电话:
+86 (0512) 65829739
传真:
+86 (010) 6788 5057
电子邮件:
orders@antibodies-online.cn

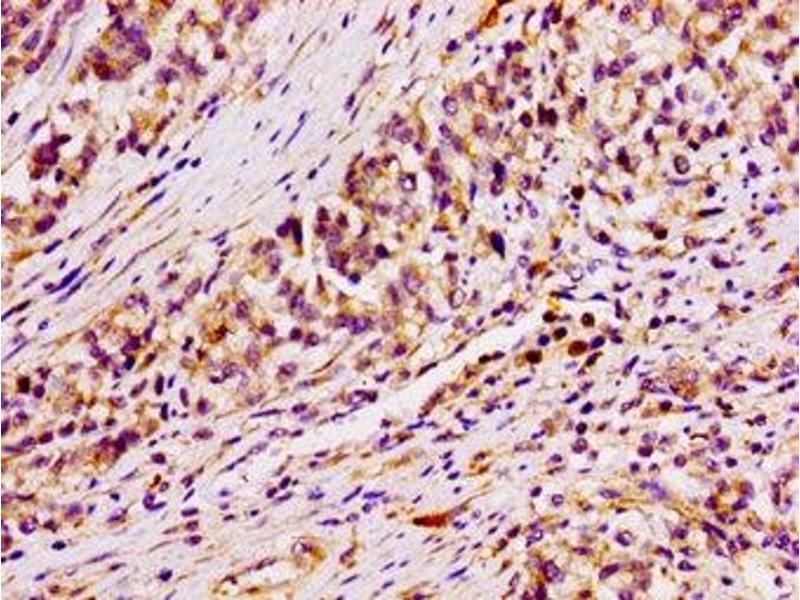
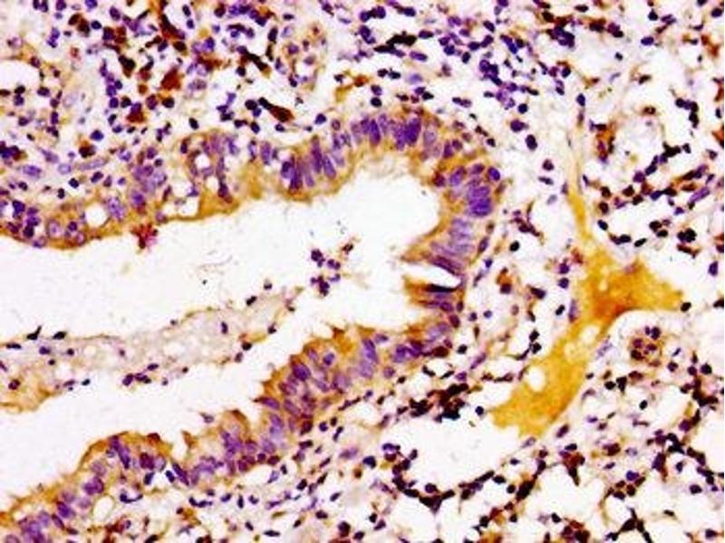
ARID3A 抗体 (AA 26-137)

The 兔 多克隆 anti-ARID3A antibody is suitable to detect ARID3A in samples from 人. It has been validated for WB, ELISA, IHC 和 IF.
产品编号 ABIN7144779
发货至: 中国
Contact our Customer Service for availability and price in your country. Contact Info

Our Local Distributor

中国
北京 101111
No. 88 KeChuang 6th Street
Beijing Economic Technological Development Area
Room 801-803
4A Biotech Co.,Ltd.
Tel +86 (0512) 65829739 传真 +86 (010) 6788 5057

Quick Overview for ARID3A 抗体 (AA 26-137) (ABIN7144779)

抗原

See all ARID3A 抗体
ARID3A (AT Rich Interactive Domain 3A (BRIGHT-Like) (ARID3A))

适用

  • 47
  • 10
  • 8
  • 4
  • 4
  • 3
  • 2
  • 2
  • 2
  • 1
  • 1
  • 1

宿主

  • 39
  • 8

克隆类型

  • 42
  • 5
多克隆

标记

  • 29
  • 3
  • 2
  • 2
  • 1
  • 1
  • 1
  • 1
  • 1
  • 1
  • 1
  • 1
  • 1
  • 1
  • 1
This ARID3A antibody is un-conjugated

应用范围

  • 39
  • 15
  • 13
  • 13
  • 7
  • 7
  • 7
  • 6
  • 3
  • 3
  • 1
  • 1
  • 1
  • 1
Western Blotting (WB), ELISA, Immunohistochemistry (IHC), Immunofluorescence (IF)
  • 抗原表位

    • 15
    • 5
    • 3
    • 3
    • 2
    • 2
    • 1
    • 1
    • 1
    • 1
    • 1
    • 1
    • 1
    • 1
    • 1
    AA 26-137

    原理

    ARID3A Antibody

    交叉反应

    小鼠

    纯化方法

    Protein G purified

    纯度

    >95 %

    免疫原

    Recombinant Human AT-rich interactive domain-containing protein 3A protein (26-137AA)

    亚型

    IgG
  • 应用备注

    Optimal working dilution should be determined by the investigator.

    限制

    仅限研究用
  • 状态

    Liquid

    缓冲液

    Preservative: 0.03 % Proclin 300
    Constituents: 50 % Glycerol, 0.01M PBS, pH 7.4

    储存液

    ProClin

    注意事项

    This product contains ProClin: a POISONOUS AND HAZARDOUS SUBSTANCE which should be handled by trained staff only.

    储存条件

    -20 °C,-80 °C

    储存方法

    Upon receipt, store at -20°C or -80°C. Avoid repeated freeze.
  • 抗原

    ARID3A (AT Rich Interactive Domain 3A (BRIGHT-Like) (ARID3A))

    别名

    ARID3A

    背景

    Background: Transcription factor which may be involved in the control of cell cycle progression by the RB1/E2F1 pathway and in B-cell differentiation.

    Aliases: ARI3A_HUMAN antibody, ARID domain containing 3A antibody, ARID domain-containing protein 3A antibody, ARID3A antibody, AT rich interactive domain 3A (BRIGHT- like) protein antibody, AT rich interactive domain 3A (BRIGHT-like) antibody, AT rich interactive domain-containing protein 3A antibody, AT-rich interactive domain-containing protein 3A antibody, B cell regulator of IgH transcription antibody, B-cell regulator of IgH transcription antibody, Bright antibody, dead ringer like 1 antibody, dead ringer, Drosophila, homolog-like 1 antibody, Dead ringer-like protein 1 antibody, DRIL1 antibody, DRIL3 antibody, DRX antibody, E2F binding protein 1 antibody, E2F-binding protein 1 antibody, E2FBP1 antibody, Homo sapiens AT rich interactive domain 3A (BRIGHT-like) antibody

    UniProt

    Q99856

    途径

    Chromatin Binding
You are here: