电话:
+86 (0512) 65829739
传真:
+86 (010) 6788 5057
电子邮件:
orders@antibodies-online.cn

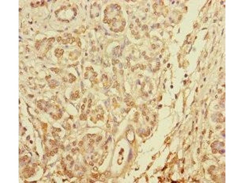
Pallidin 抗体 (AA 1-170)

The 兔 多克隆 anti-Pallidin antibody is suitable to detect Pallidin in samples from 人. It has been validated for WB, ELISA, IHC 和 IP.
产品编号 ABIN7145610
发货至: 中国
Contact our Customer Service for availability and price in your country. Contact Info

Our Local Distributor

中国
北京 101111
No. 88 KeChuang 6th Street
Beijing Economic Technological Development Area
Room 801-803
4A Biotech Co.,Ltd.
Tel +86 (0512) 65829739 传真 +86 (010) 6788 5057

Quick Overview for Pallidin 抗体 (AA 1-170) (ABIN7145610)

抗原

See all Pallidin (PLDN) 抗体
Pallidin (PLDN) (Pallidin Homolog (PLDN))

适用

  • 29
  • 15
  • 13
  • 4
  • 4
  • 4
  • 3
  • 3
  • 2
  • 2
  • 2
  • 1

宿主

  • 21
  • 7
  • 1

克隆类型

  • 24
  • 5
多克隆

标记

  • 19
  • 2
  • 1
  • 1
  • 1
  • 1
  • 1
  • 1
  • 1
  • 1
This Pallidin antibody is un-conjugated

应用范围

  • 21
  • 12
  • 11
  • 2
  • 1
  • 1
Western Blotting (WB), ELISA, Immunohistochemistry (IHC), Immunoprecipitation (IP)
  • 抗原表位

    • 4
    • 2
    • 2
    • 1
    • 1
    • 1
    • 1
    • 1
    • 1
    AA 1-170

    原理

    BLOC1S6 Antibody

    纯化方法

    Antigen Affinity Purified

    免疫原

    Recombinant Human Biogenesis of lysosome-related organelles complex 1 subunit 6 protein (1-170AA)

    亚型

    IgG
  • 应用备注

    Optimal working dilution should be determined by the investigator.

    限制

    仅限研究用
  • 状态

    Liquid

    缓冲液

    PBS with 0.02 % sodium azide, 50 % glycerol, pH 7.3.

    储存液

    Sodium azide

    注意事项

    This product contains Sodium azide: a POISONOUS AND HAZARDOUS SUBSTANCE which should be handled by trained staff only.

    储存条件

    -20 °C,-80 °C

    储存方法

    Upon receipt, store at -20°C or -80°C. Avoid repeated freeze.
  • 抗原

    Pallidin (PLDN) (Pallidin Homolog (PLDN))

    别名

    BLOC1S6

    背景

    Background: Component of the BLOC-1 complex, a complex that is required for normal biogenesis of lysosome-related organelles (LRO), such as platelet dense granules and melanosomes. In concert with the AP-3 complex, the BLOC-1 complex is required to target membrane protein cargos into vesicles assembled at cell bodies for delivery into neurites and nerve terminals. The BLOC-1 complex, in association with SNARE proteins, is also proposed to be involved in neurite extension. May play a role in intracellular vesicle trafficking, particularly in the vesicle-docking and fusion process.

    Aliases: Bloc1s6 antibody, iogenesis of lysosome-related organelles complex 1 subunit 6 antibody, PA antibody, Pallid (mouse) homolog antibody, PALLID antibody, Pallid protein antibody, Pallid protein homolog antibody, Pallidin antibody, Pallidin homolog (mouse) antibody, PLDN antibody, PLDN_HUMAN antibody, Syntaxin 13 binding protein antibody, Syntaxin 13-interacting protein antibody

    UniProt

    Q9UL45

    途径

    Synaptic Vesicle Exocytosis
You are here: