电话:
+86 (0512) 65829739
传真:
+86 (010) 6788 5057
电子邮件:
orders@antibodies-online.cn

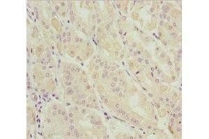
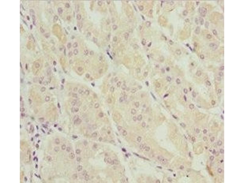
DDX11 抗体 (AA 1-220)

The 兔 多克隆 anti-DDX11 antibody is suitable to detect DDX11 in samples from 人. It has been validated for ELISA 和 IHC.
产品编号 ABIN7144962
发货至: 中国
Contact our Customer Service for availability and price in your country. Contact Info

Our Local Distributor

中国
北京 101111
No. 88 KeChuang 6th Street
Beijing Economic Technological Development Area
Room 801-803
4A Biotech Co.,Ltd.
Tel +86 (0512) 65829739 传真 +86 (010) 6788 5057

Quick Overview for DDX11 抗体 (AA 1-220) (ABIN7144962)

抗原

See all DDX11 抗体
DDX11 (DEAD/H (Asp-Glu-Ala-Asp/His) Box Polypeptide 11 (DDX11))

适用

  • 62
  • 24
  • 15

宿主

  • 58
  • 4

克隆类型

  • 61
  • 1
多克隆

标记

  • 18
  • 4
  • 4
  • 4
  • 2
  • 2
  • 2
  • 2
  • 2
  • 2
  • 2
  • 2
  • 2
  • 2
  • 2
  • 2
  • 2
  • 1
  • 1
  • 1
  • 1
  • 1
  • 1
This DDX11 antibody is un-conjugated

应用范围

  • 56
  • 26
  • 26
  • 24
  • 19
  • 7
  • 6
  • 3
  • 2
  • 2
  • 1
ELISA, Immunohistochemistry (IHC)
  • 抗原表位

    • 15
    • 8
    • 7
    • 3
    • 3
    • 2
    • 2
    • 2
    • 1
    • 1
    • 1
    • 1
    • 1
    AA 1-220

    原理

    DDX11 Antibody

    纯化方法

    Antigen Affinity Purified

    免疫原

    Recombinant Human ATP-dependent DNA helicase DDX11 protein (1-220AA)

    亚型

    IgG
  • 应用备注

    Optimal working dilution should be determined by the investigator.

    限制

    仅限研究用
  • 状态

    Liquid

    缓冲液

    PBS with 0.02 % sodium azide, 50 % glycerol, pH 7.3.

    储存液

    Sodium azide

    注意事项

    This product contains Sodium azide: a POISONOUS AND HAZARDOUS SUBSTANCE which should be handled by trained staff only.

    储存条件

    -20 °C,-80 °C

    储存方法

    Upon receipt, store at -20°C or -80°C. Avoid repeated freeze.
  • 抗原

    DDX11 (DEAD/H (Asp-Glu-Ala-Asp/His) Box Polypeptide 11 (DDX11))

    别名

    DDX11

    背景

    Background: DNA helicase involved in cellular proliferation. Possesses DNA-dependent ATPase and helicase activities. This helicase translocates on single-stranded DNA in the 5\\\' to 3\\\' direction in the presence of ATP and, to a lesser extent, dATP. Its unwinding activity requires a 5\\\'-single-stranded region for helicase loading, since flush-ended duplex structures do not support unwinding. The helicase activity is capable of displacing duplex regions up to 100 bp, which can be extended to 500 bp by RPA or the cohesion establishment factor, the Ctf18-RFC (replication factor C) complex activities. Stimulates the flap endonuclease activity of FEN1. Required for normal sister chromatid cohesion. Required for recruitment of bovine papillomavirus type 1 regulatory protein E2 to mitotic chrmosomes and for viral genome maintenance. Required for maintaining the chromosome segregation and is essential for embryonic development and the prevention of aneuploidy. May function during either S, G2, or M phase of the cell cycle. Binds to both single- and double-stranded DNA.

    Aliases: CHL1 antibody, CHL1 related helicase gene 1 antibody, CHL1-like helicase homolog antibody, CHL1-related protein 1 antibody, CHLR1 antibody, Ddx11 antibody, DDX11_HUMAN antibody, DEAD/H (Asp Glu Ala Asp/His) box polypeptide 11 antibody, DEAD/H (Asp-Glu-Ala-Asp/His) box helicase 11 antibody, DEAD/H (Asp-Glu-Ala-Asp/His) box polypeptide 11 (CHL1-like helicase homolog, S. cerevisiae) antibody, DEAD/H box antibody, DEAD/H box protein 11 antibody, hCHLR1 antibody, Keratinocyte growth factor regulated gene 2 protein antibody, Keratinocyte growth factor-regulated gene 2 protein antibody, KRG 2 antibody, KRG-2 antibody, KRG2 antibody, MGC133249 antibody, MGC9335 antibody, OTTHUMP00000238778 antibody, OTTHUMP00000238780 antibody, OTTHUMP00000238784 antibody, OTTHUMP00000238785 antibody, Probable ATP dependent RNA helicase DDX11 antibody, Probable ATP-dependent RNA helicase DDX11 antibody, WABS antibody

    UniProt

    Q96FC9

    途径

    ER-Nucleus Signaling
You are here: