电话:
+86 (0512) 65829739
传真:
+86 (010) 6788 5057
电子邮件:
orders@antibodies-online.cn

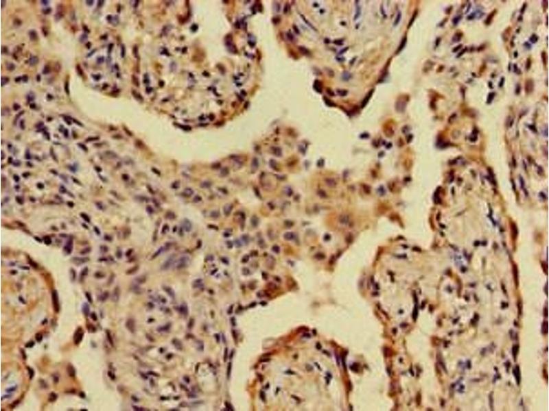
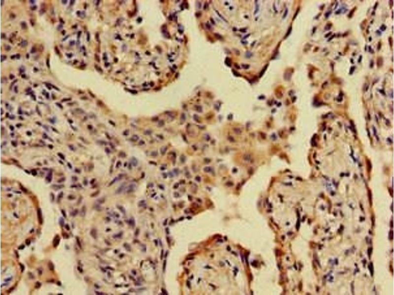
A2ML1 抗体 (AA 625-751)

The 兔 多克隆 anti-A2ML1 antibody is suitable to detect A2ML1 in samples from 人. It has been validated for WB, ELISA 和 IHC.
产品编号 ABIN7143798
发货至: 中国
Contact our Customer Service for availability and price in your country. Contact Info

Our Local Distributor

中国
北京 101111
No. 88 KeChuang 6th Street
Beijing Economic Technological Development Area
Room 801-803
4A Biotech Co.,Ltd.
Tel +86 (0512) 65829739 传真 +86 (010) 6788 5057

Quick Overview for A2ML1 抗体 (AA 625-751) (ABIN7143798)

抗原

See all A2ML1 抗体
A2ML1 (alpha-2-Macroglobulin-Like 1 (A2ML1))

适用

  • 19
  • 8

宿主

  • 15
  • 4

克隆类型

  • 18
  • 1
多克隆

标记

  • 10
  • 3
  • 2
  • 2
  • 1
  • 1
This A2ML1 antibody is un-conjugated

应用范围

  • 15
  • 11
  • 9
  • 2
  • 2
  • 1
  • 1
Western Blotting (WB), ELISA, Immunohistochemistry (IHC)
  • 抗原表位

    • 8
    • 4
    • 3
    • 2
    • 2
    • 1
    AA 625-751

    原理

    A2ML1 Antibody

    纯化方法

    Protein G purified

    纯度

    >95 %

    免疫原

    Recombinant Human Alpha-2-macroglobulin-like protein 1 protein (625-751AA)

    亚型

    IgG
  • 应用备注

    Optimal working dilution should be determined by the investigator.

    限制

    仅限研究用
  • 状态

    Liquid

    缓冲液

    Preservative: 0.03 % Proclin 300
    Constituents: 50 % Glycerol, 0.01M PBS, pH 7.4

    储存液

    ProClin

    注意事项

    This product contains ProClin: a POISONOUS AND HAZARDOUS SUBSTANCE which should be handled by trained staff only.

    储存条件

    -20 °C,-80 °C

    储存方法

    Upon receipt, store at -20°C or -80°C. Avoid repeated freeze.
  • 抗原

    A2ML1 (alpha-2-Macroglobulin-Like 1 (A2ML1))

    别名

    A2ML1

    背景

    Background: Is able to inhibit all four classes of proteinases by a unique \\\'trapping\\\' mechanism. This protein has a peptide stretch, called the \\\'bait region\\\' which contains specific cleavage sites for different proteinases. When a proteinase cleaves the bait region, a conformational change is induced in the protein which traps the proteinase. The entrapped enzyme remains active against low molecular weight substrates (activity against high molecular weight substrates is greatly reduced). Following cleavage in the bait region a thioester bond is hydrolyzed and mediates the covalent binding of the protein to the proteinase (By similarity). Displays inhibitory activity against chymotrypsin, papain, thermolysin, subtilisin A and, to a lesser extent, elastase but not trypsin. May play an important role during desquamation by inhibiting extracellular proteases.

    Aliases: A2ML1 antibody, CPAMD9Alpha-2-macroglobulin-like protein 1 antibody, C3 and PZP-like alpha-2-macroglobulin domain-containing protein 9 antibody

    UniProt

    A8K2U0
You are here: