电话:
+86 (0512) 65829739
传真:
+86 (010) 6788 5057
电子邮件:
orders@antibodies-online.cn

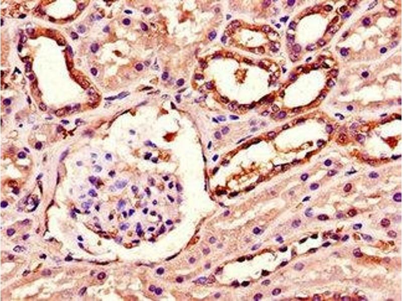
Acylglycerol Kinase 抗体 (AA 32-65)

This 兔 多克隆 antibody specifically detects Acylglycerol Kinase in WB, ELISA 和 IHC. It exhibits reactivity toward 人.
产品编号 ABIN7143254
发货至: 中国
Contact our Customer Service for availability and price in your country. Contact Info

Our Local Distributor

中国
北京 101111
No. 88 KeChuang 6th Street
Beijing Economic Technological Development Area
Room 801-803
4A Biotech Co.,Ltd.
Tel +86 (0512) 65829739 传真 +86 (010) 6788 5057

Quick Overview for Acylglycerol Kinase 抗体 (AA 32-65) (ABIN7143254)

抗原

See all Acylglycerol Kinase (AGK) 抗体
Acylglycerol Kinase (AGK)

适用

  • 25
  • 11
  • 6
  • 3
  • 3
  • 3
  • 2
  • 2
  • 2
  • 1
  • 1
  • 1

宿主

  • 21
  • 4
  • 1

克隆类型

  • 24
  • 2
多克隆

标记

  • 22
  • 2
  • 1
  • 1
This Acylglycerol Kinase antibody is un-conjugated

应用范围

  • 21
  • 10
  • 6
  • 3
  • 3
  • 2
  • 1
  • 1
  • 1
  • 1
  • 1
Western Blotting (WB), ELISA, Immunohistochemistry (IHC)
  • 抗原表位

    • 5
    • 3
    • 2
    • 2
    • 2
    • 2
    • 1
    • 1
    • 1
    • 1
    AA 32-65

    原理

    AGK Antibody

    交叉反应

    小鼠

    纯化方法

    Protein G purified

    纯度

    >95 %

    免疫原

    Recombinant Human Acylglycerol kinase, mitochondrial protein (32-65AA)

    亚型

    IgG
  • 应用备注

    Optimal working dilution should be determined by the investigator.

    限制

    仅限研究用
  • 状态

    Liquid

    缓冲液

    Preservative: 0.03 % Proclin 300
    Constituents: 50 % Glycerol, 0.01M PBS, PH 7.4

    储存液

    ProClin

    注意事项

    This product contains ProClin: a POISONOUS AND HAZARDOUS SUBSTANCE which should be handled by trained staff only.

    储存条件

    -20 °C,-80 °C

    储存方法

    Upon receipt, store at -20°C or -80°C. Avoid repeated freeze.
  • 抗原

    Acylglycerol Kinase (AGK)

    别名

    AGK

    背景

    Background: Lipid kinase that can phosphorylate both monoacylglycerol and diacylglycerol to form lysophosphatidic acid (LPA) and phosphatidic acid (PA), respectively. Does not phosphorylate sphingosine. Overexpression increases the formation and secretion of LPA, resulting in transactivation of EGFR and activation of the downstream MAPK signaling pathway, leading to increased cell growth.

    Aliases: 2610037M15Rik antibody, 6720408I04Rik antibody, Acylglycerol Kinase antibody, Acylglycerol kinase mitochondrial antibody, Acylglycerol kinase, mitochondrial antibody, agk antibody, AGK_HUMAN antibody, AI465370 antibody, FLJ10842 antibody, hAGK antibody, HsMuLK antibody, MuLK antibody, Multi substrate lipid kinase antibody, Multi-substrate lipid kinase antibody, Multiple substrate lipid kinase antibody, RGD1562046 antibody

    UniProt

    Q53H12
You are here: