电话:
+86 (0512) 65829739
传真:
+86 (010) 6788 5057
电子邮件:
orders@antibodies-online.cn

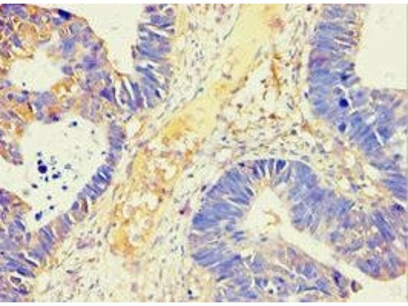
AMY2B 抗体 (AA 16-320)

The 兔 多克隆 anti-AMY2B antibody is suitable to detect AMY2B in samples from 人. It has been validated for WB, IHC 和 ELISA.
产品编号 ABIN7143846
发货至: 中国
Contact our Customer Service for availability and price in your country. Contact Info

Our Local Distributor

中国
北京 101111
No. 88 KeChuang 6th Street
Beijing Economic Technological Development Area
Room 801-803
4A Biotech Co.,Ltd.
Tel +86 (0512) 65829739 传真 +86 (010) 6788 5057

Quick Overview for AMY2B 抗体 (AA 16-320) (ABIN7143846)

抗原

See all AMY2B 抗体
AMY2B (Amylase, alpha 2B (Pancreatic) (AMY2B))

适用

  • 23
  • 4
  • 4
  • 2
  • 2
  • 2
  • 2
  • 2
  • 1
  • 1
  • 1
  • 1
  • 1
  • 1
  • 1
  • 1

宿主

  • 19
  • 4

克隆类型

  • 21
  • 2
多克隆

标记

  • 18
  • 1
  • 1
  • 1
  • 1
  • 1
This AMY2B antibody is un-conjugated

应用范围

  • 22
  • 12
  • 11
  • 10
  • 10
  • 5
  • 3
  • 1
Western Blotting (WB), Immunohistochemistry (IHC), ELISA
  • 抗原表位

    • 8
    • 5
    • 2
    • 2
    • 2
    • 1
    • 1
    • 1
    • 1
    • 1
    AA 16-320

    原理

    AMY2B Antibody

    交叉反应

    小鼠

    纯化方法

    Antigen Affinity Purified

    免疫原

    Recombinant Human Alpha-amylase 2B protein (16-320AA)

    亚型

    IgG
  • 应用备注

    Optimal working dilution should be determined by the investigator.

    限制

    仅限研究用
  • 状态

    Liquid

    缓冲液

    PBS with 0.02 % sodium azide, 50 % glycerol, pH 7.3.

    储存液

    Sodium azide

    注意事项

    This product contains Sodium azide: a POISONOUS AND HAZARDOUS SUBSTANCE which should be handled by trained staff only.

    储存条件

    -20 °C,-80 °C

    储存方法

    Upon receipt, store at -20°C or -80°C. Avoid repeated freeze.
  • 抗原

    AMY2B (Amylase, alpha 2B (Pancreatic) (AMY2B))

    别名

    AMY2B

    背景

    Background: Amylases are secreted proteins that hydrolyze 1,4-alpha-glucoside bonds in oligosaccharides and polysaccharides, and thus catalyze the first step in digestion of dietary starch and glycogen. The human genome has a cluster of several amylase genes that are expressed at high levels in either salivary gland or pancreas. This gene encodes an amylase isoenzyme produced by the pancreas.

    Aliases: AMY2B antibody, Alpha-amylase 2B antibody, EC 3.2.1.1 antibody, 1,4-alpha-D-glucan glucanohydrolase 2B antibody, Carcinoid alpha-amylase antibody

    UniProt

    P19961
You are here: