电话:
+86 (0512) 65829739
传真:
+86 (010) 6788 5057
电子邮件:
orders@antibodies-online.cn

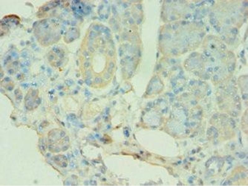
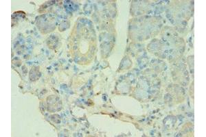
ATG9B 抗体 (AA 715-924)

The 兔 多克隆 anti-ATG9B antibody is suitable to detect ATG9B in samples from 人. It has been validated for ELISA 和 IHC.
产品编号 ABIN7145118
发货至: 中国
Contact our Customer Service for availability and price in your country. Contact Info

Our Local Distributor

中国
北京 101111
No. 88 KeChuang 6th Street
Beijing Economic Technological Development Area
Room 801-803
4A Biotech Co.,Ltd.
Tel +86 (0512) 65829739 传真 +86 (010) 6788 5057

Quick Overview for ATG9B 抗体 (AA 715-924) (ABIN7145118)

抗原

See all ATG9B 抗体
ATG9B (Autophagy Related 9B (ATG9B))

适用

  • 27
  • 20
  • 19
  • 2
  • 1
  • 1
  • 1
  • 1

宿主

  • 42

克隆类型

  • 42
多克隆

标记

  • 14
  • 3
  • 3
  • 3
  • 2
  • 2
  • 1
  • 1
  • 1
  • 1
  • 1
  • 1
  • 1
  • 1
  • 1
  • 1
  • 1
  • 1
  • 1
  • 1
  • 1
This ATG9B antibody is un-conjugated

应用范围

  • 27
  • 13
  • 13
  • 13
  • 13
  • 13
  • 8
  • 6
  • 3
  • 1
  • 1
ELISA, Immunohistochemistry (IHC)
  • 抗原表位

    • 15
    • 10
    • 8
    • 7
    • 1
    • 1
    • 1
    AA 715-924

    原理

    ATG9B Antibody

    纯化方法

    Antigen Affinity Purified

    免疫原

    Recombinant Human Autophagy-related protein 9B protein (715-924AA)

    亚型

    IgG
  • 应用备注

    Optimal working dilution should be determined by the investigator.

    限制

    仅限研究用
  • 状态

    Liquid

    缓冲液

    PBS with 0.02 % sodium azide, 50 % glycerol, pH 7.3.

    储存液

    Sodium azide

    注意事项

    This product contains Sodium azide: a POISONOUS AND HAZARDOUS SUBSTANCE which should be handled by trained staff only.

    储存条件

    -20 °C,-80 °C

    储存方法

    Upon receipt, store at -20°C or -80°C. Avoid repeated freeze.
  • 抗原

    ATG9B (Autophagy Related 9B (ATG9B))

    别名

    ATG9B

    背景

    Background: Involved in autophagy and cytoplasm to vacuole transport (Cvt) vesicle formation. Plays a key role in the organization of the preautophagosomal structure/phagophore assembly site (PAS), the nucleating site for formation of the sequestering vesicle (By similarity).

    Aliases: APG9 like 2 antibody, APG9-like 2 antibody, Apg912 antibody, APG9L2 antibody, Apgdc2 antibody, ATG9 autophagy related 9 homolog B (S. cerevisiae) antibody, Atg9b antibody, ATG9B_HUMAN antibody, Autophagy 9 like 2 protein antibody, Autophagy related protein 9B antibody, Autophagy-related protein 9B antibody, Endothelial nitric oxide synthase antisense antibody, eONE antibody, Gm574 antibody, Nitric oxide synthase 3 antisense antibody, Nitric oxide synthase 3 overlapping antisense gene protein antibody, Nitric oxide synthase 3-overlapping antisense gene protein antibody, NOS3AS antibody, Protein sONE antibody, SONE antibody

    UniProt

    Q674R7
You are here: