电话:
+86 (0512) 65829739
传真:
+86 (010) 6788 5057
电子邮件:
orders@antibodies-online.cn

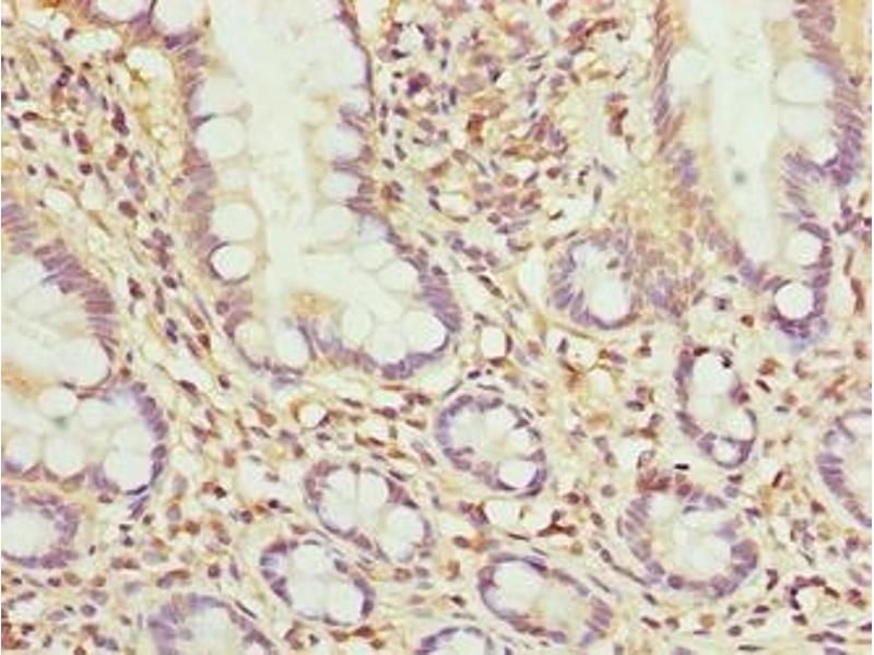
MRPL51 抗体 (AA 32-128)

The 兔 多克隆 anti-MRPL51 antibody is suitable to detect MRPL51 in samples from 人. It has been validated for ELISA, WB 和 IHC.
产品编号 ABIN7142439
发货至: 中国
Contact our Customer Service for availability and price in your country. Contact Info

Our Local Distributor

中国
北京 101111
No. 88 KeChuang 6th Street
Beijing Economic Technological Development Area
Room 801-803
4A Biotech Co.,Ltd.
Tel +86 (0512) 65829739 传真 +86 (010) 6788 5057

Quick Overview for MRPL51 抗体 (AA 32-128) (ABIN7142439)

抗原

See all MRPL51 抗体
MRPL51 (Mitochondrial Ribosomal Protein L51 (MRPL51))

适用

  • 28
  • 23
  • 2
  • 1

宿主

  • 27
  • 2

克隆类型

  • 27
  • 2
多克隆

标记

  • 13
  • 3
  • 3
  • 2
  • 1
  • 1
  • 1
  • 1
  • 1
  • 1
  • 1
  • 1
This MRPL51 antibody is un-conjugated

应用范围

  • 16
  • 15
  • 6
  • 3
  • 1
  • 1
  • 1
ELISA, Western Blotting (WB), Immunohistochemistry (IHC)
  • 抗原表位

    • 8
    • 4
    • 3
    • 1
    • 1
    • 1
    • 1
    • 1
    • 1
    • 1
    • 1
    AA 32-128

    原理

    MRPL51 Antibody

    纯化方法

    Protein G purified

    纯度

    >95 %

    免疫原

    Recombinant Human 39S ribosomal protein L51, mitochondrial protein (32-128AA)

    亚型

    IgG
  • 应用备注

    Optimal working dilution should be determined by the investigator.

    限制

    仅限研究用
  • 状态

    Liquid

    缓冲液

    Preservative: 0.03 % Proclin 300
    Constituents: 50 % Glycerol, 0.01M PBS, PH 7.4

    储存液

    ProClin

    注意事项

    This product contains ProClin: a POISONOUS AND HAZARDOUS SUBSTANCE which should be handled by trained staff only.

    储存条件

    -20 °C,-80 °C

    储存方法

    Upon receipt, store at -20°C or -80°C. Avoid repeated freeze.
  • 抗原

    MRPL51 (Mitochondrial Ribosomal Protein L51 (MRPL51))

    别名

    MRPL51

    背景

    Background: mitochondrial inner membrane, mitochondrial large ribosomal subunit, mitochondrial ribosome, structural constituent of ribosome, mitochondrial translation, mitochondrial translational elongation, mitochondrial translational initiation, mitochondrial translational termination, organelle organization, translation

    Aliases: 39S ribosomal protein L51 antibody, 39S ribosomal protein L51 mitochondrial antibody, bMRP-64 antibody, bMRP64 antibody, CDA09 antibody, HSPC241 antibody, L51mt antibody, mitochondrial antibody, mitochondrial ribosomal protein 64 antibody, mitochondrial ribosomal protein bMRP64 antibody, mitochondrial ribosomal protein L51 antibody, MRP-L51 antibody, MRP64 antibody, mrpl51 antibody, RM51_HUMAN antibody

    UniProt

    Q4U2R6
You are here: