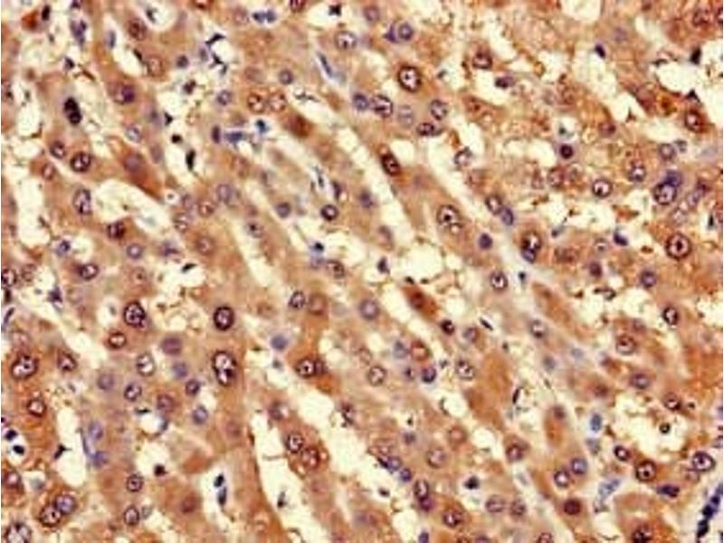
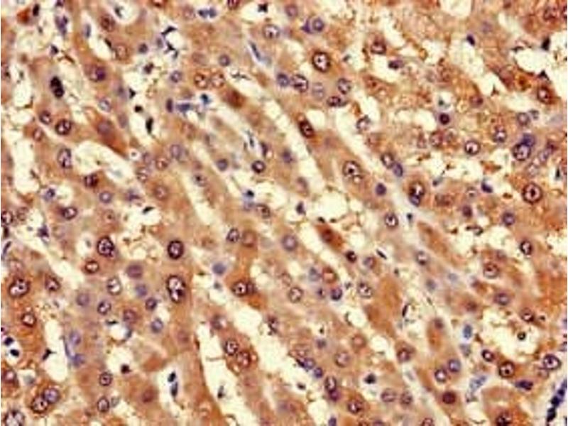
LPGAT1 抗体 (AA 151-341)
Our Local Distributor
北京 101111
Quick Overview for LPGAT1 抗体 (AA 151-341) (ABIN7143224)
抗原
See all LPGAT1 抗体适用
宿主
克隆类型
标记
应用范围
-
-
抗原表位
- AA 151-341
-
原理
- LPGAT1 Antibody
-
纯化方法
- Protein G purified
-
纯度
- >95 %
-
免疫原
- Recombinant Human Acyl-CoA:lysophosphatidylglycerol acyltransferase 1 protein (151-341AA)
-
亚型
- IgG
-
-
-
-
应用备注
- Optimal working dilution should be determined by the investigator.
-
限制
- 仅限研究用
-
-
-
状态
- Liquid
-
缓冲液
-
Preservative: 0.03 % Proclin 300
Constituents: 50 % Glycerol, 0.01M PBS, PH 7.4 -
储存液
- ProClin
-
注意事项
- This product contains ProClin: a POISONOUS AND HAZARDOUS SUBSTANCE which should be handled by trained staff only.
-
储存条件
- -20 °C,-80 °C
-
储存方法
- Upon receipt, store at -20°C or -80°C. Avoid repeated freeze.
-
-
- LPGAT1 (Lysophosphatidylglycerol Acyltransferase 1 (LPGAT1))
-
别名
- LPGAT1
-
背景
-
Background: Lysophosphatidylglycerol (LPG) specific acyltransferase that recognizes various acyl-CoAs and LPGs as substrates but demonstrates a clear preference for long chain saturated fatty acyl-CoAs and oleoyl-CoA as acyl donors. Prefers oleoyl-LPG over palmitoyl-LPG as an acyl receptor and oleoyl-CoA over lauroyl-CoA as an acyl donor.
Aliases: Acyl CoA:lysophosphatidylglycerol acyltransferase 1 antibody, Acyl-CoA:lysophosphatidylglycerol acyltransferase 1 antibody, FAM34A antibody, FAM34A1 antibody, Family with sequence similarity 34 member A antibody, KIAA0205 antibody, LGAT1_HUMAN antibody, Lpgat1 antibody, lysophosphatidylglycerol acyltransferase 1 antibody, NET8 antibody
-
UniProt
- Q92604
抗原
-