电话:
+86 (0512) 65829739
传真:
+86 (010) 6788 5057
电子邮件:
orders@antibodies-online.cn

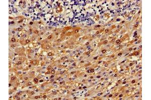
ASL 抗体 (AA 2-300)

This 兔 多克隆 antibody specifically detects ASL in ELISA, IHC 和 IF. It exhibits reactivity toward 人.
产品编号 ABIN7144595
发货至: 中国
Contact our Customer Service for availability and price in your country. Contact Info

Our Local Distributor

中国
北京 101111
No. 88 KeChuang 6th Street
Beijing Economic Technological Development Area
Room 801-803
4A Biotech Co.,Ltd.
Tel +86 (0512) 65829739 传真 +86 (010) 6788 5057

Quick Overview for ASL 抗体 (AA 2-300) (ABIN7144595)

抗原

See all ASL 抗体
ASL (Argininosuccinate Lyase (ASL))

适用

  • 60
  • 15
  • 12
  • 6
  • 6
  • 6
  • 6
  • 6
  • 5
  • 4
  • 3
  • 3
  • 3
  • 3
  • 3
  • 3
  • 2

宿主

  • 54
  • 6

克隆类型

  • 56
  • 4
多克隆

标记

  • 31
  • 4
  • 3
  • 2
  • 1
  • 1
  • 1
  • 1
  • 1
  • 1
  • 1
  • 1
  • 1
  • 1
  • 1
  • 1
  • 1
  • 1
  • 1
  • 1
  • 1
  • 1
  • 1
  • 1
This ASL antibody is un-conjugated

应用范围

  • 41
  • 13
  • 13
  • 12
  • 11
  • 10
  • 7
  • 6
  • 5
  • 3
  • 2
  • 2
  • 1
  • 1
ELISA, Immunohistochemistry (IHC), Immunofluorescence (IF)
  • 抗原表位

    • 15
    • 11
    • 4
    • 2
    • 2
    • 1
    • 1
    • 1
    • 1
    • 1
    • 1
    • 1
    • 1
    • 1
    AA 2-300

    原理

    ASL Antibody

    纯化方法

    Protein G purified

    纯度

    >95 %

    免疫原

    Recombinant Human Argininosuccinate lyase protein (2-300AA)

    亚型

    IgG
  • 应用备注

    Optimal working dilution should be determined by the investigator.

    限制

    仅限研究用
  • 状态

    Liquid

    缓冲液

    Preservative: 0.03 % Proclin 300
    Constituents: 50 % Glycerol, 0.01M PBS, PH 7.4

    储存液

    ProClin

    注意事项

    This product contains ProClin: a POISONOUS AND HAZARDOUS SUBSTANCE which should be handled by trained staff only.

    储存条件

    -20 °C,-80 °C

    储存方法

    Upon receipt, store at -20°C or -80°C. Avoid repeated freeze.
  • 抗原

    ASL (Argininosuccinate Lyase (ASL))

    别名

    ASL

    背景

    Background: cytoplasm, cytosol, extracellular exosome, argininosuccinate lyase activity, arginine biosynthetic process, arginine catabolic process, cellular nitrogen compound metabolic process, internal protein amino acid acetylation, polyamine metabolic process, protein tetramerization

    Aliases: Argininosuccinase antibody, Argininosuccinate lyase antibody, Arginosuccinase antibody, ARLY_HUMAN antibody, ASAL antibody, ASL antibody, EC 4.3.2.1 antibody

    UniProt

    P04424

    途径

    Response to Growth Hormone Stimulus
You are here: