电话:
+86 (0512) 65829739
传真:
+86 (010) 6788 5057
电子邮件:
orders@antibodies-online.cn

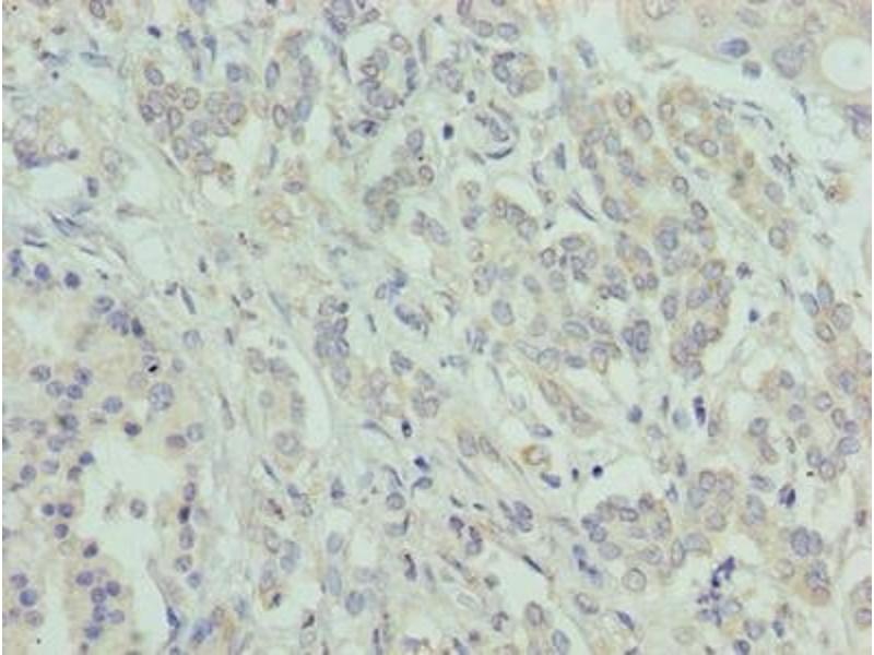
ATXN7L1 抗体 (AA 1-146)

The 兔 多克隆 anti-ATXN7L1 antibody (ABIN7144801) specifically detects ATXN7L1 in ELISA 和 IHC. The antibody is reactive with 人 samples.
产品编号 ABIN7144801
发货至: 中国
Contact our Customer Service for availability and price in your country. Contact Info

Our Local Distributor

中国
北京 101111
No. 88 KeChuang 6th Street
Beijing Economic Technological Development Area
Room 801-803
4A Biotech Co.,Ltd.
Tel +86 (0512) 65829739 传真 +86 (010) 6788 5057

Quick Overview for ATXN7L1 抗体 (AA 1-146) (ABIN7144801)

抗原

ATXN7L1 (Ataxin 7-Like 1 (ATXN7L1))

适用

  • 16
  • 6
  • 3
  • 2
  • 2
  • 1
  • 1
  • 1

宿主

  • 11
  • 5

克隆类型

  • 12
  • 4
多克隆

标记

  • 12
  • 2
  • 1
  • 1
This ATXN7L1 antibody is un-conjugated

应用范围

  • 11
  • 7
  • 4
  • 2
  • 1
  • 1
  • 1
ELISA, Immunohistochemistry (IHC)
  • 抗原表位

    • 5
    • 2
    • 1
    • 1
    • 1
    • 1
    AA 1-146

    原理

    ATXN7L1 Antibody

    纯化方法

    Protein G purified

    纯度

    >95 %

    免疫原

    Recombinant Human Ataxin-7-like protein 1 protein (1-146AA)

    亚型

    IgG
  • 应用备注

    Optimal working dilution should be determined by the investigator.

    限制

    仅限研究用
  • 状态

    Liquid

    缓冲液

    Preservative: 0.03 % Proclin 300
    Constituents: 50 % Glycerol, 0.01M PBS, PH 7.4

    储存液

    ProClin

    注意事项

    This product contains ProClin: a POISONOUS AND HAZARDOUS SUBSTANCE which should be handled by trained staff only.

    储存条件

    -20 °C,-80 °C

    储存方法

    Upon receipt, store at -20°C or -80°C. Avoid repeated freeze.
  • 抗原

    ATXN7L1 (Ataxin 7-Like 1 (ATXN7L1))

    别名

    ATXN7L1

    背景

    2810423G08Rik antibody, AT7L1_HUMAN antibody, Ataxin 7 like 4 antibody, Ataxin 7 like protein 1 antibody, ataxin 7-like 1 antibody, Ataxin-7-like protein 1 antibody, Ataxin-7-like protein 4 antibody, ATXN7L1 antibody, Atxn7l4 antibody, FLJ40255 antibody, FLJ58242 antibody, KIAA1218 antibody, mCG_142289 antibody, MGC10760 antibody, MGC28883 antibody, MGC33190 antibody, RGD1564242 antibody, tcag7.1150 antibody

    UniProt

    Q9ULK2
You are here: