电话:
+86 (0512) 65829739
传真:
+86 (010) 6788 5057
电子邮件:
orders@antibodies-online.cn

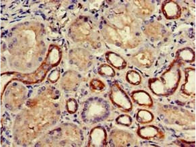
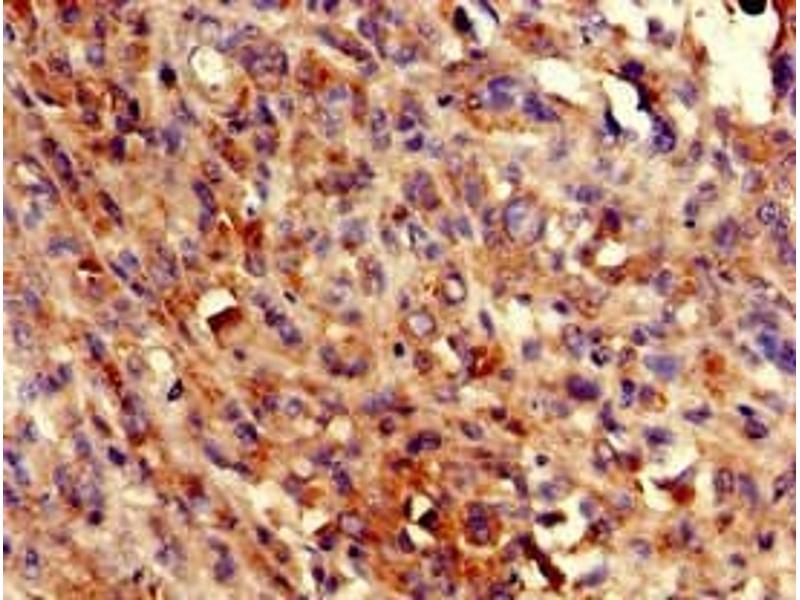
COQ8B 抗体 (AA 10-137)

The 兔 多克隆 anti-COQ8B antibody (ABIN7145071) specifically detects COQ8B in ELISA, IF, IHC 和 WB. The antibody is reactive with 人 samples.
产品编号 ABIN7145071
发货至: 中国
Contact our Customer Service for availability and price in your country. Contact Info

Our Local Distributor

中国
北京 101111
No. 88 KeChuang 6th Street
Beijing Economic Technological Development Area
Room 801-803
4A Biotech Co.,Ltd.
Tel +86 (0512) 65829739 传真 +86 (010) 6788 5057

Quick Overview for COQ8B 抗体 (AA 10-137) (ABIN7145071)

抗原

COQ8B (Atypical Kinase COQ8B, Mitochondrial (COQ8B))

适用

  • 4
  • 1
  • 1

宿主

  • 4

克隆类型

  • 4
多克隆

标记

  • 1
  • 1
  • 1
  • 1
This COQ8B antibody is un-conjugated

应用范围

  • 3
  • 1
  • 1
  • 1
  • 1
ELISA, Immunofluorescence (IF), Immunohistochemistry (IHC), Western Blotting (WB)
  • 抗原表位

    • 3
    • 1
    AA 10-137

    原理

    COQ8B Antibody

    纯化方法

    Protein G purified

    纯度

    >95 %

    免疫原

    Recombinant Human Atypical kinase COQ8B, mitochondrial protein (10-137AA)

    亚型

    IgG
  • 应用备注

    Optimal working dilution should be determined by the investigator.

    限制

    仅限研究用
  • 状态

    Liquid

    缓冲液

    Preservative: 0.03 % Proclin 300
    Constituents: 50 % Glycerol, 0.01M PBS, pH 7.4

    储存液

    ProClin

    注意事项

    This product contains ProClin: a POISONOUS AND HAZARDOUS SUBSTANCE which should be handled by trained staff only.

    储存条件

    -20 °C,-80 °C

    储存方法

    Upon receipt, store at -20°C or -80°C. Avoid repeated freeze.
  • 抗原

    COQ8B (Atypical Kinase COQ8B, Mitochondrial (COQ8B))

    别名

    COQ8B

    背景

    Background: May play a role in CoQ10 (COQ10A and/or COQ10B) biosynthesis, which is required for podocyte migration.

    Aliases: aarF domain containing protein kinase 4 antibody, ADCK4 antibody, ADCK4_HUMAN antibody, Atypical kinase COQ8B mitochondrial antibody, Coenzyme Q8B antibody, COQ8B antibody, NPHS9 antibody, Uncharacterized aarF domain containing protein kinase 4 antibody, Uncharacterized aarF domain-containing protein kinase 4 antibody

    UniProt

    Q96D53
You are here: