电话:
+86 (0512) 65829739
传真:
+86 (010) 6788 5057
电子邮件:
orders@antibodies-online.cn

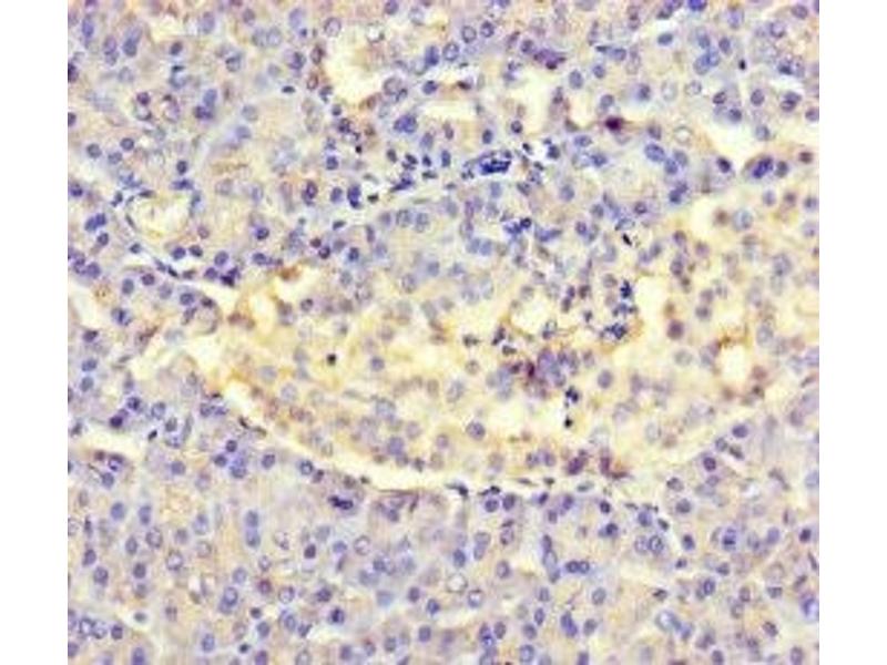
Amelotin 抗体 (AA 17-209)

The 兔 多克隆 anti-Amelotin antibody is suitable to detect Amelotin in samples from 人. It has been validated for ELISA 和 IHC.
产品编号 ABIN7143969
发货至: 中国
Contact our Customer Service for availability and price in your country. Contact Info

Our Local Distributor

中国
北京 101111
No. 88 KeChuang 6th Street
Beijing Economic Technological Development Area
Room 801-803
4A Biotech Co.,Ltd.
Tel +86 (0512) 65829739 传真 +86 (010) 6788 5057

Quick Overview for Amelotin 抗体 (AA 17-209) (ABIN7143969)

抗原

See all Amelotin (AMTN) 抗体
Amelotin (AMTN)

适用

宿主

  • 13
  • 3

克隆类型

  • 13
  • 3
多克隆

标记

  • 7
  • 3
  • 2
  • 2
  • 1
  • 1
This Amelotin antibody is un-conjugated

应用范围

  • 12
  • 10
  • 2
ELISA, Immunohistochemistry (IHC)
  • 抗原表位

    • 8
    • 4
    • 2
    • 1
    AA 17-209

    原理

    AMTN Antibody

    纯化方法

    Protein G purified

    纯度

    >95 %

    免疫原

    Recombinant Human Amelotin protein (17-209AA)

    亚型

    IgG
  • 应用备注

    Optimal working dilution should be determined by the investigator.

    限制

    仅限研究用
  • 状态

    Liquid

    缓冲液

    Preservative: 0.03 % Proclin 300
    Constituents: 50 % Glycerol, 0.01M PBS, PH 7.4

    储存液

    ProClin

    注意事项

    This product contains ProClin: a POISONOUS AND HAZARDOUS SUBSTANCE which should be handled by trained staff only.

    储存条件

    -20 °C,-80 °C

    储存方法

    Upon receipt, store at -20°C or -80°C. Avoid repeated freeze.
  • 抗原

    Amelotin (AMTN)

    别名

    AMTN

    背景

    Background: Is a promoter of calcium phosphate mineralization, playing a critical role in the formation of the compact, mineralized, aprismatic enamel surface layer during the maturation stage of amelogenesis.

    Aliases: Amelotin antibody, Amtn antibody, AMTN_HUMAN antibody, RSTI689 antibody, UNQ689 antibody

    UniProt

    Q6UX39
You are here: