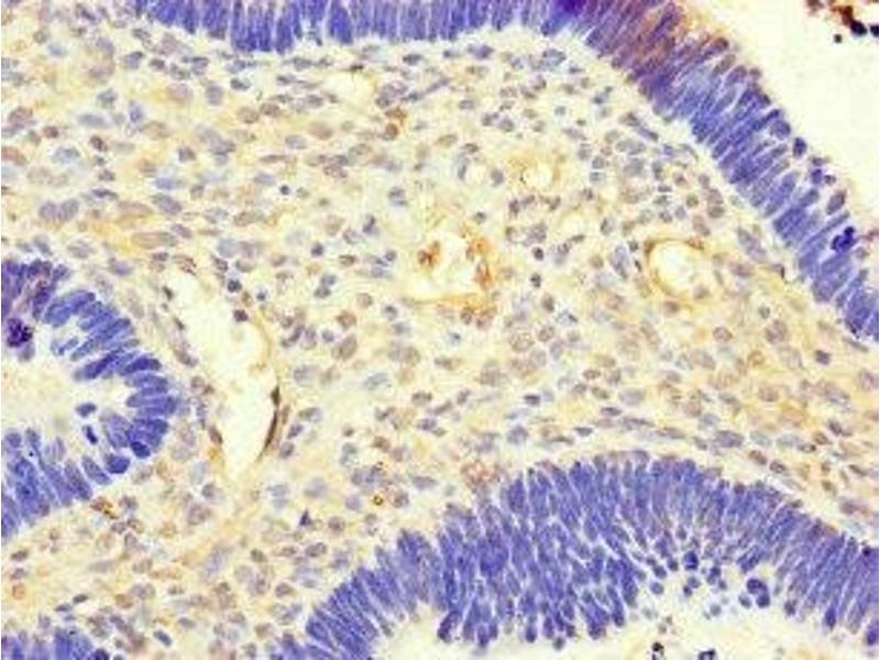
ACSF3 抗体 (AA 365-484)
Our Local Distributor
北京 101111
Quick Overview for ACSF3 抗体 (AA 365-484) (ABIN7143204)
抗原
See all ACSF3 抗体适用
宿主
克隆类型
标记
应用范围
-
-
抗原表位
- AA 365-484
-
原理
- ACSF3 Antibody
-
纯化方法
- Protein G purified
-
纯度
- >95 %
-
免疫原
- Recombinant Human Acyl-CoA synthetase family member 3, mitochondrial protein (365-484AA)
-
亚型
- IgG
-
-
-
-
应用备注
- Optimal working dilution should be determined by the investigator.
-
限制
- 仅限研究用
-
-
-
状态
- Liquid
-
缓冲液
-
Preservative: 0.03 % Proclin 300
Constituents: 50 % Glycerol, 0.01M PBS, PH 7.4 -
储存液
- ProClin
-
注意事项
- This product contains ProClin: a POISONOUS AND HAZARDOUS SUBSTANCE which should be handled by trained staff only.
-
储存条件
- -20 °C,-80 °C
-
储存方法
- Upon receipt, store at -20°C or -80°C. Avoid repeated freeze.
-
-
- ACSF3 (Acyl-CoA Synthetase Family Member 3 (ACSF3))
-
别名
- ACSF3
-
背景
-
Background: Catalyzes the initial reaction in intramitochondrial fatty acid synthesis, by activating malonate and methylmalonate, but not acetate, into their respective CoA thioester. May have some preference toward very-long-chain substrates.
Aliases: ACSF3 antibody, PSEC0197Malonate--CoA ligase ACSF3 antibody, mitochondrial antibody, EC 6.2.1.n3 antibody, Acyl-CoA synthetase family member 3 antibody
-
UniProt
- Q4G176
抗原
-