电话:
+86 (0512) 65829739
传真:
+86 (010) 6788 5057
电子邮件:
orders@antibodies-online.cn

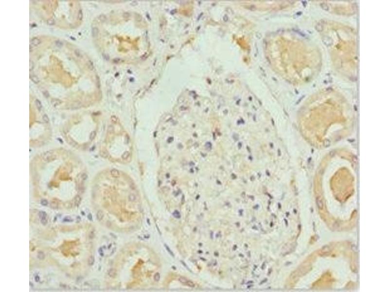
PEA15 抗体 (AA 1-130)

This 兔 多克隆 antibody specifically detects PEA15 in WB, ELISA, IHC 和 IF. It exhibits reactivity toward 人.
产品编号 ABIN7144769
发货至: 中国
Contact our Customer Service for availability and price in your country. Contact Info

Our Local Distributor

中国
北京 101111
No. 88 KeChuang 6th Street
Beijing Economic Technological Development Area
Room 801-803
4A Biotech Co.,Ltd.
Tel +86 (0512) 65829739 传真 +86 (010) 6788 5057

Quick Overview for PEA15 抗体 (AA 1-130) (ABIN7144769)

抗原

See all PEA15 抗体
PEA15 (phosphoprotein Enriched in Astrocytes 15 (PEA15))

适用

  • 69
  • 41
  • 28
  • 10
  • 4
  • 4
  • 4
  • 4
  • 4
  • 3
  • 2
  • 2
  • 2
  • 2

宿主

  • 69
  • 2

克隆类型

  • 71
多克隆

标记

  • 38
  • 4
  • 2
  • 2
  • 2
  • 2
  • 2
  • 2
  • 2
  • 2
  • 1
  • 1
  • 1
  • 1
  • 1
  • 1
  • 1
  • 1
  • 1
  • 1
  • 1
  • 1
  • 1
This PEA15 antibody is un-conjugated

应用范围

  • 38
  • 32
  • 22
  • 15
  • 15
  • 12
  • 8
  • 5
  • 3
  • 2
  • 2
  • 1
Western Blotting (WB), ELISA, Immunohistochemistry (IHC), Immunofluorescence (IF)
  • 抗原表位

    • 15
    • 13
    • 13
    • 8
    • 8
    • 2
    • 2
    • 2
    • 1
    • 1
    • 1
    • 1
    • 1
    • 1
    • 1
    • 1
    • 1
    • 1
    AA 1-130

    原理

    PEA15 Antibody

    交叉反应

    小鼠

    纯化方法

    Antigen Affinity Purified

    免疫原

    Recombinant Human Astrocytic phosphoprotein PEA-15 protein (1-130AA)

    亚型

    IgG
  • 应用备注

    Optimal working dilution should be determined by the investigator.

    限制

    仅限研究用
  • 状态

    Liquid

    缓冲液

    PBS with 0.02 % sodium azide, 50 % glycerol, pH 7.3.

    储存液

    Sodium azide

    注意事项

    This product contains Sodium azide: a POISONOUS AND HAZARDOUS SUBSTANCE which should be handled by trained staff only.

    储存条件

    -20 °C,-80 °C

    储存方法

    Upon receipt, store at -20°C or -80°C. Avoid repeated freeze.
  • 抗原

    PEA15 (phosphoprotein Enriched in Astrocytes 15 (PEA15))

    别名

    PEA15

    背景

    Background: Blocks Ras-mediated inhibition of integrin activation and modulates the ERK MAP kinase cascade. Inhibits RPS6KA3 activities by retaining it in the cytoplasm (By similarity). Inhibits both TNFRSF6- and TNFRSF1A-mediated CASP8 activity and apoptosis. Regulates glucose transport by controlling both the content of SLC2A1 glucose transporters on the plasma membrane and the insulin-dependent trafficking of SLC2A4 from the cell interior to the surface.

    Aliases: 15 kDa phosphoprotein enriched in astrocytes antibody, Astrocytic phosphoprotein PEA 15 antibody, Astrocytic phosphoprotein PEA-15 antibody, Astrocytic phosphoprotein PEA15 antibody, HMAT 1 antibody, HMAT1 antibody, Homolog of mouse MAT 1 oncogene antibody, Homolog of mouse MAT1 oncogene antibody, HUMMAT 1H antibody, HUMMAT1H antibody, MAT 1 antibody, MAT 1H antibody, MAT1 antibody, MAT1H antibody, PEA 15 antibody, Pea15 antibody, PEA15 protein antibody, PEA15_HUMAN antibody, PED antibody, Phosphoprotein enriched in astrocytes 15 antibody, Phosphoprotein enriched in astrocytes 15kD antibody, Phosphoprotein enriched in diabetes antibody

    UniProt

    Q15121
You are here: