电话:
+86 (0512) 65829739
传真:
+86 (010) 6788 5057
电子邮件:
orders@antibodies-online.cn

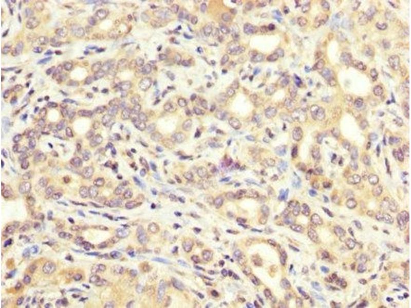
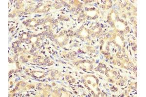
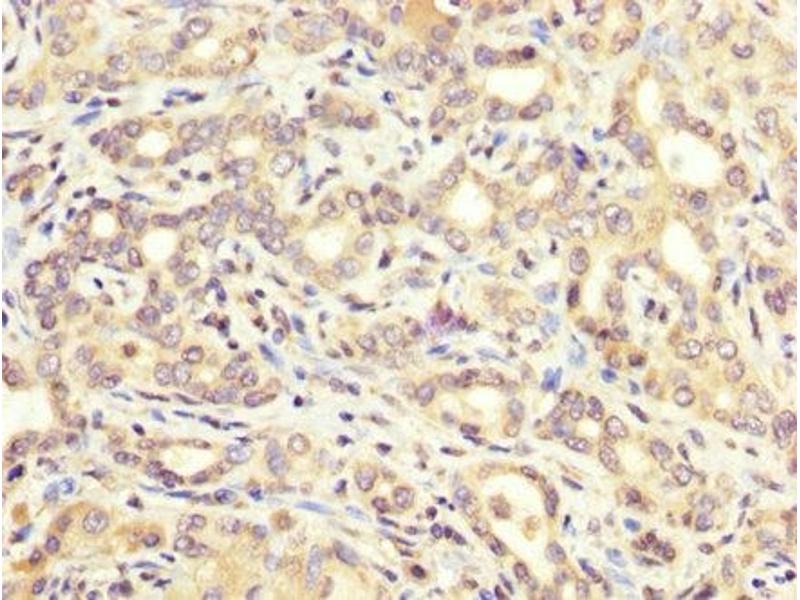
ATE1 抗体 (AA 105-253)

The 兔 多克隆 anti-ATE1 antibody (ABIN7144603) specifically detects ATE1 in ELISA, IHC 和 IF. The antibody is reactive with 人 samples.
产品编号 ABIN7144603
发货至: 中国
Contact our Customer Service for availability and price in your country. Contact Info

Our Local Distributor

中国
北京 101111
No. 88 KeChuang 6th Street
Beijing Economic Technological Development Area
Room 801-803
4A Biotech Co.,Ltd.
Tel +86 (0512) 65829739 传真 +86 (010) 6788 5057

Quick Overview for ATE1 抗体 (AA 105-253) (ABIN7144603)

抗原

See all ATE1 抗体
ATE1 (Arginyltransferase 1 (ATE1))

适用

  • 48
  • 24
  • 23
  • 3
  • 3
  • 3
  • 3
  • 3
  • 3
  • 1

宿主

  • 44
  • 4

克隆类型

  • 24
  • 24
多克隆

标记

  • 20
  • 3
  • 3
  • 3
  • 3
  • 3
  • 3
  • 3
  • 2
  • 2
  • 2
  • 1
This ATE1 antibody is un-conjugated

应用范围

  • 37
  • 21
  • 12
  • 4
  • 1
  • 1
  • 1
  • 1
  • 1
ELISA, Immunohistochemistry (IHC), Immunofluorescence (IF)
  • 抗原表位

    • 4
    • 2
    • 2
    • 2
    • 2
    • 1
    • 1
    • 1
    • 1
    • 1
    • 1
    AA 105-253

    原理

    ATE1 Antibody

    纯化方法

    Protein G purified

    纯度

    >95 %

    免疫原

    Recombinant Human Arginyl-tRNA--protein transferase 1 protein (105-253AA)

    亚型

    IgG
  • 应用备注

    Optimal working dilution should be determined by the investigator.

    限制

    仅限研究用
  • 状态

    Liquid

    缓冲液

    Preservative: 0.03 % Proclin 300
    Constituents: 50 % Glycerol, 0.01M PBS, pH 7.4

    储存液

    ProClin

    注意事项

    This product contains ProClin: a POISONOUS AND HAZARDOUS SUBSTANCE which should be handled by trained staff only.

    储存条件

    -20 °C,-80 °C

    储存方法

    Upon receipt, store at -20°C or -80°C. Avoid repeated freeze.
  • 抗原

    ATE1 (Arginyltransferase 1 (ATE1))

    别名

    ATE1

    背景

    Background: Involved in the post-translational conjugation of arginine to the N-terminal aspartate or glutamate of a protein. This arginylation is required for degradation of the protein via the ubiquitin pathway. Does not arginylate cysteine residues (By similarity).

    Aliases: AI225793 antibody, Arginine tRNA protein transferase 1 antibody, Arginine-tRNA--protein transferase 1 antibody, Arginyl-tRNA--protein transferase 1 antibody, Arginyl-tRNA-protein transferase antibody, Arginyltransferase 1 antibody, Ate1 antibody, ATE1_HUMAN antibody, AW547406 antibody, EC 2.3.2.8 antibody, MGC26724 antibody, OTTHUMP00000020637 antibody, OTTHUMP00000058665 antibody, R transferase 1 antibody, R-transferase 1 antibody

    UniProt

    O95260

    途径

    SARS-CoV-2 Protein Interactome
You are here: