电话:
+86 (0512) 65829739
传真:
+86 (010) 6788 5057
电子邮件:
orders@antibodies-online.cn

DEFB4A 抗体 (AA 1-64)

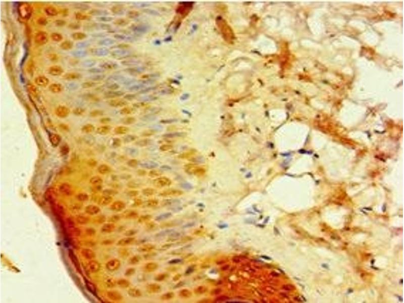
The 兔 多克隆 anti-DEFB4A antibody (ABIN7145488) specifically detects DEFB4A in ELISA 和 IHC. The antibody is reactive with 人 samples.
产品编号 ABIN7145488
发货至: 中国
Contact our Customer Service for availability and price in your country. Contact Info

Our Local Distributor

中国
北京 101111
No. 88 KeChuang 6th Street
Beijing Economic Technological Development Area
Room 801-803
4A Biotech Co.,Ltd.
Tel +86 (0512) 65829739 传真 +86 (010) 6788 5057

Quick Overview for DEFB4A 抗体 (AA 1-64) (ABIN7145488)

抗原

See all DEFB4A (DEFB4) 抗体
DEFB4A (DEFB4) (Defensin, beta 4A (DEFB4))

适用

  • 24
  • 4
  • 3
  • 1

宿主

  • 19
  • 5
  • 2
  • 1

克隆类型

  • 25
  • 2
多克隆

标记

  • 16
  • 4
  • 1
  • 1
  • 1
  • 1
  • 1
  • 1
  • 1
This DEFB4A antibody is un-conjugated

应用范围

  • 16
  • 15
  • 2
  • 1
  • 1
  • 1
ELISA, Immunohistochemistry (IHC)
  • 抗原表位

    • 4
    • 2
    • 1
    • 1
    • 1
    • 1
    • 1
    AA 1-64

    原理

    DEFB4A Antibody

    纯化方法

    Antigen Affinity Purified

    免疫原

    Recombinant Human Beta-defensin 4A protein (1-64AA)

    亚型

    IgG
  • 应用备注

    Optimal working dilution should be determined by the investigator.

    限制

    仅限研究用
  • 状态

    Liquid

    缓冲液

    PBS with 0.02 % sodium azide, 50 % glycerol, pH 7.3.

    储存液

    Sodium azide

    注意事项

    This product contains Sodium azide: a POISONOUS AND HAZARDOUS SUBSTANCE which should be handled by trained staff only.

    储存条件

    -20 °C,-80 °C

    储存方法

    Upon receipt, store at -20°C or -80°C. Avoid repeated freeze.
  • 抗原

    DEFB4A (DEFB4) (Defensin, beta 4A (DEFB4))

    别名

    DEFB4A

    背景

    Background: Has antibacterial activity.

    Aliases: BD 2 antibody, BD-2 antibody, BD2 antibody, beta 2 antibody, beta 2 Defensin antibody, Beta defensin 2 antibody, Beta defensin 4B antibody, Beta-defensin 2 antibody, Beta-defensin 4A antibody, DEF B2 antibody, DEF B4 antibody, DEFB 102 antibody, DEFB 2 antibody, DEFB 4 antibody, DEFB102 antibody, DEFB2 antibody, DEFB2, formerly antibody, DEFB4 antibody, DEFB4, formerly antibody, DEFB4B antibody, DEFB4P antibody, Defensin antibody, Defensin beta 2 antibody, Defensin, beta 4 antibody, Defensin, beta 4, pseudogene antibody, Defensin, beta 4A antibody, Defensin, beta 4B antibody, Defensin, beta, 2, formerly antibody, Defensin, beta, 4, formerly antibody, DFB4A_HUMAN antibody, HBD 2 antibody, hBD-2 antibody, HBD2 antibody, mBD-2 antibody, SAP 1 antibody, SAP1 antibody, Skin antimicrobial peptide 1 antibody, Skin-antimicrobial peptide 1 antibody

    UniProt

    O15263
You are here: