电话:
+86 (0512) 65829739
传真:
+86 (010) 6788 5057
电子邮件:
orders@antibodies-online.cn

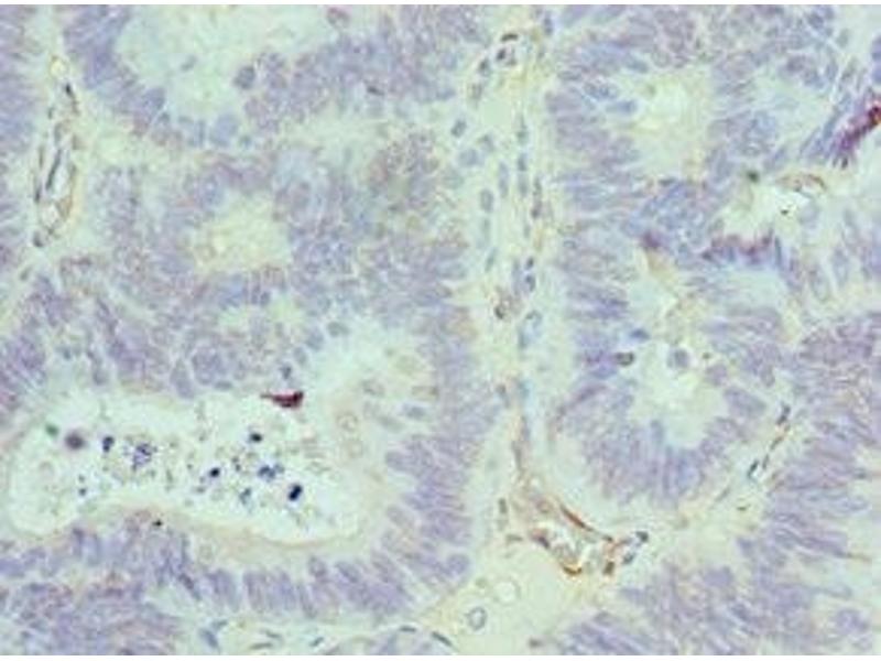
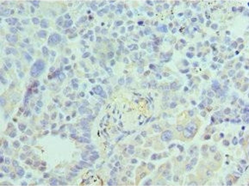
ACTR1A 抗体 (AA 187-376)

The 兔 多克隆 anti-ACTR1A antibody (ABIN7143847) specifically detects ACTR1A in WB, ELISA 和 IHC. The antibody is reactive with 人 samples.
产品编号 ABIN7143847
发货至: 中国
Contact our Customer Service for availability and price in your country. Contact Info

Our Local Distributor

中国
北京 101111
No. 88 KeChuang 6th Street
Beijing Economic Technological Development Area
Room 801-803
4A Biotech Co.,Ltd.
Tel +86 (0512) 65829739 传真 +86 (010) 6788 5057

Quick Overview for ACTR1A 抗体 (AA 187-376) (ABIN7143847)

抗原

See all ACTR1A 抗体
ACTR1A (Alpha Centractin (ACTR1A))

适用

  • 40
  • 40
  • 28
  • 5
  • 2
  • 2
  • 2
  • 2
  • 2
  • 1
  • 1
  • 1
  • 1
  • 1
  • 1

宿主

  • 44
  • 2
  • 1

克隆类型

  • 45
  • 1
多克隆

标记

  • 18
  • 4
  • 3
  • 3
  • 1
  • 1
  • 1
  • 1
  • 1
  • 1
  • 1
  • 1
  • 1
  • 1
  • 1
  • 1
  • 1
  • 1
  • 1
  • 1
  • 1
  • 1
  • 1
This ACTR1A antibody is un-conjugated

应用范围

  • 36
  • 16
  • 13
  • 4
  • 2
  • 1
  • 1
  • 1
  • 1
Western Blotting (WB), ELISA, Immunohistochemistry (IHC)
  • 抗原表位

    • 8
    • 6
    • 2
    • 2
    • 2
    • 1
    • 1
    • 1
    • 1
    AA 187-376

    原理

    ACTR1A Antibody

    交叉反应

    小鼠

    纯化方法

    Antigen Affinity Purified

    免疫原

    Recombinant Human Alpha-centractin protein (187-376AA)

    亚型

    IgG
  • 应用备注

    Optimal working dilution should be determined by the investigator.

    限制

    仅限研究用
  • 状态

    Liquid

    缓冲液

    PBS with 0.02 % sodium azide, 50 % glycerol, pH 7.3.

    储存液

    Sodium azide

    注意事项

    This product contains Sodium azide: a POISONOUS AND HAZARDOUS SUBSTANCE which should be handled by trained staff only.

    储存条件

    -20 °C,-80 °C

    储存方法

    Upon receipt, store at -20°C or -80°C. Avoid repeated freeze.
  • 抗原

    ACTR1A (Alpha Centractin (ACTR1A))

    别名

    ACTR1A

    背景

    Background: Component of a multi-subunit complex involved in microtubule based vesicle motility. It is associated with the centrosome.

    Aliases: Actin related protein 1 antibody, Actin RPV antibody, Actin-RPV antibody, ACTR 1A antibody, Actr1a antibody, ACTZ_HUMAN antibody, Alpha centractin antibody, Alpha-centractin antibody, ARP 1 antibody, ARP1 actin related protein 1 homolog A antibody, ARP1 actin related protein 1 homolog A centractin alpha antibody, ARP1 antibody, ARP1 yeast homolog A antibody, Centractin alpha antibody, Centractin antibody, Centrosome associated actin homolog antibody, Centrosome-associated actin homolog antibody, CTRN 1 antibody, CTRN1 antibody, FLJ52695 antibody, FLJ52800 antibody, FLJ55002 antibody

    UniProt

    P61163

    途径

    M Phase
You are here: