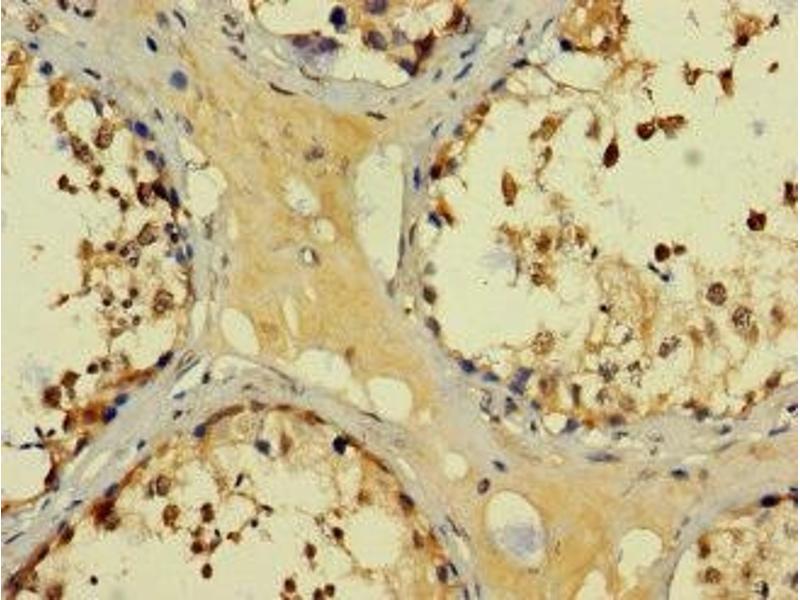
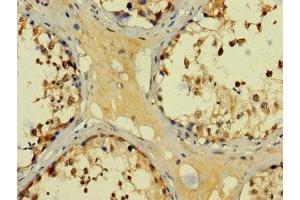
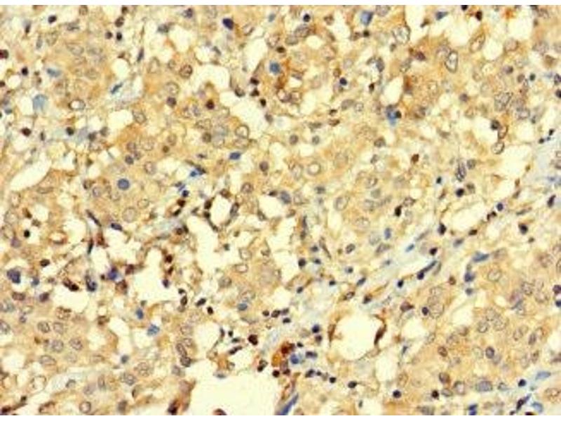
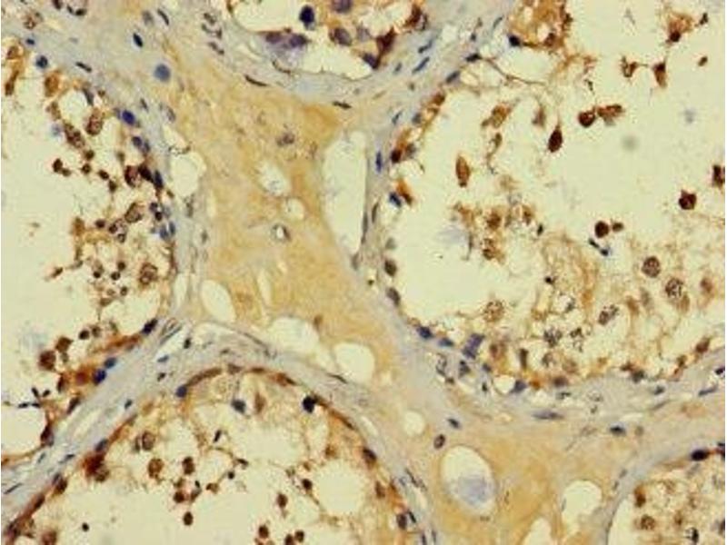
BAGE3 抗体 (AA 18-109)
Our Local Distributor
北京 101111
Quick Overview for BAGE3 抗体 (AA 18-109) (ABIN7145137)
抗原
See all BAGE3 抗体适用
宿主
克隆类型
标记
应用范围
-
-
抗原表位
- AA 18-109
-
原理
- BAGE3 Antibody
-
纯化方法
- Protein G purified
-
纯度
- >95 %
-
免疫原
- Recombinant Human B melanoma antigen 3 protein (18-109AA)
-
亚型
- IgG
-
-
-
-
应用备注
- Optimal working dilution should be determined by the investigator.
-
限制
- 仅限研究用
-
-
-
状态
- Liquid
-
缓冲液
-
Preservative: 0.03 % Proclin 300
Constituents: 50 % Glycerol, 0.01M PBS, PH 7.4 -
储存液
- ProClin
-
注意事项
- This product contains ProClin: a POISONOUS AND HAZARDOUS SUBSTANCE which should be handled by trained staff only.
-
储存条件
- -20 °C,-80 °C
-
储存方法
- Upon receipt, store at -20°C or -80°C. Avoid repeated freeze.
-
-
- BAGE3 (B Melanoma Antigen Family, Member 3 (BAGE3))
-
别名
- BAGE3
-
背景
-
Background: Unknown. Candidate gene encoding tumor antigens.
Aliases: BAGE3B melanoma antigen 3 antibody, Cancer/testis antigen 2.3 antibody, CT2.3 antibody
-
UniProt
- Q86Y29
抗原
-