电话:
+86 (0512) 65829739
传真:
+86 (010) 6788 5057
电子邮件:
orders@antibodies-online.cn

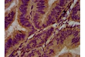
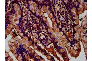
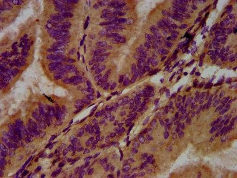
Adhesion G Protein-Coupled Receptor G1 (ADGRG1) (AA 26-216) 抗体

The 兔 多克隆 anti-Adhesion G Protein-Coupled Receptor G1 antibody is suitable to detect Adhesion G Protein-Coupled Receptor G1 in samples from 人. It has been validated for ELISA, IHC 和 IF.
产品编号 ABIN7143399
发货至: 中国
Contact our Customer Service for availability and price in your country. Contact Info

Our Local Distributor

中国
北京 101111
No. 88 KeChuang 6th Street
Beijing Economic Technological Development Area
Room 801-803
4A Biotech Co.,Ltd.
Tel +86 (0512) 65829739 传真 +86 (010) 6788 5057

Quick Overview for Adhesion G Protein-Coupled Receptor G1 (ADGRG1) (AA 26-216) 抗体 (ABIN7143399)

抗原

Adhesion G Protein-Coupled Receptor G1 (ADGRG1)

适用

  • 9
  • 3
  • 1

宿主

  • 12

克隆类型

  • 12
多克隆

标记

  • 2
  • 2
  • 1
  • 1
  • 1
  • 1
  • 1
  • 1
  • 1
  • 1
非结合性

应用范围

  • 3
  • 3
  • 2
  • 1
  • 1
ELISA, Immunohistochemistry (IHC), Immunofluorescence (IF)
  • 抗原表位

    • 3
    • 2
    • 2
    • 1
    AA 26-216

    原理

    ADGRG1 Antibody

    纯化方法

    Protein G purified

    纯度

    >95 %

    免疫原

    Recombinant Human Adhesion G-protein coupled receptor G1 protein (26-216AA)

    亚型

    IgG
  • 应用备注

    Optimal working dilution should be determined by the investigator.

    限制

    仅限研究用
  • 状态

    Liquid

    缓冲液

    Preservative: 0.03 % Proclin 300
    Constituents: 50 % Glycerol, 0.01M PBS, pH 7.4

    储存液

    ProClin

    注意事项

    This product contains ProClin: a POISONOUS AND HAZARDOUS SUBSTANCE which should be handled by trained staff only.

    储存条件

    -20 °C,-80 °C

    储存方法

    Upon receipt, store at -20°C or -80°C. Avoid repeated freeze.
  • 抗原

    Adhesion G Protein-Coupled Receptor G1 (ADGRG1)

    别名

    ADGRG1

    背景

    Background: Receptor involved in cell adhesion and probably in cell-cell interactions. Mediates cell matrix adhesion in developing neurons and hematopoietic stem cells. Receptor for collagen III/COL3A1 in the developing brain and involved in regulation of cortical development, specifically in maintenance of the pial basement membrane integrity and in cortical lamination (By similarity). Binding to the COL3A1 ligand inhibits neuronal migration and activates the RhoA pathway by coupling to GNA13 and possibly GNA12 (PubMed:22238662). Plays a role in the maintenance of hematopoietic stem cells and/or leukemia stem cells in bone marrow niche (By similarity). Plays a critical role in cancer progression by inhibiting VEGFA production threreby inhibiting angiogenesis through a signaling pathway mediated by PRKCA (PubMed:16757564, PubMed:21724588). Plays an essential role in testis development (By similarity).

    Aliases: 7 transmembrane protein with no EGF like N terminal domains 1 antibody, BFPP antibody, DKFZp781L1398 antibody, EGF TM7 like antibody, G protein coupled receptor 56 antibody, G-protein coupled receptor 56 antibody, GPR 56 antibody, Gpr56 antibody, GPR56_HUMAN antibody, Polymicrogyria bilateral frontoparietal antibody, Protein TM7XN1 antibody, TM7LN4 antibody, TM7XN1 antibody, TM7XN1 protein antibody

    UniProt

    Q9Y653
You are here: