电话:
+86 (0512) 65829739
传真:
+86 (010) 6788 5057
电子邮件:
orders@antibodies-online.cn

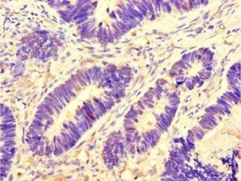
Aurora A 抗体 (AA 1-131)

This 兔 多克隆 antibody specifically detects Aurora A in WB, ELISA, IHC 和 IF. It exhibits reactivity toward 人.
产品编号 ABIN7145075
发货至: 中国
Contact our Customer Service for availability and price in your country. Contact Info

Our Local Distributor

中国
北京 101111
No. 88 KeChuang 6th Street
Beijing Economic Technological Development Area
Room 801-803
4A Biotech Co.,Ltd.
Tel +86 (0512) 65829739 传真 +86 (010) 6788 5057

Quick Overview for Aurora A 抗体 (AA 1-131) (ABIN7145075)

抗原

See all Aurora A (AURKA) 抗体
Aurora A (AURKA) (Aurora Kinase A (AURKA))

适用

  • 129
  • 78
  • 40
  • 21
  • 17
  • 14
  • 6
  • 3
  • 3
  • 2
  • 2
  • 2

宿主

  • 121
  • 21
  • 1
  • 1

克隆类型

  • 103
  • 40
多克隆

标记

  • 86
  • 9
  • 5
  • 5
  • 4
  • 4
  • 4
  • 4
  • 4
  • 4
  • 2
  • 2
  • 1
  • 1
  • 1
  • 1
  • 1
  • 1
  • 1
  • 1
  • 1
  • 1
  • 1
This Aurora A antibody is un-conjugated

应用范围

  • 108
  • 49
  • 37
  • 35
  • 23
  • 20
  • 16
  • 11
  • 10
  • 3
  • 1
Western Blotting (WB), ELISA, Immunohistochemistry (IHC), Immunofluorescence (IF)
  • 抗原表位

    • 24
    • 11
    • 9
    • 8
    • 8
    • 5
    • 3
    • 3
    • 2
    • 2
    • 2
    • 2
    • 2
    • 2
    • 2
    • 1
    • 1
    • 1
    • 1
    • 1
    • 1
    • 1
    • 1
    • 1
    • 1
    • 1
    • 1
    • 1
    • 1
    • 1
    • 1
    • 1
    • 1
    • 1
    • 1
    AA 1-131

    原理

    AURKA Antibody

    交叉反应

    小鼠

    纯化方法

    Protein G purified

    纯度

    >95 %

    免疫原

    Recombinant Human Aurora kinase A protein (1-131AA)

    亚型

    IgG
  • 应用备注

    Optimal working dilution should be determined by the investigator.

    限制

    仅限研究用
  • 状态

    Liquid

    缓冲液

    Preservative: 0.03 % Proclin 300
    Constituents: 50 % Glycerol, 0.01M PBS, PH 7.4

    储存液

    ProClin

    注意事项

    This product contains ProClin: a POISONOUS AND HAZARDOUS SUBSTANCE which should be handled by trained staff only.

    储存条件

    -20 °C,-80 °C

    储存方法

    Upon receipt, store at -20°C or -80°C. Avoid repeated freeze.
  • 抗原

    Aurora A (AURKA) (Aurora Kinase A (AURKA))

    别名

    AURKA

    背景

    Background: Mitotic serine/threonine kinases that contributes to the regulation of cell cycle progression. Associates with the centrosome and the spindle microtubules during mitosis and plays a critical role in various mitotic events including the establishment of mitotic spindle, centrosome duplication, centrosome separation as well as maturation, chromosomal alignment, spindle assembly checkpoint, and cytokinesis. Required for initial activation of CDK1 at centrosomes. Phosphorylates numerous target proteins, including ARHGEF2, BORA, BRCA1, CDC25B, DLGP5, HDAC6, KIF2A, LATS2, NDEL1, PARD3, PPP1R2, PLK1, RASSF1, TACC3, p53/TP53 and TPX2. Regulates KIF2A tubulin depolymerase activity. Required for normal axon formation. Plays a role in microtubule remodeling during neurite extension. Important for microtubule formation and/or stabilization. Also acts as a key regulatory component of the p53/TP53 pathway, and particularly the checkpoint-response pathways critical for oncogenic transformation of cells, by phosphorylating and stabilizing p53/TP53. Phosphorylates its own inhibitors, the protein phosphatase type 1 (PP1) isoforms, to inhibit their activity. Necessary for proper cilia disassembly prior to mitosis.

    Aliases: AIK antibody, ARK-1 antibody, ARK1 antibody, AURA antibody, Aurka antibody, Aurora 2 antibody, Aurora A antibody, Aurora kinase A antibody, Aurora-related kinase 1 antibody, Aurora/IPL1 like kinase antibody, AURORA/IPL1-like kinase antibody, Aurora/IPL1-related kinase 1 antibody, AURORA2 antibody, Breast tumor-amplified kinase antibody, BTAK antibody, hARK1 antibody, IAK antibody, IPL1 related kinase antibody, MGC34538 antibody, OTTHUMP00000031340 antibody, OTTHUMP00000031341 antibody, OTTHUMP00000031342 antibody, OTTHUMP00000031343 antibody, OTTHUMP00000031344 antibody, OTTHUMP00000031345 antibody, OTTHUMP00000166071 antibody, OTTHUMP00000166072 antibody, PPP1R47 antibody, Protein phosphatase 1, regulatory subunit 47 antibody, Serine/threonine kinase 15 antibody, Serine/threonine kinase 6 antibody, Serine/threonine protein kinase 15 antibody, Serine/threonine-protein kinase 15 antibody, Serine/threonine-protein kinase 6 antibody, Serine/threonine-protein kinase aurora-A antibody, STK15 antibody, STK6 antibody, STK6_HUMAN antibody, STK7 antibody

    UniProt

    O14965

    途径

    Cell Division Cycle, Asymmetric Protein Localization
You are here: