1 antibody, Breast cancer anti estrogen resistance 1 protein antibody, Breast cancer anti-estrogen resistance protein 1 antibody, CAS antibody, Cas scaffolding protein family member 1 antibody, CAS1 antibody, Cass1 antibody, Crk associated substrate antibody, Crk associated substrate p130Cas antibody, CRK-associated substrate antibody, CRKAS antibody, FLJ12176 antibody, FLJ45059 antibody, p130cas antibody
-
UniProt
- P56945
-
途径
- EGFR Signaling Pathway, Neurotrophin Signaling Pathway, CXCR4-mediated Signaling Events, Platelet-derived growth Factor Receptor Signaling
抗原
-