电话:
+86 (0512) 65829739
传真:
+86 (010) 6788 5057
电子邮件:
orders@antibodies-online.cn

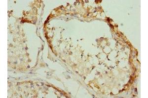
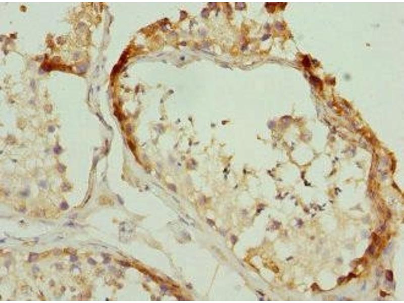
RPLP2 抗体 (AA 1-115)

The 兔 多克隆 anti-RPLP2 antibody is suitable to detect RPLP2 in samples from 人. It has been validated for IHC 和 ELISA.
产品编号 ABIN7142727
发货至: 中国
Contact our Customer Service for availability and price in your country. Contact Info

Our Local Distributor

中国
北京 101111
No. 88 KeChuang 6th Street
Beijing Economic Technological Development Area
Room 801-803
4A Biotech Co.,Ltd.
Tel +86 (0512) 65829739 传真 +86 (010) 6788 5057

Quick Overview for RPLP2 抗体 (AA 1-115) (ABIN7142727)

抗原

See all RPLP2 抗体
RPLP2 (Ribosomal Protein, Large, P2 (RPLP2))

适用

  • 35
  • 14
  • 6
  • 1
  • 1
  • 1
  • 1
  • 1
  • 1
  • 1
  • 1
  • 1

宿主

  • 35

克隆类型

  • 35
多克隆

标记

  • 16
  • 3
  • 2
  • 2
  • 2
  • 2
  • 2
  • 2
  • 1
  • 1
  • 1
  • 1
This RPLP2 antibody is un-conjugated

应用范围

  • 17
  • 12
  • 8
  • 3
  • 3
  • 2
  • 2
  • 1
  • 1
  • 1
  • 1
Immunohistochemistry (IHC), ELISA
  • 抗原表位

    • 7
    • 4
    • 2
    • 2
    • 1
    • 1
    • 1
    • 1
    AA 1-115

    原理

    RPLP2 Antibody

    纯化方法

    Antigen Affinity Purified

    免疫原

    Recombinant Human 60S acidic ribosomal protein P2 protein (1-115AA)

    亚型

    IgG
  • 应用备注

    Optimal working dilution should be determined by the investigator.

    限制

    仅限研究用
  • 状态

    Liquid

    缓冲液

    PBS with 0.02 % sodium azide, 50 % glycerol, pH 7.3.

    储存液

    Sodium azide

    注意事项

    This product contains Sodium azide: a POISONOUS AND HAZARDOUS SUBSTANCE which should be handled by trained staff only.

    储存条件

    -20 °C,-80 °C

    储存方法

    Upon receipt, store at -20°C or -80°C. Avoid repeated freeze.
  • 抗原

    RPLP2 (Ribosomal Protein, Large, P2 (RPLP2))

    别名

    RPLP2

    背景

    Background: Plays an important role in the elongation step of protein synthesis.

    Aliases: 2700049I22Rik antibody, 60S acidic ribosomal protein P2 antibody, Acidic ribosomal phosphoprotein P2 antibody, D11S2243E antibody, LP2 antibody, MGC71408 antibody, OTTMUSP00000029428 antibody, OTTMUSP00000029429 antibody, OTTMUSP00000029430 antibody, P2 antibody, Renal carcinoma antigen NY-REN-44 antibody, Ribosomal protein P2 antibody, Ribosomal protein, large, P2 antibody, RLA2_HUMAN antibody, rplP2 antibody, RPP2 antibody

    UniProt

    P05387
You are here: