电话:
+86 (0512) 65829739
传真:
+86 (010) 6788 5057
电子邮件:
orders@antibodies-online.cn

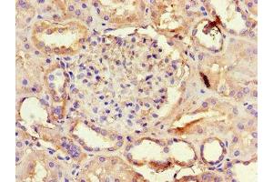
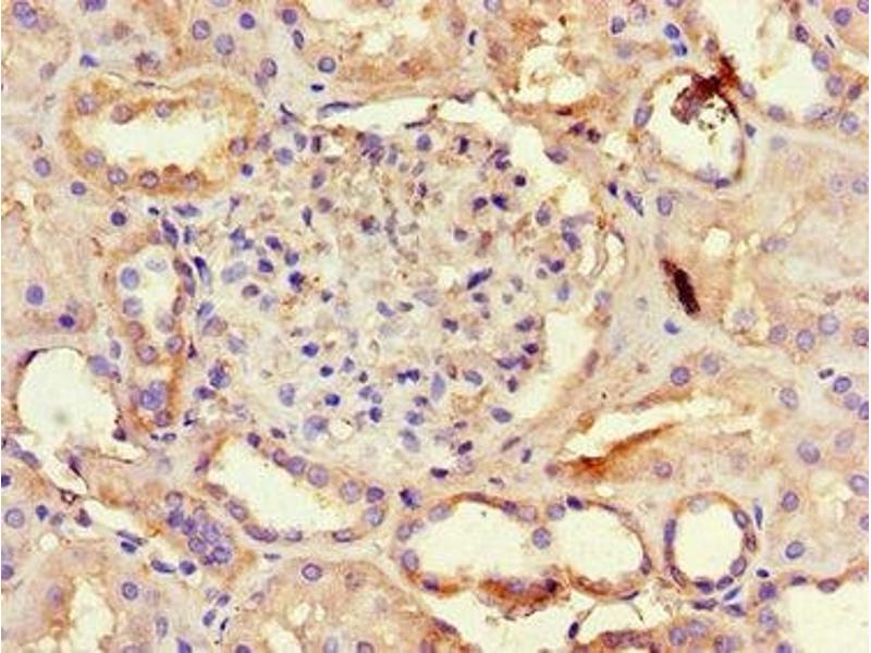
AQP3 抗体 (AA 210-244)

This 兔 多克隆 antibody specifically detects AQP3 in IHC, ELISA 和 IF. It exhibits reactivity toward 人.
产品编号 ABIN7144511
发货至: 中国
Contact our Customer Service for availability and price in your country. Contact Info

Our Local Distributor

中国
北京 101111
No. 88 KeChuang 6th Street
Beijing Economic Technological Development Area
Room 801-803
4A Biotech Co.,Ltd.
Tel +86 (0512) 65829739 传真 +86 (010) 6788 5057

Quick Overview for AQP3 抗体 (AA 210-244) (ABIN7144511)

抗原

See all AQP3 抗体
AQP3 (Aquaporin 3 (Gill Blood Group) (AQP3))

适用

  • 49
  • 41
  • 36
  • 5
  • 4
  • 2
  • 1
  • 1

宿主

  • 65
  • 1

克隆类型

  • 65
  • 1
多克隆

标记

  • 25
  • 6
  • 5
  • 4
  • 2
  • 2
  • 2
  • 1
  • 1
  • 1
  • 1
  • 1
  • 1
  • 1
  • 1
  • 1
  • 1
  • 1
  • 1
  • 1
  • 1
  • 1
  • 1
  • 1
  • 1
  • 1
  • 1
This AQP3 antibody is un-conjugated

应用范围

  • 52
  • 28
  • 19
  • 18
  • 18
  • 13
  • 13
  • 6
  • 6
  • 4
  • 2
  • 1
  • 1
Immunohistochemistry (IHC), ELISA, Immunofluorescence (IF)
  • 抗原表位

    • 16
    • 15
    • 9
    • 4
    • 2
    • 2
    • 2
    • 2
    • 2
    • 1
    • 1
    • 1
    • 1
    • 1
    • 1
    • 1
    • 1
    AA 210-244

    原理

    AQP3 Antibody

    纯化方法

    Protein G purified

    纯度

    >95 %

    免疫原

    Recombinant Human Aquaporin-3 protein (210-244AA)

    亚型

    IgG
  • 应用备注

    Optimal working dilution should be determined by the investigator.

    限制

    仅限研究用
  • 状态

    Liquid

    缓冲液

    Preservative: 0.03 % Proclin 300
    Constituents: 50 % Glycerol, 0.01M PBS, PH 7.4

    储存液

    ProClin

    注意事项

    This product contains ProClin: a POISONOUS AND HAZARDOUS SUBSTANCE which should be handled by trained staff only.

    储存条件

    -20 °C,-80 °C

    储存方法

    Upon receipt, store at -20°C or -80°C. Avoid repeated freeze.
  • 抗原

    AQP3 (Aquaporin 3 (Gill Blood Group) (AQP3))

    别名

    AQP3

    背景

    Background: Water channel required to promote glycerol permeability and water transport across cell membranes. Acts as a glycerol transporter in skin and plays an important role in regulating SC (stratum corneum) and epidermal glycerol content. Involved in skin hydration, wound healing, and tumorigenesis. Provides kidney medullary collecting duct with high permeability to water, thereby permitting water to move in the direction of an osmotic gradient. Slightly permeable to urea and may function as a water and urea exit mechanism in antidiuresis in collecting duct cells. It may play an important role in gastrointestinal tract water transport and in glycerol metabolism (By similarity).

    Aliases: AQP 3 antibody, AQP-3 antibody, Aqp3 antibody, AQP3_HUMAN antibody, Aquaglyceroporin-3 antibody, Aquaporin 3 (GIL blood group) antibody, Aquaporin 3 (Gill blood group) antibody, Aquaporin-3 antibody, Aquaporin3 antibody, GIL antibody, Gill blood group antibody

    UniProt

    Q92482
You are here: