电话:
+86 (0512) 65829739
传真:
+86 (010) 6788 5057
电子邮件:
orders@antibodies-online.cn

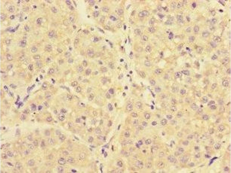
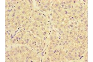
NARS 抗体 (AA 1-300)

The 兔 多克隆 anti-NARS antibody is suitable to detect NARS in samples from 人. It has been validated for ELISA, IHC 和 IF.
产品编号 ABIN7144725
发货至: 中国
Contact our Customer Service for availability and price in your country. Contact Info

Our Local Distributor

中国
北京 101111
No. 88 KeChuang 6th Street
Beijing Economic Technological Development Area
Room 801-803
4A Biotech Co.,Ltd.
Tel +86 (0512) 65829739 传真 +86 (010) 6788 5057

Quick Overview for NARS 抗体 (AA 1-300) (ABIN7144725)

抗原

See all NARS 抗体
NARS (Asparaginyl-tRNA Synthetase (NARS))

适用

  • 47
  • 27
  • 4
  • 2
  • 2
  • 1
  • 1
  • 1
  • 1
  • 1
  • 1

宿主

  • 39
  • 8

克隆类型

  • 41
  • 6
多克隆

标记

  • 23
  • 3
  • 2
  • 2
  • 1
  • 1
  • 1
  • 1
  • 1
  • 1
  • 1
  • 1
  • 1
  • 1
  • 1
  • 1
  • 1
  • 1
  • 1
  • 1
  • 1
This NARS antibody is un-conjugated

应用范围

  • 35
  • 13
  • 13
  • 13
  • 7
  • 5
  • 4
  • 4
  • 4
  • 3
  • 3
  • 2
  • 1
  • 1
ELISA, Immunohistochemistry (IHC), Immunofluorescence (IF)
  • 抗原表位

    • 15
    • 5
    • 4
    • 4
    • 2
    • 2
    • 1
    • 1
    • 1
    • 1
    AA 1-300

    原理

    NARS Antibody

    纯化方法

    Protein G purified

    纯度

    >95 %

    免疫原

    Recombinant Human Asparagine--tRNA ligase, cytoplasmic protein (1-300AA)

    亚型

    IgG
  • 应用备注

    Optimal working dilution should be determined by the investigator.

    限制

    仅限研究用
  • 状态

    Liquid

    缓冲液

    Preservative: 0.03 % Proclin 300
    Constituents: 50 % Glycerol, 0.01M PBS, PH 7.4

    储存液

    ProClin

    注意事项

    This product contains ProClin: a POISONOUS AND HAZARDOUS SUBSTANCE which should be handled by trained staff only.

    储存条件

    -20 °C,-80 °C

    储存方法

    Upon receipt, store at -20°C or -80°C. Avoid repeated freeze.
  • 抗原

    NARS (Asparaginyl-tRNA Synthetase (NARS))

    别名

    NARS

    背景

    Background: cytoplasm, cytosol, extracellular exosome, asparagine-tRNA ligase activity, gene expression, tRNA aminoacylation for protein translation

    Aliases: 3010001M15Rik antibody, AA960128 antibody, AsnRS antibody, ASNS antibody, Asparagine tRNA ligase 1, cytoplasmic antibody, Asparagine tRNA ligase antibody, Asparagine--tRNA ligase antibody, Asparaginyl tRNA synthetase antibody, Asparaginyl-tRNA synthetase antibody, C78150 antibody, cytoplasmic antibody, EC 6.1.1.22 antibody, LRRGT00113 antibody, MGC116236 antibody, Nars antibody, NARS1 antibody, NRS antibody, SYNC_HUMAN antibody

    UniProt

    O43776
You are here: