电话:
+86 (0512) 65829739
传真:
+86 (010) 6788 5057
电子邮件:
orders@antibodies-online.cn

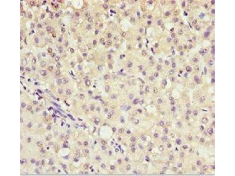
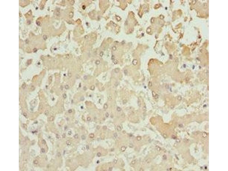
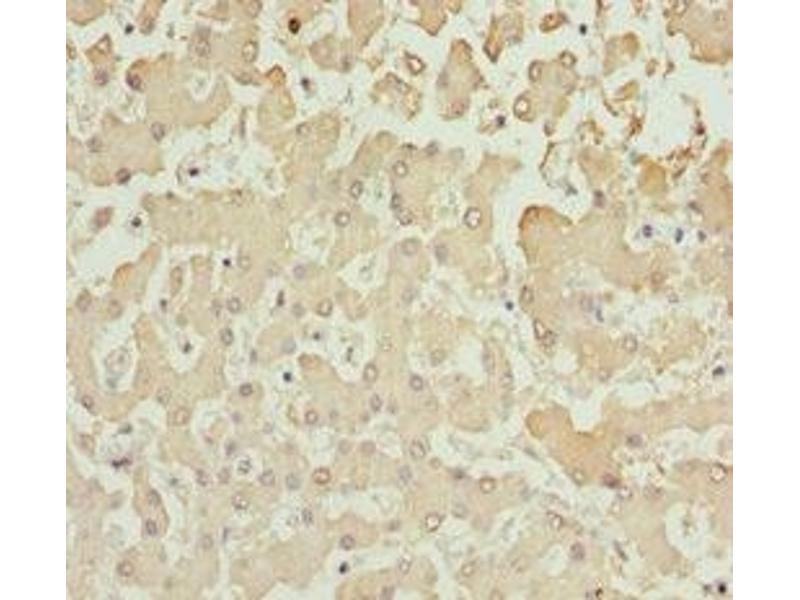
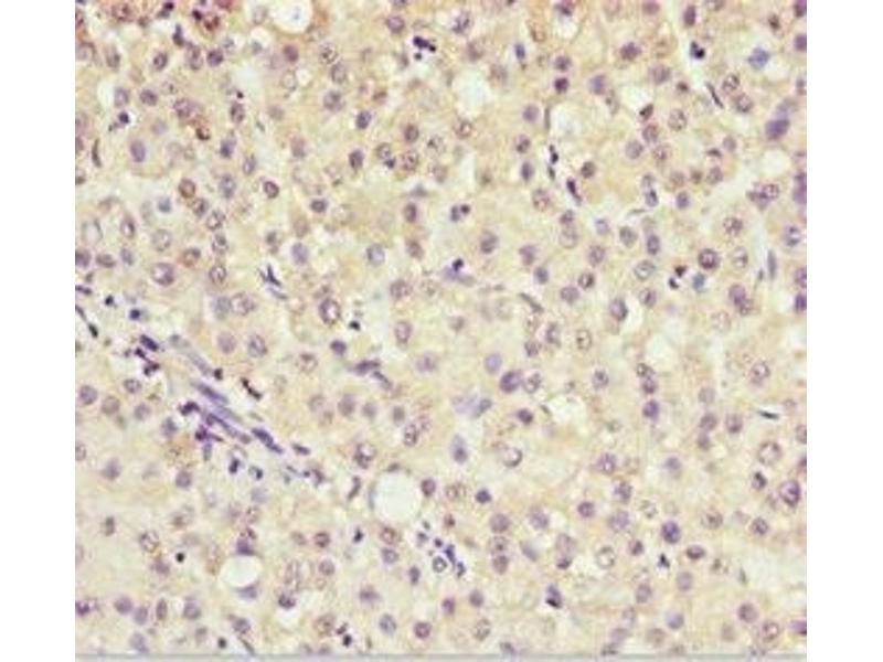
AKR7A2 抗体 (AA 100-359)

The 兔 多克隆 anti-AKR7A2 antibody (ABIN7143586) specifically detects AKR7A2 in WB, IHC 和 ELISA. The antibody is reactive with 人 samples.
产品编号 ABIN7143586
发货至: 中国
Contact our Customer Service for availability and price in your country. Contact Info

Our Local Distributor

中国
北京 101111
No. 88 KeChuang 6th Street
Beijing Economic Technological Development Area
Room 801-803
4A Biotech Co.,Ltd.
Tel +86 (0512) 65829739 传真 +86 (010) 6788 5057

Quick Overview for AKR7A2 抗体 (AA 100-359) (ABIN7143586)

抗原

See all AKR7A2 抗体
AKR7A2 (Aflatoxin Beta1 Aldehyde Reductase (AKR7A2))

适用

  • 52
  • 17
  • 12
  • 8
  • 1
  • 1
  • 1
  • 1
  • 1

宿主

  • 41
  • 11

克隆类型

  • 43
  • 9
多克隆

标记

  • 24
  • 3
  • 2
  • 2
  • 2
  • 2
  • 2
  • 2
  • 1
  • 1
  • 1
  • 1
  • 1
  • 1
  • 1
  • 1
  • 1
  • 1
  • 1
  • 1
  • 1
This AKR7A2 antibody is un-conjugated

应用范围

  • 22
  • 13
  • 13
  • 10
  • 8
  • 5
  • 4
  • 3
  • 3
  • 2
  • 1
  • 1
  • 1
  • 1
Western Blotting (WB), Immunohistochemistry (IHC), ELISA
  • 抗原表位

    • 15
    • 6
    • 4
    • 2
    • 2
    • 1
    • 1
    • 1
    • 1
    • 1
    AA 100-359

    原理

    AKR7A2 Antibody

    交叉反应

    小鼠

    纯化方法

    Antigen Affinity Purified

    免疫原

    Recombinant Human Aflatoxin B1 aldehyde reductase member 2 protein (100-359AA)

    亚型

    IgG
  • 应用备注

    Optimal working dilution should be determined by the investigator.

    限制

    仅限研究用
  • 状态

    Liquid

    缓冲液

    PBS with 0.02 % sodium azide, 50 % glycerol, pH 7.3.

    储存液

    Sodium azide

    注意事项

    This product contains Sodium azide: a POISONOUS AND HAZARDOUS SUBSTANCE which should be handled by trained staff only.

    储存条件

    -20 °C,-80 °C

    储存方法

    Upon receipt, store at -20°C or -80°C. Avoid repeated freeze.
  • 抗原

    AKR7A2 (Aflatoxin Beta1 Aldehyde Reductase (AKR7A2))

    别名

    AKR7A2

    背景

    Background: Catalyzes the NADPH-dependent reduction of succinic semialdehyde to gamma-hydroxybutyrate. May have an important role in producing the neuromodulator gamma-hydroxybutyrate (GHB). Has broad substrate specificity. Has NADPH-dependent aldehyde reductase activity towards 2-carboxybenzaldehyde, 2-nitrobenzaldehyde and pyridine-2-aldehyde (in vitro). Can reduce 1,2-naphthoquinone and 9,10-phenanthrenequinone (in vitro). Can reduce the dialdehyde protein-binding form of aflatoxin B1 (AFB1) to the non-binding AFB1 dialcohol. May be involved in protection of liver against the toxic and carcinogenic effects of AFB1, a potent hepatocarcinogen.

    Aliases: AFAR antibody, AFAR1 antibody, AFB1 aldehyde reductase 1 antibody, AFB1 AR1 antibody, AFB1-AR 1 antibody, AFB1AR1 antibody, Aflatoxin aldehyde reductase antibody, Aflatoxin B1 aldehyde reductase member 2 antibody, Aflatoxin beta1 aldehyde reductase antibody, Aiar antibody, AKR7 antibody, Akr7a2 antibody, Aldo keto reductase family 7 antibody, Aldo keto reductase family 7 member A2 aflatoxin aldehyde reductase antibody, Aldo keto reductase family 7 member A2 antibody, Aldo keto reductase family 7, member A2 (aflatoxin aldehyde reductase) antibody, Aldoketoreductase 7 antibody, ARK72_HUMAN antibody, SSA reductase antibody, Succinic semialdehyde reductase antibody

    UniProt

    O43488
You are here: