电话:
+86 (0512) 65829739
传真:
+86 (010) 6788 5057
电子邮件:
orders@antibodies-online.cn

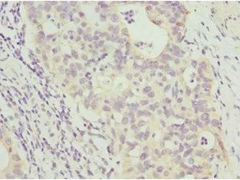
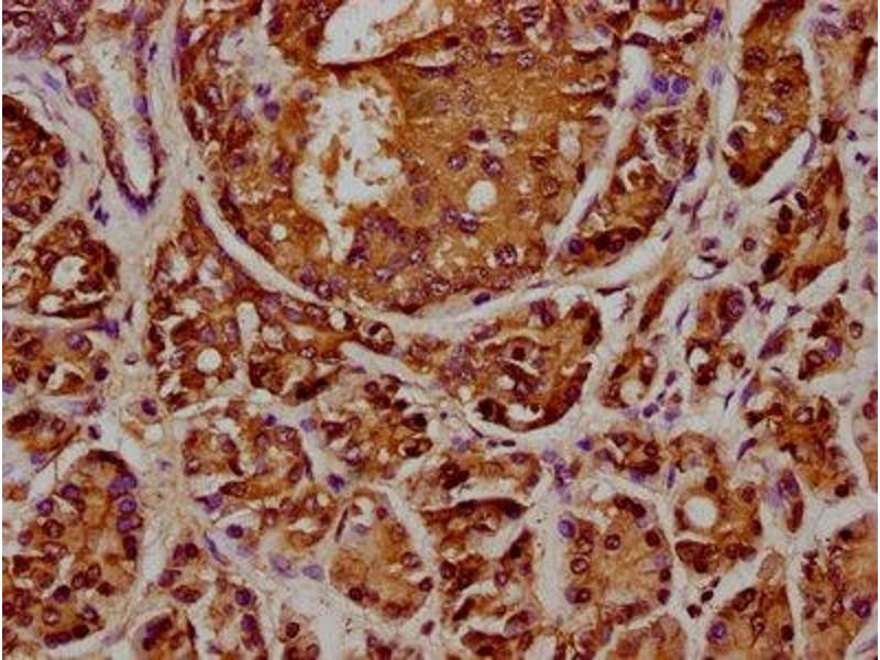
ANAPC2 抗体 (AA 1-230)

The 兔 多克隆 anti-ANAPC2 antibody (ABIN7144072) specifically detects ANAPC2 in ELISA, IHC 和 IF. The antibody is reactive with 人 samples.
产品编号 ABIN7144072
发货至: 中国
Contact our Customer Service for availability and price in your country. Contact Info

Our Local Distributor

中国
北京 101111
No. 88 KeChuang 6th Street
Beijing Economic Technological Development Area
Room 801-803
4A Biotech Co.,Ltd.
Tel +86 (0512) 65829739 传真 +86 (010) 6788 5057

Quick Overview for ANAPC2 抗体 (AA 1-230) (ABIN7144072)

抗原

See all ANAPC2 抗体
ANAPC2 (Anaphase Promoting Complex Subunit 2 (ANAPC2))

适用

  • 32
  • 14
  • 6
  • 2

宿主

  • 20
  • 13

克隆类型

  • 21
  • 11
多克隆

标记

  • 24
  • 2
  • 1
  • 1
  • 1
  • 1
  • 1
  • 1
  • 1
This ANAPC2 antibody is un-conjugated

应用范围

  • 23
  • 12
  • 11
  • 7
  • 7
  • 3
  • 1
  • 1
  • 1
  • 1
ELISA, Immunohistochemistry (IHC), Immunofluorescence (IF)
  • 抗原表位

    • 2
    • 2
    • 2
    • 1
    • 1
    • 1
    • 1
    • 1
    • 1
    AA 1-230

    原理

    ANAPC2 Antibody

    纯化方法

    Antigen Affinity Purified

    免疫原

    Recombinant Human Anaphase-promoting complex subunit 2 protein (1-230AA)

    亚型

    IgG
  • 应用备注

    Optimal working dilution should be determined by the investigator.

    限制

    仅限研究用
  • 状态

    Liquid

    缓冲液

    PBS with 0.02 % sodium azide, 50 % glycerol, pH 7.3.

    储存液

    Sodium azide

    注意事项

    This product contains Sodium azide: a POISONOUS AND HAZARDOUS SUBSTANCE which should be handled by trained staff only.

    储存条件

    -20 °C,-80 °C

    储存方法

    Upon receipt, store at -20°C or -80°C. Avoid repeated freeze.
  • 抗原

    ANAPC2 (Anaphase Promoting Complex Subunit 2 (ANAPC2))

    别名

    ANAPC2

    背景

    Background: Together with the RING-H2 protein ANAPC11, constitutes the catalytic component of the anaphase promoting complex/cyclosome (APC/C), a cell cycle-regulated E3 ubiquitin ligase that controls progression through mitosis and the G1 phase of the cell cycle. The APC/C complex acts by mediating ubiquitination and subsequent degradation of target proteins: it mainly mediates the formation of \\\'Lys-11\\\'-linked polyubiquitin chains and, to a lower extent, the formation of \\\'Lys-48\\\'- and \\\'Lys-63\\\'-linked polyubiquitin chains. The CDC20-APC/C complex positively regulates the formation of synaptic vesicle clustering at active zone to the presynaptic membrane in postmitotic neurons. CDC20-APC/C-induced degradation of NEUROD2 drives presynaptic differentiation.

    Aliases: anapc2 antibody, Anaphase promoting complex subunit 2 antibody, Anaphase-promoting complex subunit 2 antibody, ANC2_HUMAN antibody, APC2 antibody, Cyclosome subunit 2 antibody, KIAA1406 antibody, OTTHUMP00000022692 antibody, RP11 350O14.5 antibody

    UniProt

    Q9UJX6

    途径

    Regulation of Cell Size
You are here: