电话:
+86 (0512) 65829739
传真:
+86 (010) 6788 5057
电子邮件:
orders@antibodies-online.cn

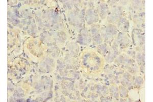
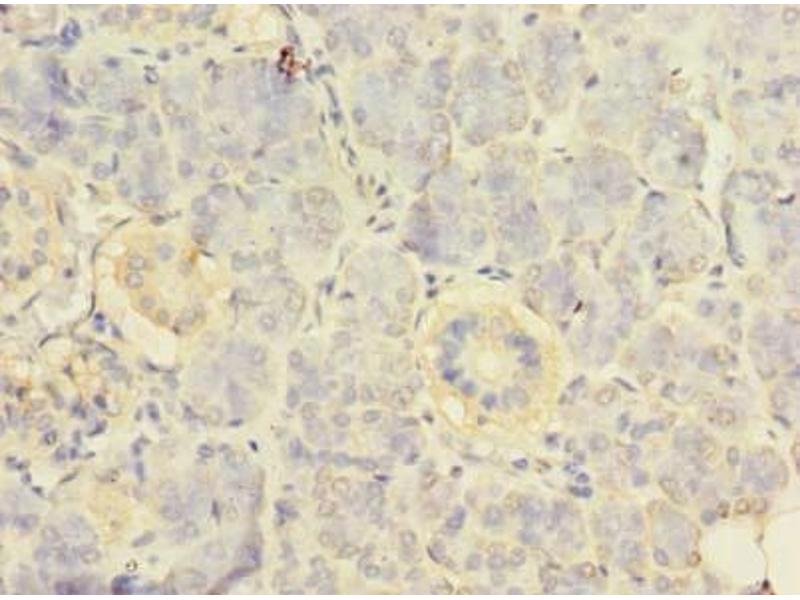
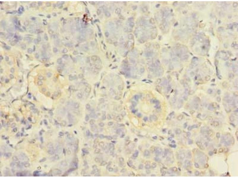
RPS24 抗体 (AA 2-133)

The 兔 多克隆 anti-RPS24 antibody (ABIN7142524) specifically detects RPS24 in ELISA 和 IHC. The antibody is reactive with 人 samples.
产品编号 ABIN7142524
发货至: 中国
Contact our Customer Service for availability and price in your country. Contact Info

Our Local Distributor

中国
北京 101111
No. 88 KeChuang 6th Street
Beijing Economic Technological Development Area
Room 801-803
4A Biotech Co.,Ltd.
Tel +86 (0512) 65829739 传真 +86 (010) 6788 5057

Quick Overview for RPS24 抗体 (AA 2-133) (ABIN7142524)

抗原

See all RPS24 抗体
RPS24 (Ribosomal Protein S24 (RPS24))

适用

  • 22
  • 6
  • 6
  • 3
  • 2
  • 2
  • 2
  • 2
  • 1
  • 1
  • 1
  • 1
  • 1
  • 1

宿主

  • 22

克隆类型

  • 22
多克隆

标记

  • 13
  • 3
  • 2
  • 2
  • 1
  • 1
This RPS24 antibody is un-conjugated

应用范围

  • 18
  • 14
  • 8
  • 3
  • 2
  • 1
  • 1
ELISA, Immunohistochemistry (IHC)
  • 抗原表位

    • 7
    • 4
    • 2
    • 2
    • 2
    • 1
    • 1
    • 1
    • 1
    • 1
    AA 2-133

    原理

    RPS24 Antibody

    纯化方法

    Protein G purified

    纯度

    >95 %

    免疫原

    Recombinant Human 40S ribosomal protein S24 protein (2-133AA)

    亚型

    IgG
  • 应用备注

    Optimal working dilution should be determined by the investigator.

    限制

    仅限研究用
  • 状态

    Liquid

    缓冲液

    Preservative: 0.03 % Proclin 300
    Constituents: 50 % Glycerol, 0.01M PBS, PH 7.4

    储存液

    ProClin

    注意事项

    This product contains ProClin: a POISONOUS AND HAZARDOUS SUBSTANCE which should be handled by trained staff only.

    储存条件

    -20 °C,-80 °C

    储存方法

    Upon receipt, store at -20°C or -80°C. Avoid repeated freeze.
  • 抗原

    RPS24 (Ribosomal Protein S24 (RPS24))

    别名

    RPS24

    背景

    Background: Required for processing of pre-rRNA and maturation of 40S ribosomal subunits.

    Aliases: RPS2440S ribosomal protein S24 antibody, Small ribosomal subunit protein eS24 antibody

    UniProt

    P62847
You are here: