电话:
+86 (0512) 65829739
传真:
+86 (010) 6788 5057
电子邮件:
orders@antibodies-online.cn

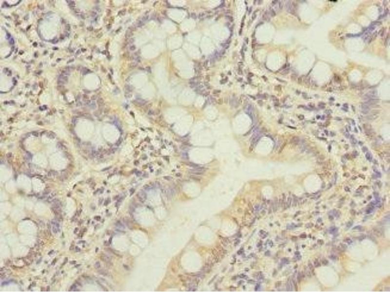
BCL2-Like 15 抗体 (AA 1-163)

The 兔 多克隆 anti-BCL2-Like 15 antibody is suitable to detect BCL2-Like 15 in samples from 人. It has been validated for IHC 和 ELISA.
产品编号 ABIN7145307
发货至: 中国
Contact our Customer Service for availability and price in your country. Contact Info

Our Local Distributor

中国
北京 101111
No. 88 KeChuang 6th Street
Beijing Economic Technological Development Area
Room 801-803
4A Biotech Co.,Ltd.
Tel +86 (0512) 65829739 传真 +86 (010) 6788 5057

Quick Overview for BCL2-Like 15 抗体 (AA 1-163) (ABIN7145307)

抗原

BCL2-Like 15 (BCL2L5)

适用

  • 36
  • 1

宿主

  • 35
  • 1

克隆类型

  • 26
  • 10
多克隆

标记

  • 7
  • 2
  • 2
  • 2
  • 2
  • 2
  • 2
  • 2
  • 1
  • 1
  • 1
  • 1
  • 1
  • 1
  • 1
  • 1
  • 1
  • 1
  • 1
  • 1
  • 1
  • 1
  • 1
This BCL2-Like 15 antibody is un-conjugated

应用范围

  • 28
  • 13
  • 13
  • 12
  • 12
  • 11
  • 10
  • 5
  • 4
  • 3
  • 1
Immunohistochemistry (IHC), ELISA
  • 抗原表位

    • 15
    • 1
    • 1
    • 1
    AA 1-163

    原理

    BCL2L15 Antibody

    纯化方法

    Antigen Affinity Purified

    免疫原

    Recombinant Human Bcl-2-like protein 15 protein (1-163AA)

    亚型

    IgG
  • 应用备注

    Optimal working dilution should be determined by the investigator.

    限制

    仅限研究用
  • 状态

    Liquid

    缓冲液

    PBS with 0.02 % sodium azide, 50 % glycerol, pH 7.3.

    储存液

    Sodium azide

    注意事项

    This product contains Sodium azide: a POISONOUS AND HAZARDOUS SUBSTANCE which should be handled by trained staff only.

    储存条件

    -20 °C,-80 °C

    储存方法

    Upon receipt, store at -20°C or -80°C. Avoid repeated freeze.
  • 抗原

    BCL2-Like 15 (BCL2L5)

    别名

    BCL2L15

    背景

    AC124698.1 antibody, B2L15_HUMAN antibody, Bcl-2-like protein 15 antibody, Bcl2-L-15 antibody, BCL2-like 15 antibody, Bcl2l15 antibody, Bfk antibody, C1orf178 antibody, FLJ22588 antibody, Gm566 antibody, Pro apoptotic Bcl 2 protein antibody

    UniProt

    Q5TBC7
You are here: