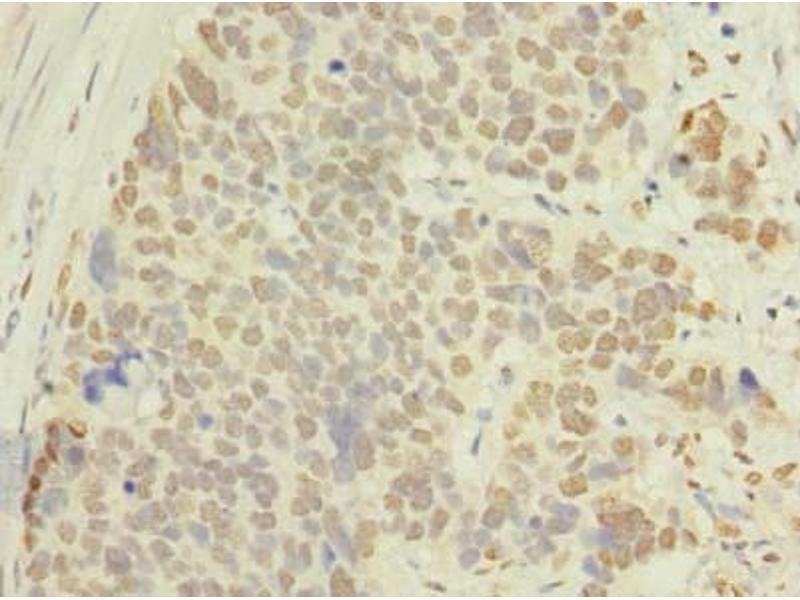
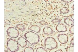
ACTRT1 抗体 (AA 201-376)
Our Local Distributor
北京 101111
Quick Overview for ACTRT1 抗体 (AA 201-376) (ABIN7143116)
抗原
See all ACTRT1 抗体适用
宿主
克隆类型
标记
应用范围
-
-
抗原表位
- AA 201-376
-
原理
- ACTRT1 Antibody
-
纯化方法
- Protein G purified
-
纯度
- >95 %
-
免疫原
- Recombinant Human Actin-related protein T1 protein (201-376AA)
-
亚型
- IgG
-
-
-
-
应用备注
- Optimal working dilution should be determined by the investigator.
-
限制
- 仅限研究用
-
-
-
状态
- Liquid
-
缓冲液
-
Preservative: 0.03 % Proclin 300
Constituents: 50 % Glycerol, 0.01M PBS, PH 7.4 -
储存液
- ProClin
-
注意事项
- This product contains ProClin: a POISONOUS AND HAZARDOUS SUBSTANCE which should be handled by trained staff only.
-
储存条件
- -20 °C,-80 °C
-
储存方法
- Upon receipt, store at -20°C or -80°C. Avoid repeated freeze.
-
-
- ACTRT1 (Actin-Related Protein T1 (ACTRT1))
-
别名
- ACTRT1
-
背景
-
Background: mitophagy in response to mitochondrial depolarization, positive regulation of defense response to virus by host, xenophagy
Aliases: ACTRT1 antibody, ARPT1 antibody, HSD27Actin-related protein T1 antibody, ARP-T1 antibody
-
UniProt
- Q8TDG2
抗原
-