电话:
+86 (0512) 65829739
传真:
+86 (010) 6788 5057
电子邮件:
orders@antibodies-online.cn

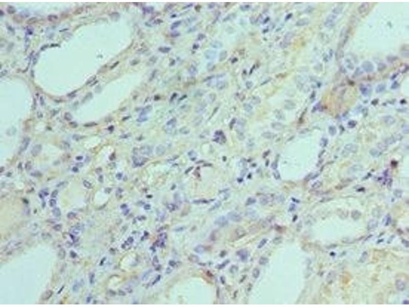
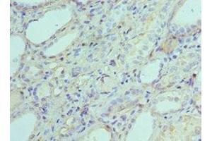
Adenylate Kinase 2 抗体 (AA 1-232)

The 兔 多克隆 anti-Adenylate Kinase 2 antibody is suitable to detect Adenylate Kinase 2 in samples from 人. It has been validated for WB, IHC 和 ELISA.
产品编号 ABIN7143342
发货至: 中国
Contact our Customer Service for availability and price in your country. Contact Info

Our Local Distributor

中国
北京 101111
No. 88 KeChuang 6th Street
Beijing Economic Technological Development Area
Room 801-803
4A Biotech Co.,Ltd.
Tel +86 (0512) 65829739 传真 +86 (010) 6788 5057

Quick Overview for Adenylate Kinase 2 抗体 (AA 1-232) (ABIN7143342)

抗原

See all Adenylate Kinase 2 (AK2) 抗体
Adenylate Kinase 2 (AK2)

适用

  • 70
  • 39
  • 21
  • 9
  • 4
  • 4
  • 3
  • 2
  • 2
  • 1
  • 1
  • 1
  • 1
  • 1

宿主

  • 70
  • 5

克隆类型

  • 56
  • 18
多克隆

标记

  • 44
  • 5
  • 3
  • 3
  • 3
  • 2
  • 2
  • 2
  • 2
  • 2
  • 2
  • 2
  • 1
  • 1
  • 1
This Adenylate Kinase 2 antibody is un-conjugated

应用范围

  • 59
  • 39
  • 23
  • 22
  • 19
  • 13
  • 11
  • 9
  • 3
  • 2
  • 2
  • 1
  • 1
  • 1
Western Blotting (WB), Immunohistochemistry (IHC), ELISA
  • 抗原表位

    • 12
    • 8
    • 8
    • 8
    • 2
    • 2
    • 2
    • 1
    • 1
    • 1
    • 1
    • 1
    • 1
    • 1
    • 1
    • 1
    AA 1-232

    原理

    AK2 Antibody

    交叉反应

    小鼠

    纯化方法

    Antigen Affinity Purified

    免疫原

    Recombinant Human Adenylate kinase 2, mitochondrial protein (1-232AA)

    亚型

    IgG
  • 应用备注

    Optimal working dilution should be determined by the investigator.

    限制

    仅限研究用
  • 状态

    Liquid

    缓冲液

    PBS with 0.02 % sodium azide, 50 % glycerol, pH 7.3.

    储存液

    Sodium azide

    注意事项

    This product contains Sodium azide: a POISONOUS AND HAZARDOUS SUBSTANCE which should be handled by trained staff only.

    储存条件

    -20 °C,-80 °C

    储存方法

    Upon receipt, store at -20°C or -80°C. Avoid repeated freeze.
  • 抗原

    Adenylate Kinase 2 (AK2)

    别名

    AK2

    背景

    Background: Catalyzes the reversible transfer of the terminal phosphate group between ATP and AMP. Plays an important role in cellular energy homeostasis and in adenine nucleotide metabolism. Adenylate kinase activity is critical for regulation of the phosphate utilization and the AMP de novo biosynthesis pathways. Plays a key role in hematopoiesis.

    Aliases: Adenylate kinase 2 antibody, adenylate kinase 2, mitochondrial antibody, Adenylate kinase isoenzyme 2 antibody, ADK2 antibody, AK 2 antibody, ak2 antibody, ATP AMP transphosphorylase antibody, ATP-AMP transphosphorylase 2 antibody, EC 2.7.4.3 antibody, KAD2_HUMAN antibody, mitochondrial antibody

    UniProt

    P54819

    途径

    Nucleotide Phosphorylation, Ribonucleoside Biosynthetic Process
You are here: