电话:
+86 (0512) 65829739
传真:
+86 (010) 6788 5057
电子邮件:
orders@antibodies-online.cn

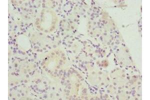
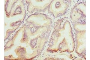
Biliverdin Reductase 抗体 (AA 1-296)

The 兔 多克隆 anti-Biliverdin Reductase antibody (ABIN7145599) specifically detects Biliverdin Reductase in IHC 和 ELISA. The antibody is reactive with 人 samples.
产品编号 ABIN7145599
发货至: 中国
Contact our Customer Service for availability and price in your country. Contact Info

Our Local Distributor

中国
北京 101111
No. 88 KeChuang 6th Street
Beijing Economic Technological Development Area
Room 801-803
4A Biotech Co.,Ltd.
Tel +86 (0512) 65829739 传真 +86 (010) 6788 5057

Quick Overview for Biliverdin Reductase 抗体 (AA 1-296) (ABIN7145599)

抗原

See all Biliverdin Reductase (BLVRA) 抗体
Biliverdin Reductase (BLVRA) (Biliverdin Reductase A (BLVRA))

适用

  • 48
  • 19
  • 18

宿主

  • 45
  • 6

克隆类型

  • 47
  • 4
多克隆

标记

  • 19
  • 4
  • 3
  • 3
  • 2
  • 2
  • 1
  • 1
  • 1
  • 1
  • 1
  • 1
  • 1
  • 1
  • 1
  • 1
  • 1
  • 1
  • 1
  • 1
  • 1
  • 1
  • 1
  • 1
This Biliverdin Reductase antibody is un-conjugated

应用范围

  • 22
  • 18
  • 13
  • 13
  • 13
  • 9
  • 5
  • 5
  • 4
  • 3
  • 3
  • 2
  • 2
  • 2
Immunohistochemistry (IHC), ELISA
  • 抗原表位

    • 16
    • 8
    • 6
    • 4
    • 2
    • 1
    • 1
    • 1
    • 1
    • 1
    AA 1-296

    原理

    BLVRA Antibody

    纯化方法

    Antigen Affinity Purified

    免疫原

    Recombinant Human Biliverdin reductase A protein (1-296AA)

    亚型

    IgG
  • 应用备注

    Optimal working dilution should be determined by the investigator.

    限制

    仅限研究用
  • 状态

    Liquid

    缓冲液

    PBS with 0.02 % sodium azide, 50 % glycerol, pH 7.3.

    储存液

    Sodium azide

    注意事项

    This product contains Sodium azide: a POISONOUS AND HAZARDOUS SUBSTANCE which should be handled by trained staff only.

    储存条件

    -20 °C,-80 °C

    储存方法

    Upon receipt, store at -20°C or -80°C. Avoid repeated freeze.
  • 抗原

    Biliverdin Reductase (BLVRA) (Biliverdin Reductase A (BLVRA))

    别名

    BLVRA

    背景

    Background: Reduces the gamma-methene bridge of the open tetrapyrrole, biliverdin IX alpha, to bilirubin with the concomitant oxidation of a NADH or NADPH cofactor.

    Aliases: BIEA_HUMAN antibody, Biliverdin IX alpha reductase antibody, Biliverdin reductase A antibody, Biliverdin-IX alpha-reductase antibody, BLVR A antibody, BLVR antibody, Blvra antibody, BVR A antibody, BVR antibody, BVRA antibody, Zinc metalloprotein antibody

    UniProt

    P53004
You are here: