电话:
+86 (0512) 65829739
传真:
+86 (010) 6788 5057
电子邮件:
orders@antibodies-online.cn

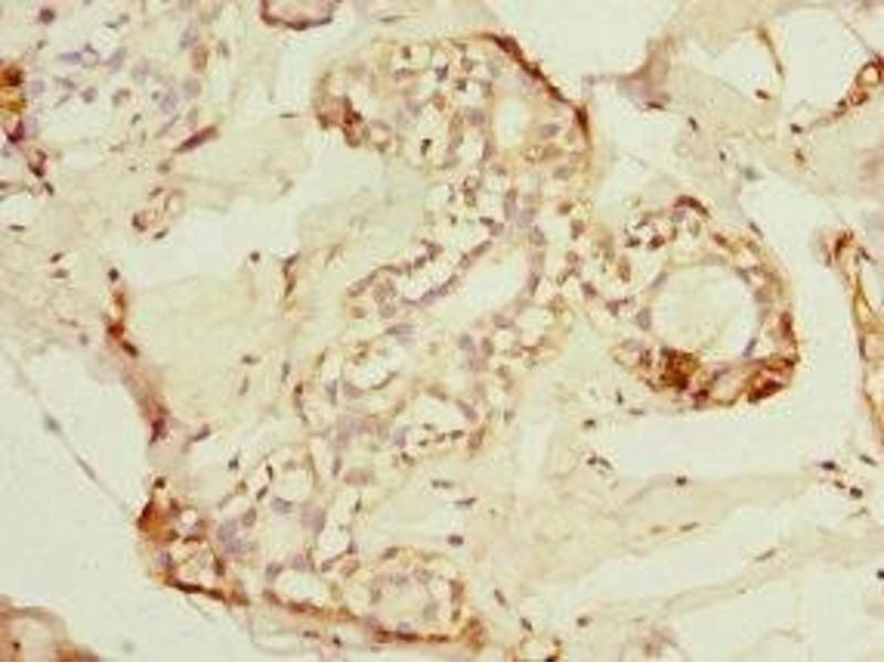
ADAD1 抗体 (AA 1-280)

The 兔 多克隆 anti-ADAD1 antibody is suitable to detect ADAD1 in samples from 人. It has been validated for IHC 和 ELISA.
产品编号 ABIN7143282
发货至: 中国
Contact our Customer Service for availability and price in your country. Contact Info

Our Local Distributor

中国
北京 101111
No. 88 KeChuang 6th Street
Beijing Economic Technological Development Area
Room 801-803
4A Biotech Co.,Ltd.
Tel +86 (0512) 65829739 传真 +86 (010) 6788 5057

Quick Overview for ADAD1 抗体 (AA 1-280) (ABIN7143282)

抗原

See all ADAD1 抗体
ADAD1 (Adenosine Deaminase Domain Containing 1 (Testis-Specific) (ADAD1))

适用

  • 5
  • 1
  • 1

宿主

  • 3
  • 2

克隆类型

  • 5
多克隆

标记

  • 5
This ADAD1 antibody is un-conjugated

应用范围

Immunohistochemistry (IHC), ELISA
  • 抗原表位

    • 2
    • 1
    AA 1-280

    原理

    ADAD1 Antibody

    纯化方法

    Antigen Affinity Purified

    免疫原

    Recombinant Human Adenosine deaminase domain-containing protein 1 protein (1-280AA)

    亚型

    IgG
  • 应用备注

    Optimal working dilution should be determined by the investigator.

    限制

    仅限研究用
  • 状态

    Liquid

    缓冲液

    PBS with 0.02 % sodium azide, 50 % glycerol, pH 7.3.

    储存液

    Sodium azide

    注意事项

    This product contains Sodium azide: a POISONOUS AND HAZARDOUS SUBSTANCE which should be handled by trained staff only.

    储存条件

    -20 °C,-80 °C

    储存方法

    Upon receipt, store at -20°C or -80°C. Avoid repeated freeze.
  • 抗原

    ADAD1 (Adenosine Deaminase Domain Containing 1 (Testis-Specific) (ADAD1))

    别名

    ADAD1

    背景

    Background: Plays a role in spermatogenesis. Binds to RNA but not to DNA (By similarity).

    Aliases: ADAD1 antibody, TENR antibody, Adenosine deaminase domain-containing protein 1 antibody, Testis nuclear RNA-binding protein antibody

    UniProt

    Q96M93
You are here: