电话:
+86 (0512) 65829739
传真:
+86 (010) 6788 5057
电子邮件:
orders@antibodies-online.cn

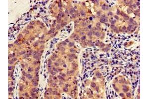
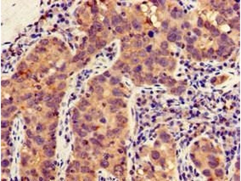
Afadin 抗体 (AA 1663-1809)

The 兔 多克隆 anti-Afadin antibody is suitable to detect Afadin in samples from 人. It has been validated for ELISA, IHC 和 IF.
产品编号 ABIN7143570
发货至: 中国
Contact our Customer Service for availability and price in your country. Contact Info

Our Local Distributor

中国
北京 101111
No. 88 KeChuang 6th Street
Beijing Economic Technological Development Area
Room 801-803
4A Biotech Co.,Ltd.
Tel +86 (0512) 65829739 传真 +86 (010) 6788 5057

Quick Overview for Afadin 抗体 (AA 1663-1809) (ABIN7143570)

抗原

See all Afadin (MLLT4) 抗体
Afadin (MLLT4)

适用

  • 25
  • 16
  • 15
  • 5
  • 3
  • 2
  • 2
  • 2
  • 2
  • 2
  • 1
  • 1
  • 1
  • 1
  • 1
  • 1

宿主

  • 23
  • 2
  • 2

克隆类型

  • 25
  • 2
多克隆

标记

  • 16
  • 2
  • 2
  • 1
  • 1
  • 1
  • 1
  • 1
  • 1
  • 1
This Afadin antibody is un-conjugated

应用范围

  • 16
  • 6
  • 4
  • 2
  • 2
  • 2
  • 2
  • 2
  • 1
  • 1
  • 1
ELISA, Immunohistochemistry (IHC), Immunofluorescence (IF)
  • 抗原表位

    • 4
    • 2
    • 2
    • 2
    • 2
    • 1
    • 1
    • 1
    • 1
    • 1
    • 1
    • 1
    AA 1663-1809

    原理

    MLLT4 Antibody

    纯化方法

    Protein G purified

    纯度

    >95 %

    免疫原

    Recombinant Human Afadin protein (1663-1809AA)

    亚型

    IgG
  • 应用备注

    Optimal working dilution should be determined by the investigator.

    限制

    仅限研究用
  • 状态

    Liquid

    缓冲液

    Preservative: 0.03 % Proclin 300
    Constituents: 50 % Glycerol, 0.01M PBS, pH 7.4

    储存液

    ProClin

    注意事项

    This product contains ProClin: a POISONOUS AND HAZARDOUS SUBSTANCE which should be handled by trained staff only.

    储存条件

    -20 °C,-80 °C

    储存方法

    Upon receipt, store at -20°C or -80°C. Avoid repeated freeze.
  • 抗原

    Afadin (MLLT4)

    别名

    MLLT4

    背景

    Background: Belongs to an adhesion system, probably together with the E-cadherin-catenin system, which plays a role in the organization of homotypic, interneuronal and heterotypic cell-cell adherens junctions (AJs). Nectin- and actin-filament-binding protein that connects nectin to the actin cytoskeleton.

    Aliases: AF6 antibody, AFAD_HUMAN antibody, Afadin antibody, ALL1-fused gene from chromosome 6 protein antibody, Mllt4 antibody, Protein Af-6 antibody, Protein AF6 antibody

    UniProt

    P55196

    途径

    Cell-Cell Junction Organization
You are here: