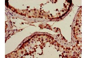
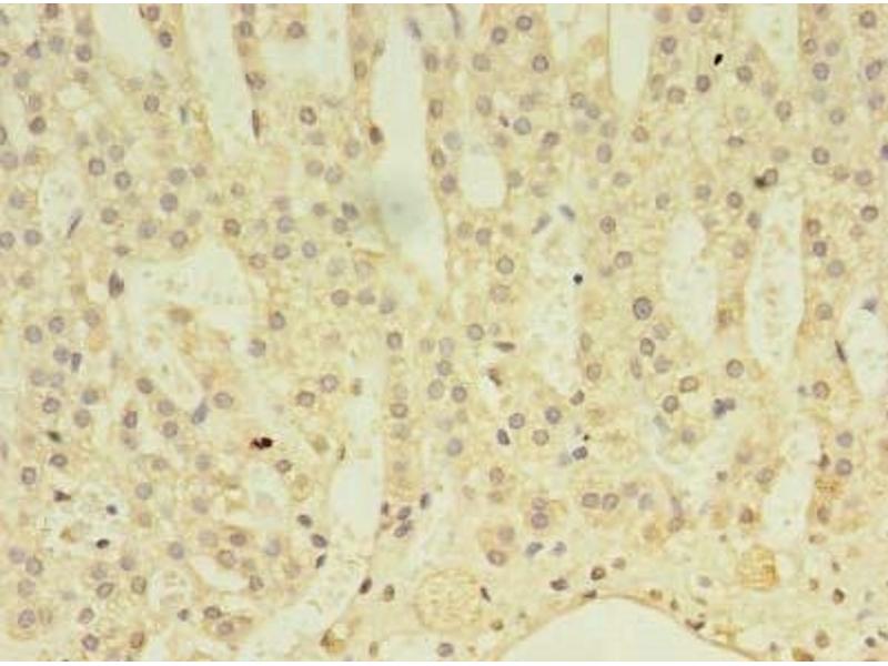
ABLIM3 抗体 (AA 266-544)
Our Local Distributor
北京 101111
Quick Overview for ABLIM3 抗体 (AA 266-544) (ABIN7143044)
抗原
See all ABLIM3 抗体适用
宿主
克隆类型
标记
应用范围
-
-
抗原表位
- AA 266-544
-
原理
- ABLIM3 Antibody
-
纯化方法
- Protein G purified
-
纯度
- >95 %
-
免疫原
- Recombinant Human Actin-binding LIM protein 3 protein (266-544AA)
-
亚型
- IgG
-
-
-
-
应用备注
- Optimal working dilution should be determined by the investigator.
-
限制
- 仅限研究用
-
-
-
状态
- Liquid
-
缓冲液
-
Preservative: 0.03 % Proclin 300
Constituents: 50 % Glycerol, 0.01M PBS, PH 7.4 -
储存液
- ProClin
-
注意事项
- This product contains ProClin: a POISONOUS AND HAZARDOUS SUBSTANCE which should be handled by trained staff only.
-
储存条件
- -20 °C,-80 °C
-
储存方法
- Upon receipt, store at -20°C or -80°C. Avoid repeated freeze.
-
-
- ABLIM3 (Actin Binding LIM Protein Family, Member 3 (ABLIM3))
-
别名
- ABLIM3
-
背景
-
Background: May act as scaffold protein. May stimulate ABRA activity and ABRA-dependent SRF transcriptional activity.
Aliases: abLIM-3 antibody, Ablim3 antibody, ABLM3_HUMAN antibody, Actin binding LIM protein 3 antibody, Actin binding LIM protein family member 3 antibody, Actin-binding LIM protein 3 antibody, Actin-binding LIM protein family member 3 antibody, HMFN1661 antibody, KIAA0843 antibody
-
UniProt
- O94929
抗原
-